TMEM198 Antibody

Images

 
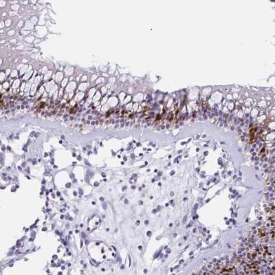
Immunohistochemistry-Paraffin: TMEM198 Antibody [NBP2-34164] - Staining of human nasopharynx shows strong nuclear positivity in respiratory epithelial cells.

Product Details

Summary
Product Discontinued
View other related TMEM198 Primary Antibodies

Order Details


    • Catalog Number
      NBP2-34164
    • Availability
      Product Discontinued

    Can't find what you are looking for? Use our Antibody Concierge Service & we will help you locate your antibody!

    Or feel free to contact us for alternative products.

TMEM198 Antibody Summary

Immunogen
This antibody was developed against a recombinant protein corresponding to amino acids: GTVATLRFQLLPPEPDDAFWGAPCEQPLERRYQ
Isotype
IgG
Clonality
Polyclonal
Host
Rabbit
Gene
TMEM198
Purity
Immunogen affinity purified
Innovator's Reward
Test in a species/application not listed above to receive a full credit towards a future purchase.

Applications/Dilutions

Dilutions
  • Immunohistochemistry 1:20 - 1:50
  • Immunohistochemistry-Paraffin 1:20 - 1:50
Application Notes
For IHC-Paraffin, HIER pH 6 retrieval is recommended.

Reactivity Notes

Immunogen displays the following percentage of sequence identity for non-tested species: Rat (88%)

Packaging, Storage & Formulations

Storage
Store at 4C short term. Aliquot and store at -20C long term. Avoid freeze-thaw cycles.
Buffer
PBS (pH 7.2) and 40% Glycerol
Preservative
0.02% Sodium Azide
Purity
Immunogen affinity purified

Alternate Names for TMEM198 Antibody

  • TMEM198A
  • Transmembrane Protein 198

Limitations

This product is for research use only and is not approved for use in humans or in clinical diagnosis. Primary Antibodies are guaranteed for 1 year from date of receipt.

Customers Who Viewed This Item Also Viewed...

NBP2-20486
Species: Hu, Mu
Applications: ICC/IF, IHC,  IHC-P, IP, WB
NB100-2814
Species: Hu, Mu
Applications: ICC/IF, PEP-ELISA, WB
7344-LR
Species: Mu
Applications: BA
MAB1505
Species: Hu
Applications: CyTOF-ready, Flow, ICC
H00149420-P01
Species: Hu
Applications: ELISA, AP, PA, PAGE, WB
NBP2-34164
Species: Hu
Applications: IHC

Publications for TMEM198 Antibody (NBP2-34164) (0)

There are no publications for TMEM198 Antibody (NBP2-34164).
By submitting your publication information earn gift cards and discounts for future purchases.

Reviews for TMEM198 Antibody (NBP2-34164) (0)

There are no reviews for TMEM198 Antibody (NBP2-34164). By submitting a review you will receive an Amazon e-Gift Card or Novus Product Discount.
  • Review with no image -- $10/€7/£6/$10 CAD/¥70 Yuan/¥1110 Yen
  • Review with an image -- $25/€18/£15/$25 CAD/¥150 Yuan/¥2500 Yen

Product General Protocols

Find general support by application which include: protocols, troubleshooting, illustrated assays, videos and webinars.

FAQs for TMEM198 Antibody (NBP2-34164) (0)

There are no specific FAQs related to this product. Read our general customer & technical service FAQs.

Contact Information

Product PDFs

Calculators

Concentration Calculator

The concentration calculator allows you to quickly calculate the volume, mass or concentration of your vial. Simply enter your mass, volume, or concentration values for your reagent and the calculator will determine the rest.

=
÷

Review this Product

Be the first to review our TMEM198 Antibody and receive a gift card or discount.

Bioinformatics

Gene Symbol TMEM198
Uniprot