RSK1/RSK2 [p Ser221, p Ser227] Antibody [Unconjugated]

Images

 
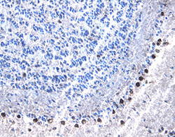
RSK1/RSK2 was detected in perfusion fixed frozen sections of mouse brain (Purkinje cells in cerebellum) using 15 µg/mL Rabbit Anti-Human/Mouse/Rat Phospho-RSK1/RSK2 (RSK1 S221, RSK2 S227) Antigen Affinity-purified ...read more
Western blot shows lysates of HeLa human cervical epithelial carcinoma cell line untreated (-) or treated (+) with 200 nM PMA for for the indicated times. PVDF membrane was probed with 0.5 µg/mL of Rabbit ...read more

Product Details

Summary
Reactivity Hu, Mu, RtSpecies Glossary
Applications WB, IHC
Clonality
Polyclonal
Host
Rabbit
Conjugate
Unconjugated
Concentration
LYOPH

Order Details

RSK1/RSK2 [p Ser221, p Ser227] Antibody [Unconjugated] Summary

Description
Antibody detects RSK1 [p Ser221] / RSK2 [p Ser227]
Immunogen
Phosphopeptide containing human RSK1 S221 site
Modification
p Ser221, p Ser227
Specificity
Detects human, mouse, and rat RSK1 when phosphorylated at S221, and human and mouse RSK2 when phosphorylated at S227.
Source
N/A
Isotype
IgG
Clonality
Polyclonal
Host
Rabbit
Purity Statement
Antigen Affinity-purified
Innovator's Reward
Test in a species/application not listed above to receive a full credit towards a future purchase.

Applications/Dilutions

Dilutions
  • Immunohistochemistry 5-15 ug/mL
  • Western Blot 0.5 ug/mL
Publications
Read Publications using
AF892 in the following applications:

Packaging, Storage & Formulations

Storage
Use a manual defrost freezer and avoid repeated freeze-thaw cycles.
  • 12 months from date of receipt, -20 to -70 °C, as supplied.
  • 1 month, 2 to 8 °C under sterile conditions after opening.
  • 6 months, -20 to -70 °C under sterile conditions after opening.
Buffer
Supplied as a 0.2 μm filtered solution in PBS with Sodium Azide. *Small pack size (SP) is supplied either lyophilized or as a 0.2 µm filtered solution in PBS.
Preservative
Sodium Azide
Concentration
LYOPH

Notes

This product is produced by and ships from R&D Systems, Inc., a Bio-Techne brand.

Alternate Names for RSK1/RSK2 [p Ser221, p Ser227] Antibody [Unconjugated]

  • RSK1/RSK2

Background

The 90 kDa ribosomal protein S6 kinases (RSK1-4) are a family of broadly expressed Ser/Thr kinases activated in response to mitogenic stimuli, including growth factors and tumor-promoting phorbol esters. RSKs are directly phosphorylated by ERK1 and ERK2, leading to RSK autophosphorylation and activation. Active RSKs appear to play a major role in transcriptional regulation by translocating to the nucleus and phosphorylating c-Fos and CREB.

Limitations

This product is for research use only and is not approved for use in humans or in clinical diagnosis. Primary Antibodies are guaranteed for 1 year from date of receipt.

Publications for RSK1/RSK2 Antibody (AF892)(8)

We have publications tested in 3 confirmed species: Human, Mouse, Canine.

We have publications tested in 2 applications: IHC-Fr, Western Blot.


Filter By Application
IHC-Fr
(1)
Western Blot
(5)
All Applications
Filter By Species
Human
(4)
Mouse
(2)
Canine
(1)
All Species
Showing Publications 1 - 8 of 8.
Publications using AF892 Applications Species
Jiang FF, Wang RQ, Guo CY et al. Phospho-proteomics identifies a critical role of ATF2 in pseudorabies virus replication Virologica Sinica 6/7/2022 [PMID: 35688418]
A Bishnu, P Phadte, A Dhadve, A Sakpal, B Rekhi, P Ray Molecular imaging of the kinetics of hyperactivated ERK1/2-mediated autophagy during acquirement of chemoresistance Cell Death & Disease, 2021-02-08;12(2):161. 2021-02-08 [PMID: 33558461] (Western Blot, Human) Western Blot Human
Po-Chien Chou, Swati Rajput, Xiaoyun Zhao, Chadni Patel, Danielle Albaciete, Won Jun Oh et al. mTORC2 Is Involved in the Induction of RSK Phosphorylation by Serum or Nutrient Starvation Cells 2020-06-27 [PMID: 32605013]
B Nadratowska-Wesolowska, E M Haugsten, M Zakrzewska, P Jakimowicz, Y Zhen, D Pajdzik et al. RSK2 regulates endocytosis of FGF receptor 1 by phosphorylation on serine 789 Oncogene 2014-10-02 [PMID: 24141780] (Western Blot, Human) Western Blot Human
Caslavsky J, Klimova Z, Vomastek T ERK and RSK regulate distinct steps of a cellular program that induces transition from multicellular epithelium to single cell phenotype. Cell Signal, 2013-09-03;25(12):2743-51. 2013-09-03 [PMID: 24012955] (Western Blot, Canine) Western Blot Canine
Hentschke M, Berneking L, Belmar Campos C Yersinia virulence factor YopM induces sustained RSK activation by interfering with dephosphorylation. PLoS ONE, 2010-10-05;5(10):. 2010-10-05 [PMID: 20957203] (Western Blot, Human, Mouse) Western Blot Human, Mouse
Meuillet EJ, Zuohe S, Lemos R, Ihle N, Kingston J, Watkins R, Moses SA, Zhang S, Du-Cuny L, Herbst R, Jacoby JJ, Zhou LL, Ahad AM, Mash EA, Kirkpatrick DL, Powis G Molecular pharmacology and antitumor activity of PHT-427, a novel Akt/phosphatidylinositide-dependent protein kinase 1 pleckstrin homology domain inhibitor. Mol. Cancer Ther., 2010-03-02;9(3):706-17. 2010-03-02 [PMID: 20197390] (Western Blot, Human) Western Blot Human
Sindreu CB, Scheiner ZS, Storm DR Ca2+ -stimulated adenylyl cyclases regulate ERK-dependent activation of MSK1 during fear conditioning. Neuron, 2007-01-04;53(1):79-89. 2007-01-04 [PMID: 17196532] (IHC-Fr, Mouse) IHC-Fr Mouse

Reviews for RSK1/RSK2 Antibody (AF892) (0)

There are no reviews for RSK1/RSK2 Antibody (AF892). By submitting a review you will receive an Amazon e-Gift Card or Novus Product Discount.
  • Review with no image -- $10/€7/£6/$10 CAD/¥70 Yuan/¥1110 Yen
  • Review with an image -- $25/€18/£15/$25 CAD/¥150 Yuan/¥2500 Yen

Product General Protocols

Find general support by application which include: protocols, troubleshooting, illustrated assays, videos and webinars.

Video Protocols

WB Video Protocol

FAQs for RSK1/RSK2 Antibody (AF892) (0)

There are no specific FAQs related to this product. Read our general customer & technical service FAQs.

Customers Who Bought This Also Bought

Contact Information

Product PDFs

Calculators

Concentration Calculator

The concentration calculator allows you to quickly calculate the volume, mass or concentration of your vial. Simply enter your mass, volume, or concentration values for your reagent and the calculator will determine the rest.

=
÷

Review this Product

Be the first to review our RSK1/RSK2 [p Ser221, p Ser227] Antibody [Unconjugated] and receive a gift card or discount.