PARP8 Antibody

Images

 
Western Blot: PARP8 Antibody [NBP2-13733] - Analysis in human cell line THP-1.
Immunocytochemistry/ Immunofluorescence: PARP8 Antibody [NBP2-13733] - Staining of human cell line U-2 OS shows localization to nucleoplasm. Antibody staining is shown in green.
Immunohistochemistry-Paraffin: PARP8 Antibody [NBP2-13733] - Staining of human testis shows weak to moderate cytoplasmic positivity in cells in seminiferous ducts.
Immunohistochemistry-Paraffin: PARP8 Antibody [NBP2-13733] - Staining of human small intestine shows weak membranous positivity in glandular cells.
Immunohistochemistry-Paraffin: PARP8 Antibody [NBP2-13733] - Staining of human Fallopian tube shows weak positivity in cilia in glandular cells.
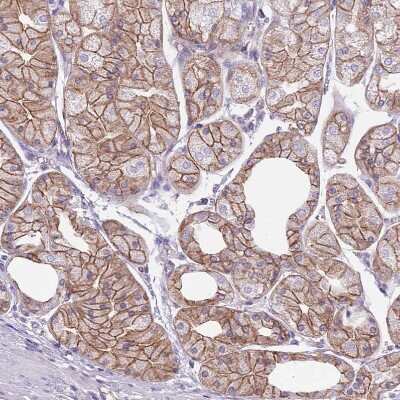
Immunohistochemistry-Paraffin: PARP8 Antibody [NBP2-13733] - Staining of human stomach shows moderate membranous positivity in glandular cells.

Product Details

Summary
Product Discontinued
View other related PARP8 Primary Antibodies

Order Details


    • Catalog Number
      NBP2-13733
    • Availability
      Product Discontinued

    Can't find what you are looking for? Use our Antibody Concierge Service & we will help you locate your antibody!

    Or feel free to contact us for alternative products.

PARP8 Antibody Summary

Immunogen
This antibody was developed against a recombinant protein corresponding to the amino acids: IMQTFVTQQWKQSKEKSNCLHNKKLSEKKVKSPLHLFSTLRRSPSYPPPGCGKSKSKLKSEQDGISK
Predicted Species
Mouse (93%), Rat (94%). Backed by our 100% Guarantee.
Isotype
IgG
Clonality
Polyclonal
Host
Rabbit
Gene
PARP8
Purity
Immunogen affinity purified
Innovator's Reward
Test in a species/application not listed above to receive a full credit towards a future purchase.

Applications/Dilutions

Dilutions
  • Immunocytochemistry/ Immunofluorescence 0.25-2 ug/ml
  • Immunohistochemistry 1:50 - 1:200
  • Immunohistochemistry-Paraffin 1:50 - 1:200
  • Western Blot 0.04-0.4 ug/ml
Application Notes
For IHC-Paraffin, HIER pH 6 retrieval is recommended. ICC/IF Fixation Permeabilization: Use PFA/Triton X-100.

Packaging, Storage & Formulations

Storage
Store at 4C short term. Aliquot and store at -20C long term. Avoid freeze-thaw cycles.
Buffer
PBS (pH 7.2) and 40% Glycerol
Preservative
0.02% Sodium Azide
Purity
Immunogen affinity purified

Alternate Names for PARP8 Antibody

  • ARTD16
  • EC 2.4.2.30
  • FLJ21308
  • MGC42864
  • PARP8
  • PARP-8
  • pART16
  • poly (ADP-ribose) polymerase family, member 8
  • poly [ADP-ribose] polymerase 8

Background

Poly (ADP-ribose) polymerase (PARP) catalyzes the post-translational modification of proteins by the addition ofmultiple ADP-ribose moieties. PARP transfers ADP-ribose from nicotinamide dinucleotide (NAD) to glu/asp residues onthe substrate protein, and also polymerizes ADP-ribose to form long/branched chain polymers. PARP inhibitors are beingdeveloped for use in a number of pathologies including cancer, diabetes, stroke and cardiovascular disease.

Limitations

This product is for research use only and is not approved for use in humans or in clinical diagnosis. Primary Antibodies are guaranteed for 1 year from date of receipt.

Customers Who Viewed This Item Also Viewed...

NBP1-03349
Species: Hu, Mu
Applications: ICC/IF, IHC, IHC-Fr, IP, WB
NBP2-15452
Species: Ch, Hu
Applications: ICC/IF, IHC,  IHC-P, WB
NBP3-52190
Species: Hu
Applications: Flow, WB
NBP2-13733
Species: Hu, Mu, Rt
Applications: WB, ICC/IF, IHC

Publications for PARP8 Antibody (NBP2-13733) (0)

There are no publications for PARP8 Antibody (NBP2-13733).
By submitting your publication information earn gift cards and discounts for future purchases.

Reviews for PARP8 Antibody (NBP2-13733) (0)

There are no reviews for PARP8 Antibody (NBP2-13733). By submitting a review you will receive an Amazon e-Gift Card or Novus Product Discount.
  • Review with no image -- $10/€7/£6/$10 CAD/¥70 Yuan/¥1110 Yen
  • Review with an image -- $25/€18/£15/$25 CAD/¥150 Yuan/¥2500 Yen

Product General Protocols

Find general support by application which include: protocols, troubleshooting, illustrated assays, videos and webinars.

Video Protocols

WB Video Protocol
ICC/IF Video Protocol

FAQs for PARP8 Antibody (NBP2-13733) (0)

There are no specific FAQs related to this product. Read our general customer & technical service FAQs.

Secondary Antibodies

 

Isotype Controls

Additional PARP8 Products

Research Areas for PARP8 Antibody (NBP2-13733)

Find related products by research area.

Blogs on PARP8

There are no specific blogs for PARP8, but you can read our latest blog posts.

Contact Information

Product PDFs

Calculators

Concentration Calculator

The concentration calculator allows you to quickly calculate the volume, mass or concentration of your vial. Simply enter your mass, volume, or concentration values for your reagent and the calculator will determine the rest.

=
÷

Review this Product

Be the first to review our PARP8 Antibody and receive a gift card or discount.

Bioinformatics

Gene Symbol PARP8