Nitrotyrosine Antibody (HM.11) [Biotin]

Images

 
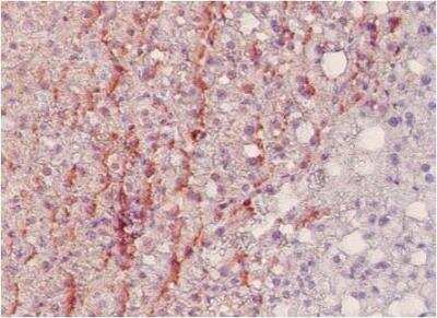
Immunohistochemistry-Paraffin: Nitrotyrosine Antibody (HM11) [Biotin] [NB110-2023] - Nitrotyrosine in human liver of severely obesed patients. Staining of paraffin tissue section with clone HM.11. Anti-nitrotyrosine ...read more

Product Details

Summary
Product Discontinued
View other related Nitrotyrosine Primary Antibodies

Order Details


    • Catalog Number
      NB110-2023
    • Availability
      Product Discontinued

    Can't find what you are looking for? Use our Antibody Concierge Service & we will help you locate your antibody!

    Or feel free to contact us for alternative products.

Nitrotyrosine Antibody (HM.11) [Biotin] Summary

Immunogen
Nitrated KLH
Specificity
This highly specific monoclonal antibody HM.11 reacts with nitrotyrosine, both with the free amino acid as well as with proteins containing nitrotyrosine. The presence of nitrotyrosine has been detected in various inflammatory processes including atherosclerotic plaques. Nitrotyrosine is formed in tissues in presence of the active metabolite NO and is a stable end product of nitrosylation of tyrosine. Various pathways including the formation of peroxinitrite lead to nitrotyrosine production.
Isotype
IgG2b
Clonality
Monoclonal
Host
Mouse
Purity
Protein A or G purified
Innovator's Reward
Test in a species/application not listed above to receive a full credit towards a future purchase.

Applications/Dilutions

Dilutions
  • Immunohistochemistry 1:10-1:500
  • Immunohistochemistry-Frozen 1:10-1:500
  • Immunohistochemistry-Paraffin 1:10-1:500
  • Western Blot 1:100-1:2000
Readout System

Packaging, Storage & Formulations

Storage
Store at 4C. Do not freeze.
Buffer
10 mM Sodium Phophsate (pH 7.6), 0.25 M NaCl, and 15 mg/ml BSA
Preservative
0.05% Sodium Azide
Purity
Protein A or G purified

Alternate Names for Nitrotyrosine Antibody (HM.11) [Biotin]

  • Nitrotyrosine

Background

The presence of nitrotyrosine has been detected in various inflammatory processes including atherosclerotic placques. Nitrotyrosine is formed in tissues in presence of the active metabolite NO. Various pathways including the formation of peroxinitrite lead to nitrotyrosine production.

Limitations

This product is for research use only and is not approved for use in humans or in clinical diagnosis. Primary Antibodies are guaranteed for 1 year from date of receipt.

Publications for Nitrotyrosine Antibody (NB110-2023) (0)

There are no publications for Nitrotyrosine Antibody (NB110-2023).
By submitting your publication information earn gift cards and discounts for future purchases.

Reviews for Nitrotyrosine Antibody (NB110-2023) (0)

There are no reviews for Nitrotyrosine Antibody (NB110-2023). By submitting a review you will receive an Amazon e-Gift Card or Novus Product Discount.
  • Review with no image -- $10/€7/£6/$10 CAD/¥70 Yuan/¥1110 Yen
  • Review with an image -- $25/€18/£15/$25 CAD/¥150 Yuan/¥2500 Yen

Product General Protocols

Find general support by application which include: protocols, troubleshooting, illustrated assays, videos and webinars.

Video Protocols

WB Video Protocol

FAQs for Nitrotyrosine Antibody (NB110-2023) (0)

There are no specific FAQs related to this product. Read our general customer & technical service FAQs.

Secondary Antibodies

 

Isotype Controls

Additional Nitrotyrosine Products

Array NB110-2023

Research Areas for Nitrotyrosine Antibody (NB110-2023)

Find related products by research area.

Blogs on Nitrotyrosine

There are no specific blogs for Nitrotyrosine, but you can read our latest blog posts.

Contact Information

Product PDFs

Calculators

Concentration Calculator

The concentration calculator allows you to quickly calculate the volume, mass or concentration of your vial. Simply enter your mass, volume, or concentration values for your reagent and the calculator will determine the rest.

=
÷

Review this Product

Be the first to review our Nitrotyrosine Antibody (HM.11) [Biotin] and receive a gift card or discount.