Mitochondria Antibody (MTC02) - Azide and BSA Free

Images

 
Immunohistochemistry-Paraffin: Mitochondria Antibody (MTC02) - Azide and BSA Free [NBP2-34686] - Formalin-fixed, paraffin-embedded human Pancreas stained with Mitochondria Antibody (MTC02).
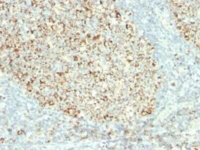
Immunohistochemistry-Paraffin: Mitochondria Antibody (MTC02) - Azide and BSA Free [NBP2-34686] - Formalin-fixed, paraffin-embedded human Tonsil stained with Mitochondria Monoclonal Antibody (MTC02).

Product Details

Summary
Reactivity Hu, Rt(-)Species Glossary
Applications ICC/IF, IHC
Clone
MTC02
Clonality
Monoclonal
Host
Mouse
Conjugate
Unconjugated
Format
Azide and BSA Free
Concentration
1.0 mg/ml

Order Details

Mitochondria Antibody (MTC02) - Azide and BSA Free Summary

Description
1.0 mg/ml of antibody purified from Bioreactor Concentrate by Protein A/G. Prepared in 10mM PBS WITHOUT BSA. Also available at 200 ug/ml WITH BSA & azide (NBP2-32982).

Antibody with azide - store at 2 to 8C.
Immunogen
Semi-Purified mitochondrial preparation
Localization
Mitochondria in cytoplasm
Marker
Marker for Human Cells
Specificity
This monoclonal antibody recognizes a 60kDa antigen associated with the mitochondria in human cells. It is a part of a new panel of reagents, which recognizes subcellular organelles or compartments of human cells. These markers may be useful in identification of these organelles in cells, tissues, and biochemical preparations. This monoclonal antibody recognizes an antigen associated with the mitochondria in human cells only. It can be used to stain the mitochondria in cell or tissue preparations and can be used as a mitochondrial marker in subcellular fractions. It produces a spaghetti-like pattern in normal and malignant cells and may be used to stain mitochondria of cells in fixed or frozen tissue sections. It can also be used with paraformaldehyde fixed frozen tissue or cell preparations. This monoclonal antibody is an excellent marker for human cells in xenographic model research. It reacts specifically with human cells, including neurons and embryonic stem cells.
Isotype
IgG1 Kappa
Clonality
Monoclonal
Host
Mouse
Purity
Protein A or G purified
Innovator's Reward
Test in a species/application not listed above to receive a full credit towards a future purchase.

Applications/Dilutions

Dilutions
  • Immunocytochemistry/ Immunofluorescence 0.5-1ug/ml
  • Immunohistochemistry
  • Immunohistochemistry-Paraffin 0.5-1ug/ml
Application Notes
Immunohistochemistry (Formalin-fixed): 1-2ug/ml for 30 minutes at RT. Staining of formalin-fixed tissues is enhanced by heating tissue sections in 1mM EDTA Buffer, pH 8.5-9.5, for 45 min at 95C followed by cooling at RT for 20 minutes.
Optimal dilution for a specific application should be determined.
Theoretical MW
60 kDa.
Disclaimer note: The observed molecular weight of the protein may vary from the listed predicted molecular weight due to post translational modifications, post translation cleavages, relative charges, and other experimental factors.

Reactivity Notes

Does not react with Rat.

Packaging, Storage & Formulations

Storage
Store at -20 to -80C. Avoid freeze-thaw cycles.
Buffer
10 mM PBS
Preservative
No Preservative
Concentration
1.0 mg/ml
Purity
Protein A or G purified

Background

NB600-556 recognizes a 60kDa non-glycosylated protein component of mitochondria found in human cells. It can be used to stain the mitochondria in cell or tissue preparations and can be used as a marker of the mitochondria in subcellular fractions. This monoclonal antibody is part of a new panel of reagents which recognizes subcellular organelles or compartments of human cells. These markers may be useful in identification of these organelles in cells, tissues, and biochemical preparations. MAb-2 produces a spaghetti-like staining pattern in the cytoplasm of normal and malignant human cells and may be used to stain the mitochondria in paraformaldehyde fixed frozen and formalin-fixed, paraffin-embedded tissues.

Limitations

This product is for research use only and is not approved for use in humans or in clinical diagnosis. Primary Antibodies are guaranteed for 1 year from date of receipt.

Publications for Mitochondria Antibody (NBP2-34686) (0)

There are no publications for Mitochondria Antibody (NBP2-34686).
By submitting your publication information earn gift cards and discounts for future purchases.

Reviews for Mitochondria Antibody (NBP2-34686) (0)

There are no reviews for Mitochondria Antibody (NBP2-34686). By submitting a review you will receive an Amazon e-Gift Card or Novus Product Discount.
  • Review with no image -- $10/€7/£6/$10 CAD/¥70 Yuan/¥1110 Yen
  • Review with an image -- $25/€18/£15/$25 CAD/¥150 Yuan/¥2500 Yen

Product General Protocols

Find general support by application which include: protocols, troubleshooting, illustrated assays, videos and webinars.

Video Protocols

ICC/IF Video Protocol

FAQs for Mitochondria Antibody (NBP2-34686) (0)

There are no specific FAQs related to this product. Read our general customer & technical service FAQs.

Secondary Antibodies

 

Isotype Controls

Additional Mitochondria Products

Array NBP2-34686

Research Areas for Mitochondria Antibody (NBP2-34686)

Find related products by research area.

Blogs on Mitochondria.

NPC1: A Potential Target For Triple-Negative Breast Cancer
By Natalia Gurule, PhD Breast Cancer is a Heterogeneous DiseaseBreast cancer is the most frequently identified malignancy in women, accounting for 30% of diagnosed cases of cancer in women in the US annuall...  Read full blog post.

Tired T cells: Hypoxia Drives T cell Exhaustion in the Tumor Microenvironment
By Hunter MartinezThe paradigm shifting view of the immune system being leveraged to target cancer has led to numerous therapeutic breakthroughs. One major cell group responsible for this revelation is a T cell. ...  Read full blog post.

Immune Cell Metabolic Flux Influences Type I Diabetes
By Hunter MartinezWhat is Immunometabolism?It is well established that abnormal metabolic environments can be a risk factor for disease development. One characteristic example is the role of dyslipidemia (high lev...  Read full blog post.

Methamphetamine with HIV induces mitochondrial dysfunction and neuronal injury through oxidative stress
By Jamshed Arslan, Pharm. D., PhD. December 1 is the World AIDS Day. Despite the combination antiretroviral therapy, 10-25% of Human Immunodeficiency Virus (HIV)-positive individuals report neurocognitive impairm...  Read full blog post.

There's an autophagy for that!
By Christina Towers, PhDA critical mechanism that cells use to generate nutrients and fuel metabolism is through a process called autophagy.  This process is complex and involves over 20 different proteins, most of which are highly conserved acro...  Read full blog post.

Dynamin-related Protein 1 (DRP1) in Mitochondria and Apoptosis.
Dynamin-related Protein 1 (DRP1) is known to function in mitochondrial and peroxisomal division and mediate membrane fission through oligomerization into ring-like structure and sever the mitochondrial membrane, through a GTP hydrolysis-dependent mech...  Read full blog post.

The Importance of the COX IV Antibody to Apoptosis Research
COX IV isoform 1 is a nuclear-encoded polypeptide chain of the Cytochrome C Oxidase enzyme, located on the mitochondrial inner membrane. Owing to its widespread distribution in human and mammalian tissues, COX IV antibodies are widely used as loading ...  Read full blog post.

Customers Who Bought This Also Bought

Contact Information

Product PDFs

Calculators

Concentration Calculator

The concentration calculator allows you to quickly calculate the volume, mass or concentration of your vial. Simply enter your mass, volume, or concentration values for your reagent and the calculator will determine the rest.

=
÷

Review this Product

Be the first to review our Mitochondria Antibody (MTC02) - Azide and BSA Free and receive a gift card or discount.