LRRN4 Antibody

Images

 
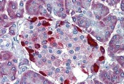
Immunohistochemistry-Paraffin: LRRN4 Antibody [NBP1-50177] - Analysis of anti-LRRN4 / C20orf75 antibody with human adrenal at concentration 10 ug/ml.
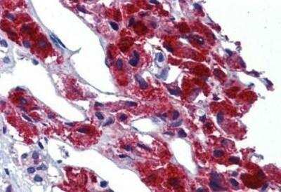
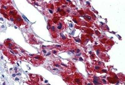
Immunohistochemistry-Paraffin: LRRN4 Antibody [NBP1-50177] - Analysis of anti-LRRN4 / C20orf75 antibody with human pancreas at concentration 10 ug/ml.

Product Details

Summary
Product Discontinued
View other related LRRN4 Primary Antibodies

Order Details


    • Catalog Number
      NBP1-50177
    • Availability
      Product Discontinued

    Can't find what you are looking for? Use our Antibody Concierge Service & we will help you locate your antibody!

    Or feel free to contact us for alternative products.

LRRN4 Antibody Summary

Immunogen
Synthetic 16 amino acid peptide from N-Terminus of human LRRN4 / C20orf75.
Specificity
Human LRRN4. BLAST analysis of the peptide immunogen showed no homology with other human proteins, except SH2B1 (44%).
Predicted Species
Primate (94%), Orangutan (100%), Chimpanzee (100%). Backed by our 100% Guarantee.
Isotype
IgG
Clonality
Polyclonal
Host
Rabbit
Gene
LRRN4
Purity
Immunogen affinity purified
Innovator's Reward
Test in a species/application not listed above to receive a full credit towards a future purchase.

Applications/Dilutions

Dilutions
  • Immunohistochemistry
  • Immunohistochemistry-Paraffin 10 ug/ml

Reactivity Notes

Predicted cross-reactivity based on sequence identity: Gorilla (100%), Marmoset (94%).

Packaging, Storage & Formulations

Storage
Store at 4C short term. Aliquot and store at -20C long term. Avoid freeze-thaw cycles.
Buffer
PBS
Preservative
0.1% Sodium Azide
Concentration
1 mg/ml
Purity
Immunogen affinity purified

Alternate Names for LRRN4 Antibody

  • C20orf75
  • chromosome 20 open reading frame 75
  • dJ1056H1.1
  • FLJ23994
  • leucine rich repeat neuronal 4
  • leucine-rich repeat neuronal protein 4
  • LRRN4
  • MGC25027
  • Neuronal leucine-rich repeat protein 4
  • NLRR4
  • NLRR-4

Background

LRRN4 may play an important role in hippocampus-dependent long-lasting memory

Limitations

This product is for research use only and is not approved for use in humans or in clinical diagnosis. Primary Antibodies are guaranteed for 1 year from date of receipt.

Customers Who Viewed This Item Also Viewed...

NBP1-92564
Species: Hu
Applications: ICC/IF, IHC,  IHC-P
MAB32652
Species: Hu
Applications: CyTOF-ready, ELISA, Flow, KO
NBP2-94533
Species: Hu, Mu, Rt
Applications: ELISA, ICC/IF, IHC,  IHC-P, WB
AF1056
Species: Rt
Applications: IHC, WB

Publications for LRRN4 Antibody (NBP1-50177) (0)

There are no publications for LRRN4 Antibody (NBP1-50177).
By submitting your publication information earn gift cards and discounts for future purchases.

Reviews for LRRN4 Antibody (NBP1-50177) (0)

There are no reviews for LRRN4 Antibody (NBP1-50177). By submitting a review you will receive an Amazon e-Gift Card or Novus Product Discount.
  • Review with no image -- $10/€7/£6/$10 CAD/¥70 Yuan/¥1110 Yen
  • Review with an image -- $25/€18/£15/$25 CAD/¥150 Yuan/¥2500 Yen

Product General Protocols

Find general support by application which include: protocols, troubleshooting, illustrated assays, videos and webinars.

FAQs for LRRN4 Antibody (NBP1-50177) (0)

There are no specific FAQs related to this product. Read our general customer & technical service FAQs.

Contact Information

Product PDFs

Calculators

Concentration Calculator

The concentration calculator allows you to quickly calculate the volume, mass or concentration of your vial. Simply enter your mass, volume, or concentration values for your reagent and the calculator will determine the rest.

=
÷

Review this Product

Be the first to review our LRRN4 Antibody and receive a gift card or discount.

Bioinformatics

Gene Symbol LRRN4
Entrez
Uniprot