Lewis Y Antibody (LWY/9243R) - Azide and BSA Free

Images

 
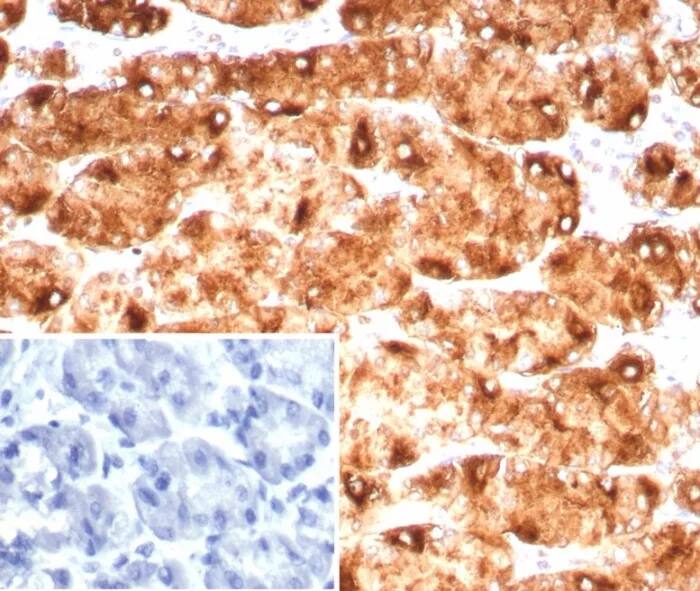
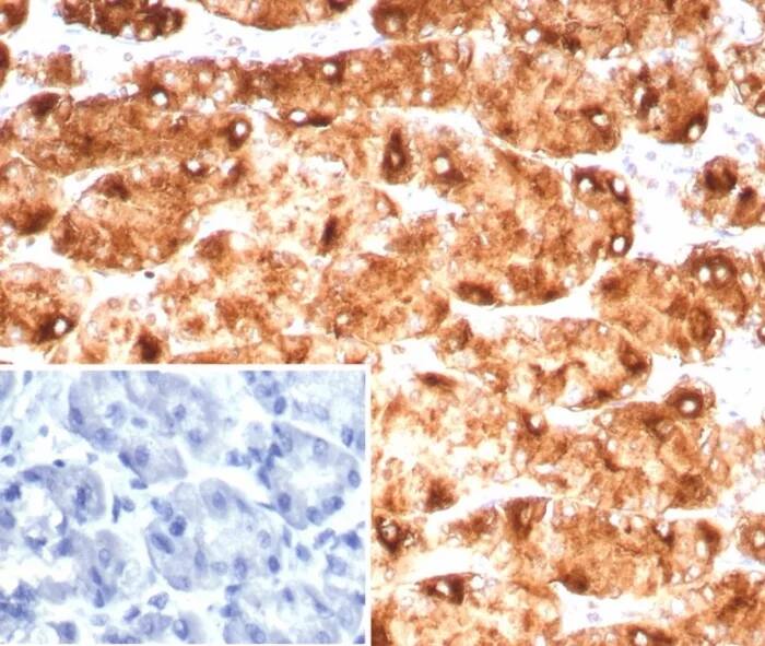
Immunohistochemistry-Paraffin: Lewis Y Antibody (LWY/9243R) - Azide and BSA Free [NBP3-24188] - Formalin-fixed, paraffin-embedded human stomach stained with Lewis Y Antibody (LWY/9243R). Inset: PBS instead of primary ...read more

Product Details

Summary
Reactivity HuSpecies Glossary
Applications IHC
Clone
LWY/9243R
Clonality
Monoclonal
Host
Rabbit
Conjugate
Unconjugated
Format
Azide and BSA Free
Concentration
1 mg/ml

Order Details

Lewis Y Antibody (LWY/9243R) - Azide and BSA Free Summary

Description
Antibody without azide - store at -20 to -80C.
Additional Information
Recombinant Monoclonal Antibody
Immunogen
H3396 cultured line established from a metastasis of a human breast adenocarcinoma.
Localization
Cell membrane. Cytoplasm. Extracellular.
Marker
Tumor Marker
Isotype
IgG Kappa
Clonality
Monoclonal
Host
Rabbit
Purity
Protein A or G purified
Innovator's Reward
Test in a species/application not listed above to receive a full credit towards a future purchase.

Applications/Dilutions

Dilutions
  • Immunohistochemistry-Paraffin 1-2ug/ml
Application Notes
Immunohistochemistry-Paraffin: 1-2ug/ml for 30 minutes at RT. Staining of formalin-fixed tissues requires heating tissue sections in 10mM Tris with 1mM EDTA, pH 9.0, for 45 min at 95C followed by cooling at RT for 20 minutes. Optimal dilution for a specific application should be determined.

Packaging, Storage & Formulations

Storage
Store at -20 to -80C. Avoid freeze-thaw cycles.
Buffer
10mM PBS
Preservative
No Preservative
Concentration
1 mg/ml
Purity
Protein A or G purified

Alternate Names for Lewis Y Antibody (LWY/9243R) - Azide and BSA Free

  • IPCA-2
  • IPCA6
  • IPCA-6
  • IPCA-8
  • PCANAP2
  • PCANAP6
  • PCANAP8
  • Prostate cancer-associated protein 6
  • PRST
  • Solute carrier family 45 member 3

Limitations

This product is for research use only and is not approved for use in humans or in clinical diagnosis. Primary Antibodies are guaranteed for 1 year from date of receipt.

Publications for Lewis Y Antibody (NBP3-24188) (0)

There are no publications for Lewis Y Antibody (NBP3-24188).
By submitting your publication information earn gift cards and discounts for future purchases.

Reviews for Lewis Y Antibody (NBP3-24188) (0)

There are no reviews for Lewis Y Antibody (NBP3-24188). By submitting a review you will receive an Amazon e-Gift Card or Novus Product Discount.
  • Review with no image -- $10/€7/£6/$10 CAD/¥70 Yuan/¥1110 Yen
  • Review with an image -- $25/€18/£15/$25 CAD/¥150 Yuan/¥2500 Yen

Product General Protocols

Find general support by application which include: protocols, troubleshooting, illustrated assays, videos and webinars.

FAQs for Lewis Y Antibody (NBP3-24188) (0)

There are no specific FAQs related to this product. Read our general customer & technical service FAQs.

Customers Who Bought This Also Bought

Contact Information

Product PDFs

Calculators

Concentration Calculator

The concentration calculator allows you to quickly calculate the volume, mass or concentration of your vial. Simply enter your mass, volume, or concentration values for your reagent and the calculator will determine the rest.

=
÷

Review this Product

Be the first to review our Lewis Y Antibody (LWY/9243R) - Azide and BSA Free and receive a gift card or discount.