LENG1 Antibody (OTI10A7) - Azide and BSA Free

Images

 
Western Blot: LENG1 Antibody (OTI10A7) - Azide and BSA Free [NBP2-72202] - HEK293T cells were transfected with the pCMV6-ENTRY control (Left lane) or pCMV6-ENTRY LENG1 (Right lane) cDNA for 48 hrs and lysed. Equivalent ...read more
Immunocytochemistry/ Immunofluorescence: LENG1 Antibody (OTI10A7) - Azide and BSA Free [NBP2-72202] - Staining of COS7 cells transiently transfected by pCMV6-ENTRY LENG1.
Immunohistochemistry: LENG1 Antibody (OTI10A7) - Azide and BSA Free [NBP2-72202] - Staining of paraffin-embedded Human lymphoma tissue using anti-LENG1 mouse monoclonal antibody.
Flow Cytometry: LENG1 Antibody (OTI10A7) - Azide and BSA Free [NBP2-72202] - HEK293T cells transfected with either overexpression plasmid (Red) or empty vector control plasmid (Blue) were immunostaining by anti-LENG1 ...read more
Immunocytochemistry/ Immunofluorescence: LENG1 Antibody (OTI10A7) - Azide and BSA Free [NBP2-72202] - Staining of HeLa cells using anti-LENG1 mouse monoclonal antibody.
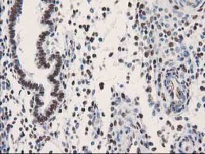
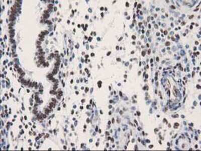
Immunohistochemistry: LENG1 Antibody (OTI10A7) - Azide and BSA Free [NBP2-72202] - Staining of paraffin-embedded Adenocarcinoma of Human breast tissue using anti-LENG1 mouse monoclonal antibody.
Immunohistochemistry: LENG1 Antibody (OTI10A7) - Azide and BSA Free [NBP2-72202] - Staining of paraffin-embedded Adenocarcinoma of Human colon tissue using anti-LENG1 mouse monoclonal antibody.
Immunohistochemistry: LENG1 Antibody (OTI10A7) - Azide and BSA Free [NBP2-72202] - Staining of paraffin-embedded Adenocarcinoma of Human ovary tissue using anti-LENG1 mouse monoclonal antibody.
Immunohistochemistry: LENG1 Antibody (OTI10A7) - Azide and BSA Free [NBP2-72202] - Staining of paraffin-embedded Carcinoma of Human thyroid tissue using anti-LENG1 mouse monoclonal antibody.
Immunohistochemistry: LENG1 Antibody (OTI10A7) - Azide and BSA Free [NBP2-72202] - Staining of paraffin-embedded Human breast tissue using anti-LENG1 mouse monoclonal antibody.
Immunohistochemistry: LENG1 Antibody (OTI10A7) - Azide and BSA Free [NBP2-72202] - Staining of paraffin-embedded Human endometrium tissue using anti-LENG1 mouse monoclonal antibody.
Immunohistochemistry: LENG1 Antibody (OTI10A7) - Azide and BSA Free [NBP2-72202] - Staining of paraffin-embedded Human Kidney tissue using anti-LENG1 mouse monoclonal antibody.
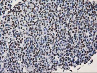
Immunohistochemistry: LENG1 Antibody (OTI10A7) - Azide and BSA Free [NBP2-72202] - Staining of paraffin-embedded Human lymph node tissue using anti-LENG1 mouse monoclonal antibody.
Immunohistochemistry: LENG1 Antibody (OTI10A7) - Azide and BSA Free [NBP2-72202] - Staining of paraffin-embedded Human prostate tissue using anti-LENG1 mouse monoclonal antibody.

Product Details

Summary
Reactivity HuSpecies Glossary
Applications WB, Flow, ICC/IF, IHC, CyTOF-ready
Clone
OTI10A7
Clonality
Monoclonal
Host
Mouse
Conjugate
Unconjugated
Format
Azide and BSA Free
Concentration
LYOPH

Order Details

LENG1 Antibody (OTI10A7) - Azide and BSA Free Summary

Description
Novus Biologicals Mouse LENG1 Antibody (OTI10A7) - Azide and BSA Free (NBP2-00915) is a monoclonal antibody validated for use in IHC, WB, Flow and ICC/IF. All Novus Biologicals antibodies are covered by our 100% guarantee.
Immunogen
Full length human recombinant protein of human LENG1 (NP_077292) produced in HEK293T cell.
Isotype
IgG1
Clonality
Monoclonal
Host
Mouse
Gene
LENG1
Purity
Immunogen affinity purified
Innovator's Reward
Test in a species/application not listed above to receive a full credit towards a future purchase.

Applications/Dilutions

Dilutions
  • CyTOF-ready
  • Flow Cytometry 1:100
  • Immunocytochemistry/ Immunofluorescence 1:100
  • Immunohistochemistry 1:150
  • Immunohistochemistry-Paraffin
  • Western Blot 1:500
Theoretical MW
30.3 kDa.
Disclaimer note: The observed molecular weight of the protein may vary from the listed predicted molecular weight due to post translational modifications, post translation cleavages, relative charges, and other experimental factors.

Packaging, Storage & Formulations

Storage
Store at -20C. Avoid freeze-thaw cycles.
Buffer
Lyophilized from PBS (pH 7.3) with 8% Trehalose
Preservative
No Preservative
Concentration
LYOPH
Purity
Immunogen affinity purified
Reconstitution Instructions
we recommend adding 100uL distilled water to a final antibody concentration of about 1 mg/mL. To use this carrier-free antibody for conjugation experiment, we strongly recommend performing another round of desalting process.

Alternate Names for LENG1 Antibody (OTI10A7) - Azide and BSA Free

  • leukocyte receptor cluster (LRC) member 1
  • leukocyte receptor cluster member 1

Limitations

This product is for research use only and is not approved for use in humans or in clinical diagnosis. Primary Antibodies are guaranteed for 1 year from date of receipt.

Publications for LENG1 Antibody (NBP2-72202) (0)

There are no publications for LENG1 Antibody (NBP2-72202).
By submitting your publication information earn gift cards and discounts for future purchases.

Reviews for LENG1 Antibody (NBP2-72202) (0)

There are no reviews for LENG1 Antibody (NBP2-72202). By submitting a review you will receive an Amazon e-Gift Card or Novus Product Discount.
  • Review with no image -- $10/€7/£6/$10 CAD/¥70 Yuan/¥1110 Yen
  • Review with an image -- $25/€18/£15/$25 CAD/¥150 Yuan/¥2500 Yen

Product General Protocols

Find general support by application which include: protocols, troubleshooting, illustrated assays, videos and webinars.

Video Protocols

WB Video Protocol
ICC/IF Video Protocol

FAQs for LENG1 Antibody (NBP2-72202) (0)

There are no specific FAQs related to this product. Read our general customer & technical service FAQs.

Customers Who Bought This Also Bought

Contact Information

Product PDFs

Calculators

Concentration Calculator

The concentration calculator allows you to quickly calculate the volume, mass or concentration of your vial. Simply enter your mass, volume, or concentration values for your reagent and the calculator will determine the rest.

=
÷

Review this Product

Be the first to review our LENG1 Antibody (OTI10A7) - Azide and BSA Free and receive a gift card or discount.

Bioinformatics

Gene Symbol LENG1