ITFG3 Antibody (OTI3B3) - Azide and BSA Free

Images

 
Western Blot: ITFG3 Antibody (OTI3B3) - Azide and BSA Free [NBP2-72253] - Analysis of HEK293T cells were transfected with the pCMV6-ENTRY control (Left lane) or pCMV6-ENTRY ITFG .
Immunohistochemistry: ITFG3 Antibody (OTI3B3) - Azide and BSA Free [NBP2-72253] - Analysis of Carcinoma of Human lung tissue.(Heat-induced epitope retrieval by 10mM citric buffer, pH6.0, 120C for 3min)
Immunohistochemistry: ITFG3 Antibody (OTI3B3) - Azide and BSA Free [NBP2-72253] - Analysis of Adenocarcinoma of Human breast tissue. (Heat-induced epitope retrieval by 10mM citric buffer, pH6.0, 120C for 3min)
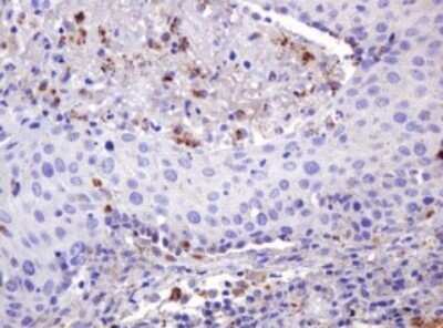
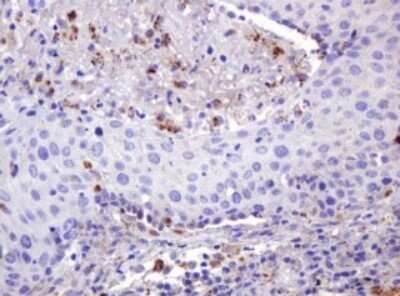
Immunohistochemistry: ITFG3 Antibody (OTI3B3) - Azide and BSA Free [NBP2-72253] - Analysis of Adenocarcinoma of Human colon tissue. (Heat-induced epitope retrieval by 10mM citric buffer, pH6.0, 120C for 3min)
Immunohistochemistry: ITFG3 Antibody (OTI3B3) - Azide and BSA Free [NBP2-72253] - Analysis of Adenocarcinoma of Human endometrium tissue. (Heat-induced epitope retrieval by 10mM citric buffer, pH6.0, 120C for 3min)
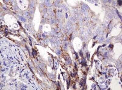
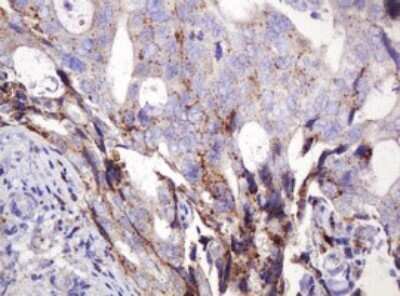
Immunohistochemistry: ITFG3 Antibody (OTI3B3) - Azide and BSA Free [NBP2-72253] - Analysis of Carcinoma of Human liver tissue.(Heat-induced epitope retrieval by 10mM citric buffer, pH6.0, 120C for 3min)
Immunohistochemistry: ITFG3 Antibody (OTI3B3) - Azide and BSA Free [NBP2-72253] - Analysis of Human Kidney tissue. (Heat-induced epitope retrieval by 10mM citric buffer, pH6.0, 120C for 3min)

Product Details

Summary
Reactivity HuSpecies Glossary
Applications WB, IHC
Clone
OTI3B3
Clonality
Monoclonal
Host
Mouse
Conjugate
Unconjugated
Format
Azide and BSA Free
Concentration
LYOPH

Order Details

ITFG3 Antibody (OTI3B3) - Azide and BSA Free Summary

Description
Novus Biologicals Mouse ITFG3 Antibody (OTI3B3) - Azide and BSA Free (NBP2-45766) is a monoclonal antibody validated for use in IHC and WB. All Novus Biologicals antibodies are covered by our 100% guarantee.
Immunogen
Full length human recombinant protein of human ITFG3 (NP_114428) produced in HEK293T cell.
Isotype
IgG1
Clonality
Monoclonal
Host
Mouse
Gene
ITFG3
Purity
Immunogen affinity purified
Innovator's Reward
Test in a species/application not listed above to receive a full credit towards a future purchase.

Applications/Dilutions

Dilutions
  • Immunohistochemistry 1:150
  • Immunohistochemistry-Paraffin
  • Western Blot 1:2000
Theoretical MW
59.5 kDa.
Disclaimer note: The observed molecular weight of the protein may vary from the listed predicted molecular weight due to post translational modifications, post translation cleavages, relative charges, and other experimental factors.

Packaging, Storage & Formulations

Storage
Store at -20C. Avoid freeze-thaw cycles.
Buffer
Lyophilized from PBS (pH 7.3) with 8% Trehalose
Preservative
No Preservative
Concentration
LYOPH
Purity
Immunogen affinity purified
Reconstitution Instructions
we recommend adding 100uL distilled water to a final antibody concentration of about 1 mg/mL. To use this carrier-free antibody for conjugation experiment, we strongly recommend performing another round of desalting process.

Alternate Names for ITFG3 Antibody (OTI3B3) - Azide and BSA Free

  • C16orf9
  • chromosome 16 open reading frame 9
  • DKFZp761D0211
  • FLJ32603
  • gs19
  • integrin alpha FG-GAP repeat containing 3
  • protein ITFG3

Limitations

This product is for research use only and is not approved for use in humans or in clinical diagnosis. Primary Antibodies are guaranteed for 1 year from date of receipt.

Publications for ITFG3 Antibody (NBP2-72253) (0)

There are no publications for ITFG3 Antibody (NBP2-72253).
By submitting your publication information earn gift cards and discounts for future purchases.

Reviews for ITFG3 Antibody (NBP2-72253) (0)

There are no reviews for ITFG3 Antibody (NBP2-72253). By submitting a review you will receive an Amazon e-Gift Card or Novus Product Discount.
  • Review with no image -- $10/€7/£6/$10 CAD/¥70 Yuan/¥1110 Yen
  • Review with an image -- $25/€18/£15/$25 CAD/¥150 Yuan/¥2500 Yen

Product General Protocols

Find general support by application which include: protocols, troubleshooting, illustrated assays, videos and webinars.

Video Protocols

WB Video Protocol

FAQs for ITFG3 Antibody (NBP2-72253) (0)

There are no specific FAQs related to this product. Read our general customer & technical service FAQs.

Customers Who Bought This Also Bought

Contact Information

Product PDFs

Calculators

Concentration Calculator

The concentration calculator allows you to quickly calculate the volume, mass or concentration of your vial. Simply enter your mass, volume, or concentration values for your reagent and the calculator will determine the rest.

=
÷

Review this Product

Be the first to review our ITFG3 Antibody (OTI3B3) - Azide and BSA Free and receive a gift card or discount.

Bioinformatics

Gene Symbol ITFG3