Intelectin-1/2 Antibody (450515) [Unconjugated]

Images

 
Western blot shows lysates of recombinant human Intelectin-1 (Catalog # 9137-IN), recombinant human Intelectin-2, human small intestine tissue, mouse small intestine tissue, and rat small intestine tissue. PVDF membrane ...read more
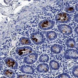
Intelectin-1/2 was detected in immersion fixed paraffin-embedded sections of human small intestine using Mouse Anti-Human/Mouse Intelectin-1/2 Monoclonal Antibody (Catalog # MAB42542) at 5 µg/mL for 1 hour at room ...read more
Intelectin-1/2 was detected in immersion fixed paraffin-embedded sections of human ileum air-liquid interface using Mouse Anti-Human/Mouse Intelectin-1/2 Monoclonal Antibody (Catalog # MAB42542) at 0.5 µg/mL overnight ...read more

Product Details

Summary
Reactivity Hu, Mu, RtSpecies Glossary
Applications WB, IHC
Clone
450515
Clonality
Monoclonal
Host
Mouse
Conjugate
Unconjugated

Order Details

Intelectin-1/2 Antibody (450515) [Unconjugated] Summary

Immunogen
E.coli-derived recombinant human Intelectin-1
Thr19-Ser298
Accession # Q8WWA0
Specificity
Detects human Intelectin-1 and human Intelectin-2 in direct ELISAs. Detects human, mouse, and rat Intelectin-1 and Intelectin-2 in Western blots.
Source
N/A
Isotype
IgG1
Clonality
Monoclonal
Host
Mouse
Purity Statement
Protein A or G purified from hybridoma culture supernatant
Innovator's Reward
Test in a species/application not listed above to receive a full credit towards a future purchase.

Applications/Dilutions

Dilutions
  • Immunohistochemistry 0.5-25 ug/mL
  • Western Blot 0.5 ug/mL

Packaging, Storage & Formulations

Storage
Use a manual defrost freezer and avoid repeated freeze-thaw cycles.
  • 12 months from date of receipt, -20 to -70 °C as supplied.
  • 1 month, 2 to 8 °C under sterile conditions after reconstitution.
  • 6 months, -20 to -70 °C under sterile conditions after reconstitution.
Buffer
Lyophilized from a 0.2 μm filtered solution in PBS with Trehalose. *Small pack size (SP) is supplied either lyophilized or as a 0.2 µm filtered solution in PBS.
Reconstitution Instructions
Reconstitute at 0.5 mg/mL in sterile PBS.

Notes

This product is produced by and ships from R&D Systems, Inc., a Bio-Techne brand.

Alternate Names for Intelectin-1/2 Antibody (450515) [Unconjugated]

  • Intelectin-1 / Intelectin-2
  • Intelectin-1/2

Background

Intelectin-1 (intestinal lectin; also ITLN-1 and omentin) is a 40 kDa Ca-dependent galactofuranose-binding lectin that is not a C-type lectin. It is expressed on multiple cell types and appears to participate in insulin signaling and microbe recognition. The human ITLN-1 preproprecursor is 313 amino acids (aa) in length. It contains an 18 aa signal sequence, a 280 aa mature segment (aa 19-298), and a 15 aa C-terminal proregion that is cleaved to generate a GPI-linkage. One fibrinogen-related domain exists in the mature molecule (aa 36-209). Human ITLN-1 exists as a disulfide-linked glycosylated homotrimer. Mouse ITLN-1 is unglycosylated and a monomer. Mature human ITLN-1 is 82% aa identical to mouse ITLN-1. Human ITLN-1 shows one alternate start site at Met72, and a splice form that contains a 32 aa substitution for aa 264-313.

Intelectin-2 (ITLN-2; also endothelial lectin 2 and HL-2) is a 37-41 kDa, likely Ca-dependent carbohydrate-binding lectin that is a member of the X-lectin family of molecules. It is secreted by intestinal Paneth cells, and appears to participate in fungal microbe recognition. The human ITLN-2 precursor is 325 amino acids (aa) in length (SwissProt #:Q8WWU7). It contains a 26 aa signal sequence and a 299 aa mature region. Although mouse ITLN-2 is reportedly GPI-linked, and mouse and human ITLN-2 show considerable C-terminal aa identity, it is not known if human ITNL-2 is also GPI-linked. There is one fibrinogen-related domain in the mature molecule (aa 44-267). One potential splice variant is reported that shows a premature truncation after Gly264. Over aa 29-324, human ITLN-2 shares 79% aa sequence identity with mouse ITLN-2/ITLN-1b, and 85% aa sequence identity with human ITLN-1.

Limitations

This product is for research use only and is not approved for use in humans or in clinical diagnosis. Primary Antibodies are guaranteed for 1 year from date of receipt.

Publications for Intelectin-1/2 Antibody (MAB42542) (0)

There are no publications for Intelectin-1/2 Antibody (MAB42542).
By submitting your publication information earn gift cards and discounts for future purchases.

Reviews for Intelectin-1/2 Antibody (MAB42542) (0)

There are no reviews for Intelectin-1/2 Antibody (MAB42542). By submitting a review you will receive an Amazon e-Gift Card or Novus Product Discount.
  • Review with no image -- $10/€7/£6/$10 CAD/¥70 Yuan/¥1110 Yen
  • Review with an image -- $25/€18/£15/$25 CAD/¥150 Yuan/¥2500 Yen

Product General Protocols

Find general support by application which include: protocols, troubleshooting, illustrated assays, videos and webinars.

Video Protocols

WB Video Protocol

FAQs for Intelectin-1/2 Antibody (MAB42542) (0)

There are no specific FAQs related to this product. Read our general customer & technical service FAQs.

Secondary Antibodies

 

Isotype Controls

Additional Intelectin-1/2 Products

Array MAB42542

Blogs on Intelectin-1/2

There are no specific blogs for Intelectin-1/2, but you can read our latest blog posts.

Contact Information

Product PDFs

Calculators

Concentration Calculator

The concentration calculator allows you to quickly calculate the volume, mass or concentration of your vial. Simply enter your mass, volume, or concentration values for your reagent and the calculator will determine the rest.

=
÷

Review this Product

Be the first to review our Intelectin-1/2 Antibody (450515) [Unconjugated] and receive a gift card or discount.

Bioinformatics

Uniprot