HBsAg Antibody (3E7)

Images

 
Immunohistochemistry-Paraffin: HBsAg Antibody (3E7) [NBP1-22568] - Formalin fixed paraffin embedded infected liver stained with HBsAg antibody (NBP1-22568).
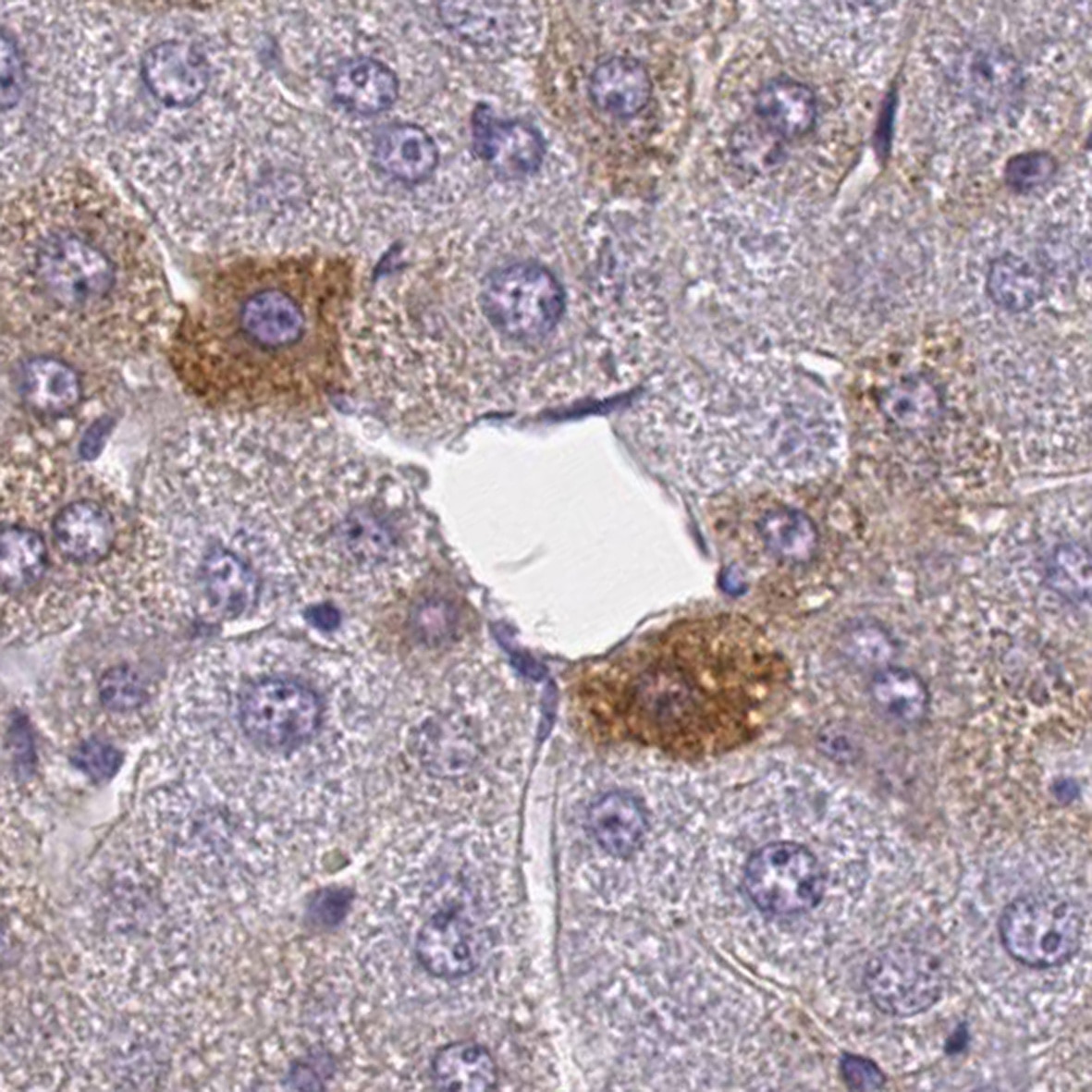
Immunohistochemistry-Paraffin: HBsAg Antibody (3E7) [NBP1-22568] - Human liver.
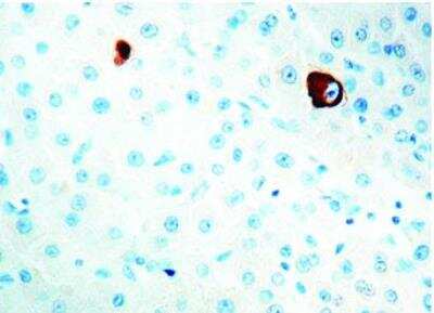
Immunohistochemistry-Paraffin: HBsAg Antibody (3E7) [NBP1-22568] - Staining in mouse liver, 1:50 antibody dilution, image from a verified customer review.

Product Details

Summary
Product Discontinued
View other related HBsAg Primary Antibodies

Order Details


    • Catalog Number
      NBP1-22568
    • Availability
      Product Discontinued

    Can't find what you are looking for? Use our Antibody Concierge Service & we will help you locate your antibody!

    Or feel free to contact us for alternative products.

HBsAg Antibody (3E7) Summary

Immunogen
Purified HBsAg subtype ayw3.
Localization
Cytoplasmic
Specificity
This reacts with the 'a' determinant present on the HBsAg subtypes ayw1, ayw2, ayw3, ayw4, ayr, adw2, adw4 and adr. It does not react with normal tissues.
Isotype
IgG1
Clonality
Monoclonal
Host
Mouse
Gene
S
Purity
Tissue culture supernatant
Innovator's Reward
Test in a species/application not listed above to receive a full credit towards a future purchase.

Applications/Dilutions

Dilutions
  • Flow Cytometry
  • Immunohistochemistry
  • Immunohistochemistry-Paraffin 1:25-1:50
Application Notes
Analyte Specific Reagent. This antibody stains the cytoplasm of antigen-positive liver cells infected with Type B viral hepatitis. IHC-P reported in a verified customer review. Use in Flow Cytometry reported in scientific literature (PMID:33125875).
Reviewed Applications
Read 1 Review rated 3
using
NBP1-22568 in the following applications:

Publications
Read Publications using
NBP1-22568 in the following applications:

Reactivity Notes

Reacts to Hepatitis B virus (HBV). Human reactivity reported in scientific literature (PMID:33125875).

Packaging, Storage & Formulations

Storage
Store at 4C.
Buffer
Tissue culture supernatant
Preservative
0.09% Sodium Azide
Purity
Tissue culture supernatant

Alternate Names for HBsAg Antibody (3E7)

  • HBsAg
  • HBV major surface antigen
  • HBV surface antigen
  • Hepatitis B Virus major surface antigen
  • Hepatitis B Virus Surface Antigen
  • Major surface antigen
  • protein S

Background

Hepatitis B Virus (HBV) infection induces a disease state which manifests itself in a variety of ways, characterized by the extent of liver damage, inflammation and viral persistence. HBV infection is also associated with a 100 fold increased risk of hepatocellular carcinoma and currently infects over 250 million people worldwide. HBV has a partially double stranded 3.2 kilobase DNA genome which contains four open reading frames. One of these encodes a 154 amino acid protein called the HBx protein. HBx has been shown to be a transcriptional transactivator of both viral and cellular promoters. Lacking a DNA binding domain and nuclear localization signal, HBx is believed to exert transcriptional activity through protein protein interaction.

Limitations

This product is for research use only and is not approved for use in humans or in clinical diagnosis. Primary Antibodies are guaranteed for 1 year from date of receipt.

Publications for HBsAg Antibody (NBP1-22568)(2)

We have publications tested in 1 confirmed species: Human.

We have publications tested in 1 application: Flow.


Filter By Application
Flow
(1)
All Applications
Filter By Species
Human
(1)
All Species

Review for HBsAg Antibody (NBP1-22568) (1) 31

Average Rating: 3
(Based on 1 review)
We have 1 review tested in 1 species: Mouse.

Reviews using NBP1-22568:
Filter by Applications
 IHC-P
(1)
All Applications
Filter by Species
Mouse
(1)
All Species
Images Ratings Applications Species Date Details
Immunohistochemistry-Paraffin HBsAg NBP1-22568
Enlarge
3
reviewed by:
Verified Customer
 IHC-P Mouse 06/12/2019
View

Summary

ApplicationImmunohistochemistry-Paraffin
Sample Testedmouse liver
SpeciesMouse
LotLot P359

Comments

CommentsPrimary Antibody 1:50; detection Kit MOM Polymer-HRP.
Weak positive staining compare to other HBsAg Clone 3E7 Antibosy (other Brand).

Product General Protocols

Find general support by application which include: protocols, troubleshooting, illustrated assays, videos and webinars.

FAQs for HBsAg Antibody (NBP1-22568) (0)

There are no specific FAQs related to this product. Read our general customer & technical service FAQs.

Secondary Antibodies

 

Isotype Controls

Additional HBsAg Products

Research Areas for HBsAg Antibody (NBP1-22568)

Find related products by research area.

Blogs on HBsAg

There are no specific blogs for HBsAg, but you can read our latest blog posts.

Contact Information

Product PDFs

Calculators

Concentration Calculator

The concentration calculator allows you to quickly calculate the volume, mass or concentration of your vial. Simply enter your mass, volume, or concentration values for your reagent and the calculator will determine the rest.

=
÷

Recent Reviews

3
5
0
4
0
3
1
2
0
1
0

Verified Customer
06/12/2019
Application:  IHC-P
Species: Mouse

Bioinformatics

Gene Symbol S