E7 Antibody (6F3)

Images

 
Western Blot: E7 Antibody (6F3) [NBP2-37628] - Western blot analysis using E7 mAb against human E7 (AA: 1-98) recombinant protein.
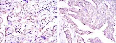
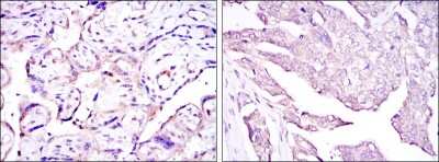
Immunohistochemistry: E7 Antibody (6F3) [NBP2-37628] - Immunohistochemical analysis of paraffin-embedded placenta tissues (left) and ovarian cancer (right) using E7 mouse mAb with DAB staining.
ELISA: E7 Antibody (6F3) [NBP2-37628] - Red: Control Antigen (100ng); Purple: Antigen (10ng); Green: Antigen (50ng); Blue: Antigen (100ng);

Product Details

Summary
Reactivity HuSpecies Glossary
Applications WB, ELISA, IHC
Clone
6F3
Clonality
Monoclonal
Host
Mouse
Conjugate
Unconjugated

Order Details

E7 Antibody (6F3) Summary

Immunogen
Purified recombinant fragment of E7 expressed in E. Coli.
Isotype
IgG1
Clonality
Monoclonal
Host
Mouse
Purity
Ascites
Innovator's Reward
Test in a species/application not listed above to receive a full credit towards a future purchase.

Applications/Dilutions

Dilutions
  • ELISA 1:10000
  • Immunohistochemistry 1:200 - 1:1000
  • Immunohistochemistry-Paraffin 1:200 - 1:1000
  • Western Blot 1:500 - 1:2000
Theoretical MW
21 kDa.
Disclaimer note: The observed molecular weight of the protein may vary from the listed predicted molecular weight due to post translational modifications, post translation cleavages, relative charges, and other experimental factors.

Packaging, Storage & Formulations

Storage
Store at 4C short term. Aliquot and store at -20C long term. Avoid freeze-thaw cycles.
Buffer
Ascites
Preservative
0.03% Sodium Azide
Purity
Ascites

Alternate Names for E7 Antibody (6F3)

  • E7 transforming protein

Limitations

This product is for research use only and is not approved for use in humans or in clinical diagnosis. Primary Antibodies are guaranteed for 1 year from date of receipt.

Publications for E7 Antibody (NBP2-37628) (0)

There are no publications for E7 Antibody (NBP2-37628).
By submitting your publication information earn gift cards and discounts for future purchases.

Reviews for E7 Antibody (NBP2-37628) (0)

There are no reviews for E7 Antibody (NBP2-37628). By submitting a review you will receive an Amazon e-Gift Card or Novus Product Discount.
  • Review with no image -- $10/€7/£6/$10 CAD/¥70 Yuan/¥1110 Yen
  • Review with an image -- $25/€18/£15/$25 CAD/¥150 Yuan/¥2500 Yen

Product General Protocols

Find general support by application which include: protocols, troubleshooting, illustrated assays, videos and webinars.

Video Protocols

WB Video Protocol

FAQs for E7 Antibody (NBP2-37628) (0)

There are no specific FAQs related to this product. Read our general customer & technical service FAQs.

Customers Who Bought This Also Bought

Contact Information

Product PDFs

Calculators

Concentration Calculator

The concentration calculator allows you to quickly calculate the volume, mass or concentration of your vial. Simply enter your mass, volume, or concentration values for your reagent and the calculator will determine the rest.

=
÷

Review this Product

Be the first to review our E7 Antibody (6F3) and receive a gift card or discount.