DCAF5 Antibody - BSA Free

Images

 
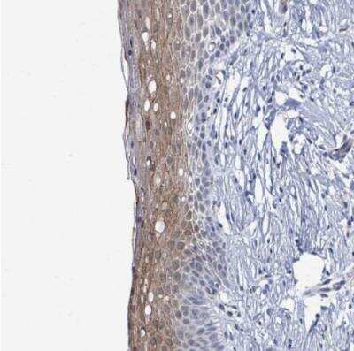
Immunohistochemistry-Paraffin: DCAF5 Antibody [NBP2-30396] - Staining of human cervix, uterine shows moderate cytoplasmic positivity in squamous epithelial cells.

Product Details

Summary
Product Discontinued
View other related DCAF5 Primary Antibodies

Order Details


    • Catalog Number
      NBP2-30396
    • Availability
      Product Discontinued

    Can't find what you are looking for? Use our Antibody Concierge Service & we will help you locate your antibody!

    Or feel free to contact us for alternative products.

DCAF5 Antibody - BSA Free Summary

Description
Novus Biologicals Rabbit DCAF5 Antibody - BSA Free (NBP2-30396) is a polyclonal antibody validated for use in IHC. All Novus Biologicals antibodies are covered by our 100% guarantee.
Immunogen
This antibody was developed against a recombinant protein corresponding to amino acids: LWHMEQAIHSRVKPIQLKGEHHSNIFCLAFNSGNTKVFSGGNDEQVILHDVESSETLDVFAHEDAVYGLSVSPVNDNIFASSSDDG
Predicted Species
Mouse (100%), Rat (100%). Backed by our 100% Guarantee.
Isotype
IgG
Clonality
Polyclonal
Host
Rabbit
Gene
DCAF5
Purity
Immunogen affinity purified
Innovator's Reward
Test in a species/application not listed above to receive a full credit towards a future purchase.

Applications/Dilutions

Dilutions
  • Immunohistochemistry 1:500 - 1:1000
  • Immunohistochemistry-Paraffin 1:500 - 1:1000
Application Notes
For IHC-Paraffin, HIER pH 6 retrieval is recommended.

Packaging, Storage & Formulations

Storage
Store at 4C short term. Aliquot and store at -20C long term. Avoid freeze-thaw cycles.
Buffer
PBS (pH 7.2) and 40% Glycerol
Preservative
0.02% Sodium Azide
Purity
Immunogen affinity purified

Alternate Names for DCAF5 Antibody - BSA Free

  • DDB1 and CUL4 associated factor 5
  • DKFZp434A035
  • uterine leiomyoma, 2
  • WDR22

Limitations

This product is for research use only and is not approved for use in humans or in clinical diagnosis. Primary Antibodies are guaranteed for 1 year from date of receipt.

Customers Who Viewed This Item Also Viewed...

AF5129
Species: Hu
Applications: WB
NBP2-30396
Species: Hu, Mu, Rt
Applications: IHC

Publications for DCAF5 Antibody (NBP2-30396) (0)

There are no publications for DCAF5 Antibody (NBP2-30396).
By submitting your publication information earn gift cards and discounts for future purchases.

Reviews for DCAF5 Antibody (NBP2-30396) (0)

There are no reviews for DCAF5 Antibody (NBP2-30396). By submitting a review you will receive an Amazon e-Gift Card or Novus Product Discount.
  • Review with no image -- $10/€7/£6/$10 CAD/¥70 Yuan/¥1110 Yen
  • Review with an image -- $25/€18/£15/$25 CAD/¥150 Yuan/¥2500 Yen

Product General Protocols

Find general support by application which include: protocols, troubleshooting, illustrated assays, videos and webinars.

FAQs for DCAF5 Antibody (NBP2-30396) (0)

There are no specific FAQs related to this product. Read our general customer & technical service FAQs.

Contact Information

Product PDFs

Calculators

Concentration Calculator

The concentration calculator allows you to quickly calculate the volume, mass or concentration of your vial. Simply enter your mass, volume, or concentration values for your reagent and the calculator will determine the rest.

=
÷

Review this Product

Be the first to review our DCAF5 Antibody - BSA Free and receive a gift card or discount.

Bioinformatics

Gene Symbol DCAF5
Uniprot