Coronavirus Antibody (FIPV3-70) - BSA Free

Images

 
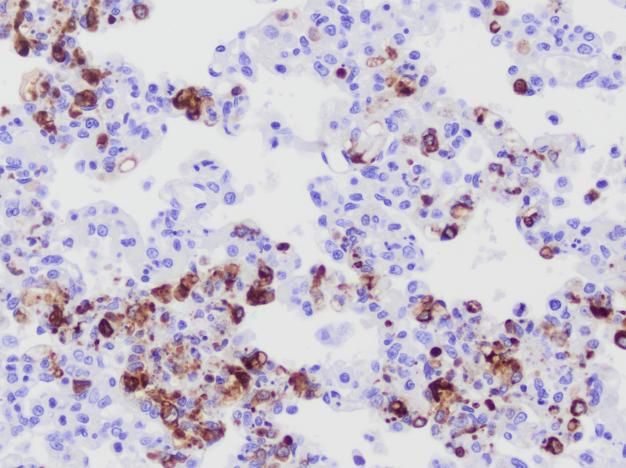
Immunohistochemistry-Paraffin: Coronavirus Antibody (FIPV3-70) [NB100-64754] - FIP immunoreactivity in feline lung. Primary antibody used at 1:400 dilution and incubated with tissue sections for 30 minutes at room ...read more

Product Details

Summary
Reactivity V-ViSpecies Glossary
Applications WB, ELISA, Flow, IHC
Clone
FIPV3-70
Clonality
Monoclonal
Host
Mouse
Conjugate
Unconjugated
Format
BSA Free
Concentration
1.0 mg/ml

Order Details

Coronavirus Antibody (FIPV3-70) - BSA Free Summary

Description
Novus Biologicals Mouse Coronavirus Antibody (FIPV3-70) - BSA Free (NB100-64754) is a monoclonal antibody validated for use in IHC, WB, ELISA, Flow and ICC/IF. Anti-Coronavirus Antibody: Cited in 3 publications. All Novus Biologicals antibodies are covered by our 100% guarantee.
Immunogen
Coronavirus cocktail
Specificity
NB100-64754 reacts with feline infectious peritonitis virus (FIPV) type 1 and 2 and is known to be specific for the nucleocapsid. It is also known to react with canine coronavirus (CCV), pig coronavirus transmissible gastroenteritis virus (TGEV) and ferret coronavirus. Some specific activity has been detected against bovine coronavirus (BCV). Clone FIPV3-70 exhibits negative reactivity against Feline Leukemia virus, Feline Immunodeficiency virus, Feline Calcivirus, Feline Herpes virus, Canine Adenovirus (type 2), Canine Distemper virus, Canine Parvovirus and Canine Parainfluenza virus.
Isotype
IgG2a
Clonality
Monoclonal
Host
Mouse
Purity
Protein A purified
Innovator's Reward
Test in a species/application not listed above to receive a full credit towards a future purchase.

Applications/Dilutions

Dilutions
  • ELISA 1:100-1:2000
  • Flow Cytometry 1:10-1:1000
  • Immunohistochemistry 1:10-1:500
  • Immunohistochemistry-Frozen 1:10-1:500
  • Immunohistochemistry-Paraffin 1:10-1:500
  • Western Blot 1:100-1:2000
Application Notes
This product requires antigen retrieval using heat treatment prior to staining of paraffin sections. Sodium citrate buffer pH 6.0 is recommended for this purpose.
Reviewed Applications
Read 1 Review rated 5
using
NB100-64754 in the following applications:

Publications
Read Publications using
NB100-64754 in the following applications:

Packaging, Storage & Formulations

Storage
Store at 4C short term. Aliquot and store at -20C long term. Avoid freeze-thaw cycles.
Buffer
PBS
Preservative
<0.1% Sodium Azide
Concentration
1.0 mg/ml
Purity
Protein A purified

Alternate Names for Coronavirus Antibody (FIPV3-70) - BSA Free

  • Coronaviridae

Limitations

This product is for research use only and is not approved for use in humans or in clinical diagnosis. Primary Antibodies are guaranteed for 1 year from date of receipt.

Publications for Coronavirus Antibody (NB100-64754)(3)

Review for Coronavirus Antibody (NB100-64754) (1) 51

Average Rating: 5
(Based on 1 review)
We have 1 review tested in 1 species: Feline.

Reviews using NB100-64754:
Filter by Applications
 IHC-P
(1)
All Applications
Filter by Species
Feline
(1)
All Species
Images Ratings Applications Species Date Details
Immunohistochemistry-Paraffin Coronavirus NB100-64754
Enlarge
5
reviewed by:
Verified Customer
 IHC-P Feline 10/29/2021
View

Summary

ApplicationImmunohistochemistry-Paraffin
Sample Testedlung
SpeciesFeline
Lot155364

Product General Protocols

Find general support by application which include: protocols, troubleshooting, illustrated assays, videos and webinars.

Video Protocols

WB Video Protocol

FAQs for Coronavirus Antibody (NB100-64754). (Showing 1 - 1 of 1 FAQs).

  1. Please could you suggest me the starting dilution of FIPV3-70 antibody (Cat no. NB100-64754) for immunology experiment?
    • The recommended starting dilution for WB is 1:1000-1:2000, IHC 1:100-1:200. These are just starting values and you would need to optimize these according to your sample.

Secondary Antibodies

 

Isotype Controls

Additional Coronavirus Products

Array NB100-64754

Blogs on Coronavirus.

Post-COVID Conditions or Long COVID and COVID Long-Haulers
By Jamshed Arslan, Pharm D, PhD Post-acute infection syndrome (PAIS) is a phenomenon where ill effects of an infection persist even after the infection itself is over. PAIS in the case of COVID is called t...  Read full blog post.

Early T cell response is associated with mild COVID-19 and rapid SARS-CoV-2 clearance
Jamshed Arslan, Pharm D, PhD SARS-CoV-2 induces both humoral and cellular immunity. A vaccine or natural infection invokes SARS-CoV-2-specific humoral components (antibodies from activated B cells) and cellular resp...  Read full blog post.

COVID-19 and metabolic dysregulation: SARS-CoV-2 injures human exocrine and endocrine pancreas
Jamshed Arslan, Pharm D, PhD Humans rely on the pancreas for digesting food and generating energy from it. SARS-CoV-2-mediated damage to the exocrine pancreas is evident from the pancreatitis, pancreatic enlargeme...  Read full blog post.

SARS-CoV-2 Vaccine Targets: The Present and Future of COVID-19
Jamshed Arslan, Pharm D, PhD Current approved and candidate vaccinesSARS-CoV-2 spike (S) protein is the main target of COVID-19 vaccines. Pfizer/BioNTech and Moderna vaccines are RNA-based vaccines while Oxford-Ast...  Read full blog post.


  Read full blog post.

COVID-19 and the Cardiovascular System: Observed complications and potential mechanisms
By Victoria OsinskiThe outbreak of COVID-19 resulting from the transmission of the novel severe acute respiratory syndrome coronavirus-2 (SARS-CoV-2) has resulted in many cases of illness typically manifesting in mi...  Read full blog post.


  Read full blog post.

Customers Who Bought This Also Bought

Contact Information

Product PDFs

Calculators

Concentration Calculator

The concentration calculator allows you to quickly calculate the volume, mass or concentration of your vial. Simply enter your mass, volume, or concentration values for your reagent and the calculator will determine the rest.

=
÷

Recent Reviews

5
5
1
4
0
3
0
2
0
1
0

Verified Customer
10/29/2021
Application:  IHC-P
Species: Feline