Cancer Cell Development Antibody Pack

Images

 
Immunocytochemistry/ Immunofluorescence: Cancer Cell Development Antibody Pack [NBP1-78940] - Analysis of TPX2 using NB500-179 at the mitotic spindle microtubules and poles in a HeLa metaphase cell. Image from verified ...read more
Immunocytochemistry/ Immunofluorescence: Cancer Cell Development Antibody Pack [NBP1-78940] - IF Confocal analysis of HeLa cells using Aurora A antibody (NBP1-51843, 1:10). An Alexa Fluor 488-conjugated Goat to rabbit ...read more
Western Blot: Cancer Cell Development Antibody Pack [NBP1-78940] - WB detection of Aurora A using NBP1-51843 in HeLa whole cell lysate.
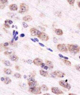
Immunohistochemistry: Cancer Cell Development Antibody Pack 2vials [NBP1-78940] - IHC staining of Aurora A in mouse brain using NBP1-51843.
Western Blot: Cancer Cell Development Antibody Pack [NBP1-78940] - Analysis of TPX2 expression in 1) HeLa, 2) Ntera2, 3) K-562 and 4) Raji whole cell lysates using NB500-179.

Product Details

Summary
Product Discontinued
View other related Cancer Cell Development Antibody Packs

Order Details


    • Catalog Number
      NBP1-78940
    • Availability
      Product Discontinued

    Can't find what you are looking for? Use our Antibody Concierge Service & we will help you locate your antibody!

    Or feel free to contact us for alternative products.

Cancer Cell Development Antibody Pack Summary

Description
This pack contains 1 vial each of: NBP1-51843 (25 uL) and NB500-179 (25 uL).
Immunogen
See individual datasheets.
Specificity
This Cancer Cell Development Antibodies Sample Pack includes antibodies to Aurora A and TPX2.

Applications/Dilutions

Dilutions
  • Immunocytochemistry/ Immunofluorescence
  • Western Blot
Application Notes
Mainly Western blot, however additional applications may be possible for individual products. See individual datasheets for validated applications.

Reactivity Notes

Human and mouse, however additional species may be possible for individual products.

Packaging, Storage & Formulations

Storage
Aliquot and store at -20C or -80C. Avoid freeze-thaw cycles.
Buffer
See individual datasheets.

Kit Components

Background

The TPX2 activator regulates the activation of Aurora A. This activation is important in cancer cell replication.

Limitations

This product is for research use only and is not approved for use in humans or in clinical diagnosis. Antibody Packs are guaranteed for 1 year from date of receipt.

Publications for Cancer Cell Development Antibody Pack (NBP1-78940) (0)

There are no publications for Cancer Cell Development Antibody Pack (NBP1-78940).
By submitting your publication information earn gift cards and discounts for future purchases.

Reviews for Cancer Cell Development Antibody Pack (NBP1-78940) (0)

There are no reviews for Cancer Cell Development Antibody Pack (NBP1-78940). By submitting a review you will receive an Amazon e-Gift Card or Novus Product Discount.
  • Review with no image -- $10/€7/£6/$10 CAD/¥70 Yuan/¥1110 Yen
  • Review with an image -- $25/€18/£15/$25 CAD/¥150 Yuan/¥2500 Yen

Product General Protocols

Find general support by application which include: protocols, troubleshooting, illustrated assays, videos and webinars.

Video Protocols

WB Video Protocol
ICC/IF Video Protocol

FAQs for Cancer Cell Development Antibody Pack (NBP1-78940) (0)

There are no specific FAQs related to this product. Read our general customer & technical service FAQs.

Research Areas for Cancer Cell Development Antibody Pack (NBP1-78940)

Find related products by research area.

Blogs on Cancer Cell Development

There are no specific blogs for Cancer Cell Development, but you can read our latest blog posts.

Contact Information

Product PDFs

Review this Product

Be the first to review our Cancer Cell Development Antibody Pack and receive a gift card or discount.