CA19-9/Sialyl Lewis A Antibody (SPM588) - Azide and BSA Free

Images

 
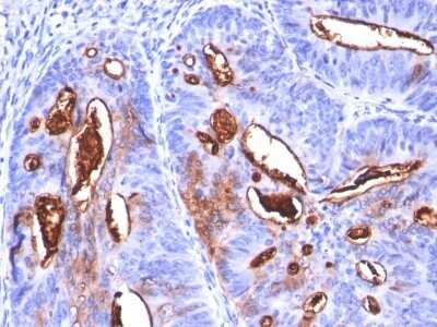
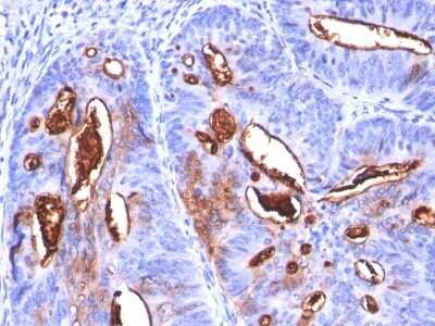
Immunohistochemistry-Paraffin: CA19-9/Sialyl Lewis A Antibody (SPM588) - Azide and BSA Free [NBP3-11589] - Human Colon Carcinoma stained with CA19-9 Monoclonal Antibody (SPM588)).
Immunohistochemistry-Paraffin: CA19-9/Sialyl Lewis A Antibody (SPM588) - Azide and BSA Free [NBP3-11589] - Human thyroid carcinoma tissue section. Fixed with 4% formaldehyde, incubated O/N at 4C with primary antibody. ...read more

Product Details

Summary
Reactivity HuSpecies Glossary
Applications Flow, ICC/IF, IHC, ICC/IF
Clone
SPM588
Clonality
Monoclonal
Host
Mouse
Conjugate
Unconjugated
Format
Azide and BSA Free
Concentration
1 mg/ml

Order Details

View Available Formulations

CA19-9/Sialyl Lewis A Antibody (SPM588) - Azide and BSA Free Summary

Description
1.0 mg/ml of antibody purified from Bioreactor Concentrate. Prepared in 10mM PBS WITHOUT BSA. Also available at 200 ug/ml WITH BSA & azide (NBP2-45199).

Antibody with azide - store at 2 to 8C. Antibody without azide - store at -20 to -80C.
Immunogen
Precipitin lines obtained after immuno-diffusion using MAb 116-NS-19-9 and mucins isolated from an ovarian cyst of a Lewis A+B- patient (0Le).
Localization
Cytoplasmic
Marker
GI Tumor Marker
Specificity
CA19-9, a carbohydrate epitope expressed on a high MW (400kDa) mucin glycoprotein, is a sialyl Lewisa structure which is synthesized from type 1 blood group precursor chains and is present in individuals expressing the Lewisa and/or Lewisb blood group antigens. In normal tissues, sialyl Lewisa antigen is present in ductal epithelium of the breast, kidney, salivary gland, and sweat glands. Its expression is greatly enhanced in serum as well as in the majority of tumor cells in gastrointestinal (GI) carcinomas, including adenocarcinomas of the stomach, intestine, and pancreas. Preoperative elevated CA19-9 levels in patients with stage I pancreatic carcinoma decrease to normal values following surgery. When used serially, CA19-9 can predict recurrence of disease prior to radiographic or clinical findings. This monoclonal antibody is superb for staining of formalin-fixed, paraffin-embedded tissues.
Isotype
IgM Kappa
Clonality
Monoclonal
Host
Mouse
Purity
Protein L or PEG purified
Innovator's Reward
Test in a species/application not listed above to receive a full credit towards a future purchase.

Applications/Dilutions

Dilutions
  • Flow Cytometry 0.5 - 1 ug/million cells in 0.1 ml
  • Immunocytochemistry/ Immunofluorescence 1-2 ug/ml
  • Immunofluorescence 0.5 - 1.0 ug/ml
  • Immunohistochemistry
  • Immunohistochemistry-Paraffin 0.5 - 1.0 ug/ml
Application Notes
Immunohistochemistry (Formalin-fixed): 1-2ug/ml for 30 minutes at RT. No special pretreatment is required for the immunohistochemical staining of formalin-fixed, paraffin-embedded tissues.
Optimal dilution for a specific application should be determined.
Theoretical MW
400 kDa.
Disclaimer note: The observed molecular weight of the protein may vary from the listed predicted molecular weight due to post translational modifications, post translation cleavages, relative charges, and other experimental factors.

Packaging, Storage & Formulations

Storage
Store at -20 to -80C. Avoid freeze-thaw cycles.
Buffer
10 mM PBS
Preservative
No Preservative
Concentration
1 mg/ml
Purity
Protein L or PEG purified

Alternate Names for CA19-9/Sialyl Lewis A Antibody (SPM588) - Azide and BSA Free

  • CA 19-9
  • CA19-9

Limitations

This product is for research use only and is not approved for use in humans or in clinical diagnosis. Primary Antibodies are guaranteed for 1 year from date of receipt.

Publications for CA19-9/Sialyl Lewis A Antibody (NBP3-11589) (0)

There are no publications for CA19-9/Sialyl Lewis A Antibody (NBP3-11589).
By submitting your publication information earn gift cards and discounts for future purchases.

Reviews for CA19-9/Sialyl Lewis A Antibody (NBP3-11589) (0)

There are no reviews for CA19-9/Sialyl Lewis A Antibody (NBP3-11589). By submitting a review you will receive an Amazon e-Gift Card or Novus Product Discount.
  • Review with no image -- $10/€7/£6/$10 CAD/¥70 Yuan/¥1110 Yen
  • Review with an image -- $25/€18/£15/$25 CAD/¥150 Yuan/¥2500 Yen

Product General Protocols

Find general support by application which include: protocols, troubleshooting, illustrated assays, videos and webinars.

Video Protocols

ICC/IF Video Protocol

FAQs for CA19-9/Sialyl Lewis A Antibody (NBP3-11589) (0)

There are no specific FAQs related to this product. Read our general customer & technical service FAQs.

Secondary Antibodies

 

Isotype Controls

Additional CA19-9/Sialyl Lewis A Products

Research Areas for CA19-9/Sialyl Lewis A Antibody (NBP3-11589)

Find related products by research area.

Blogs on CA19-9/Sialyl Lewis A.

Autophagy and RAS signaling: Clinical implications
By Christina Towers, PhD The cellular recycling process known as autophagy is currently being targeted in over 60 clinical trials focused on treating different types of cancer1. To date, the only autophagy-targeted ...  Read full blog post.

Customers Who Bought This Also Bought

Contact Information

Product PDFs

Calculators

Concentration Calculator

The concentration calculator allows you to quickly calculate the volume, mass or concentration of your vial. Simply enter your mass, volume, or concentration values for your reagent and the calculator will determine the rest.

=
÷

Review this Product

Be the first to review our CA19-9/Sialyl Lewis A Antibody (SPM588) - Azide and BSA Free and receive a gift card or discount.