CA19-9/Sialyl Lewis A Antibody (SPM588) - IHC-Prediluted

Images

 
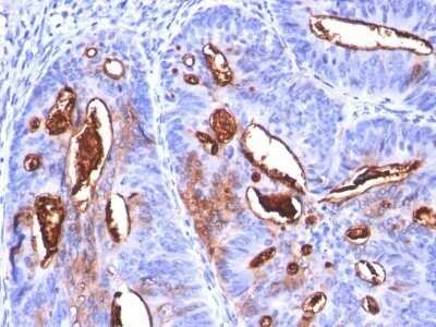
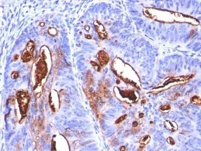
Immunohistochemistry-Paraffin: CA19-9/Sialyl Lewis A Antibody (SPM588) - IHC-Prediluted [NBP2-48432] - Human Colon Carcinoma stained with CA19-9 Monoclonal Antibody (SPM588)).

Product Details

Summary
Reactivity HuSpecies Glossary
Applications IHC
Clone
SPM588
Clonality
Monoclonal
Host
Mouse
Conjugate
Unconjugated
Format
IHC-Prediluted

Order Details

View Available Formulations

CA19-9/Sialyl Lewis A Antibody (SPM588) - IHC-Prediluted Summary

Description
The prediluted antibody does not require any mixing, dilution, reconstitution, or titration; the antibody is ready-to-use and optimized for staining.
Immunogen
Precipitin lines obtained after immuno-diffusion using MAb 116-NS-19-9 and mucins isolated from an ovarian cyst of a Lewis A+B- patient (0Le).
Localization
Cytoplasmic
Marker
GI Tumor Marker
Specificity
CA19-9, a carbohydrate epitope expressed on a high MW (400kDa) mucin glycoprotein, is a sialyl Lewisa structure which is synthesized from type 1 blood group precursor chains and is present in individuals expressing the Lewisa and/or Lewisb blood group antigens. In normal tissues, sialyl Lewisa antigen is present in ductal epithelium of the breast, kidney, salivary gland, and sweat glands. Its expression is greatly enhanced in serum as well as in the majority of tumor cells in gastrointestinal (GI) carcinomas, including adenocarcinomas of the stomach, intestine, and pancreas. Preoperative elevated CA19-9 levels in patients with stage I pancreatic carcinoma decrease to normal values following surgery. When used serially, CA19-9 can predict recurrence of disease prior to radiographic or clinical findings. This monoclonal antibody is superb for staining of formalin-fixed, paraffin-embedded tissues.
Isotype
IgM Kappa
Clonality
Monoclonal
Host
Mouse
Purity
Protein L or PEG purified
Innovator's Reward
Test in a species/application not listed above to receive a full credit towards a future purchase.

Applications/Dilutions

Dilutions
  • Immunohistochemistry
  • Immunohistochemistry-Paraffin
Application Notes
Hu-chromosome location: 1q32.2
Molecular weight of antigen: 90-110kDa
Immunohistochemistry-Paraffin 0.25 - 0.5 ug/ml for 30 minutes at RT; Staining of formalin-fixed tissues is enhanced by boiling tissue sections in 10mM Citrate Buffer, pH 6.0, for 10 - 20 min followed by cooling at RT for 20 minutes. The 7mL size is a pre-diluted size and no additional dilutions are required before using this item for the intended application.
Theoretical MW
400 kDa.
Disclaimer note: The observed molecular weight of the protein may vary from the listed predicted molecular weight due to post translational modifications, post translation cleavages, relative charges, and other experimental factors.

Packaging, Storage & Formulations

Storage
Store at 4C.
Buffer
10 mM PBS with 0.05% BSA
Preservative
0.05% Sodium Azide
Purity
Protein L or PEG purified

Alternate Names for CA19-9/Sialyl Lewis A Antibody (SPM588) - IHC-Prediluted

  • CA 19-9
  • CA19-9

Limitations

This product is for research use only and is not approved for use in humans or in clinical diagnosis. Primary Antibodies are guaranteed for 1 year from date of receipt.

Publications for CA19-9/Sialyl Lewisa Antibody (NBP2-48432) (0)

There are no publications for CA19-9/Sialyl Lewisa Antibody (NBP2-48432).
By submitting your publication information earn gift cards and discounts for future purchases.

Reviews for CA19-9/Sialyl Lewisa Antibody (NBP2-48432) (0)

There are no reviews for CA19-9/Sialyl Lewisa Antibody (NBP2-48432). By submitting a review you will receive an Amazon e-Gift Card or Novus Product Discount.
  • Review with no image -- $10/€7/£6/$10 CAD/¥70 Yuan/¥1110 Yen
  • Review with an image -- $25/€18/£15/$25 CAD/¥150 Yuan/¥2500 Yen

Product General Protocols

Find general support by application which include: protocols, troubleshooting, illustrated assays, videos and webinars.

FAQs for CA19-9/Sialyl Lewisa Antibody (NBP2-48432) (0)

There are no specific FAQs related to this product. Read our general customer & technical service FAQs.

Secondary Antibodies

 

Isotype Controls

Additional CA19-9/Sialyl Lewis A Products

Research Areas for CA19-9/Sialyl Lewisa Antibody (NBP2-48432)

Find related products by research area.

Blogs on CA19-9/Sialyl Lewis A.

Autophagy and RAS signaling: Clinical implications
By Christina Towers, PhD The cellular recycling process known as autophagy is currently being targeted in over 60 clinical trials focused on treating different types of cancer1. To date, the only autophagy-targeted ...  Read full blog post.

Customers Who Bought This Also Bought

Contact Information

Product PDFs

Calculators

Concentration Calculator

The concentration calculator allows you to quickly calculate the volume, mass or concentration of your vial. Simply enter your mass, volume, or concentration values for your reagent and the calculator will determine the rest.

=
÷

Review this Product

Be the first to review our CA19-9/Sialyl Lewis A Antibody (SPM588) - IHC-Prediluted and receive a gift card or discount.