Anoctamin 4 Antibody

Images

 
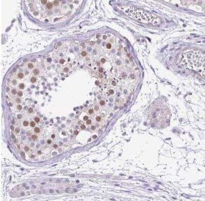
Immunohistochemistry-Paraffin: Anoctamin 4 Antibody [NBP2-30727] - Staining of human testis shows moderate nuclear positivity in cells in seminiferus ducts.

Product Details

Summary
Product Discontinued
View other related Anoctamin 4 Primary Antibodies

Order Details


    • Catalog Number
      NBP2-30727
    • Availability
      Product Discontinued

    Can't find what you are looking for? Use our Antibody Concierge Service & we will help you locate your antibody!

    Or feel free to contact us for alternative products.

Anoctamin 4 Antibody Summary

Immunogen
This antibody was developed against a recombinant protein corresponding to amino acids: ASSSGITNGKTKVFHPEGGVDLQGYQLDMQILPDGPKSDVDFSEILNAIQEMAKDVNILFDELEAVSSPCKDDDSLLHPGNLTSTSDDASRLG
Predicted Species
Mouse (90%). Backed by our 100% Guarantee.
Isotype
IgG
Clonality
Polyclonal
Host
Rabbit
Gene
ANO4
Purity
Immunogen affinity purified
Innovator's Reward
Test in a species/application not listed above to receive a full credit towards a future purchase.

Applications/Dilutions

Dilutions
  • Immunohistochemistry 1:200 - 1:500
  • Immunohistochemistry-Paraffin 1:200 - 1:500
Application Notes
For IHC-Paraffin, HIER pH 6 retrieval is recommended.

Reactivity Notes

Rat (88%).

Packaging, Storage & Formulations

Storage
Store at 4C short term. Aliquot and store at -20C long term. Avoid freeze-thaw cycles.
Buffer
PBS (pH 7.2) and 40% Glycerol
Preservative
0.02% Sodium Azide
Purity
Immunogen affinity purified

Alternate Names for Anoctamin 4 Antibody

  • ANO4
  • anoctamin-4
  • FLJ34272
  • TMEM16D
  • Transmembrane Protein 16D

Limitations

This product is for research use only and is not approved for use in humans or in clinical diagnosis. Primary Antibodies are guaranteed for 1 year from date of receipt.

Customers Who Viewed This Item Also Viewed...

NBP2-46527
Species: Hu, Mu, Rt
Applications: IHC,  IHC-P
NBP1-84207
Species: Hu
Applications: IHC,  IHC-P
NBP3-17120
Species: Hu
Applications: IHC,  IHC-P
NBP2-15971
Species: Hu, Mu, Rt
Applications: ICC/IF, IHC,  IHC-P, KO, WB
NBP1-90095
Species: Hu
Applications: IHC,  IHC-P
NBP3-48141
Species: Hu, Mu
Applications: ELISA, IHC, IP, WB
NBP3-48139
Species: Hu, Mu, Rt
Applications: ELISA, ICC/IF, WB
NBP2-38869
Species: Hu
Applications: IHC,  IHC-P
NBP2-82024
Species: Hu, Rt
Applications: ELISA, ICC/IF, WB
NBP2-43685
Species: Hu
Applications: WB
NBP1-86688
Species: Hu
Applications: IHC,  IHC-P
NBP2-30727
Species: Hu, Mu
Applications: IHC

Publications for Anoctamin 4 Antibody (NBP2-30727) (0)

There are no publications for Anoctamin 4 Antibody (NBP2-30727).
By submitting your publication information earn gift cards and discounts for future purchases.

Reviews for Anoctamin 4 Antibody (NBP2-30727) (0)

There are no reviews for Anoctamin 4 Antibody (NBP2-30727). By submitting a review you will receive an Amazon e-Gift Card or Novus Product Discount.
  • Review with no image -- $10/€7/£6/$10 CAD/¥70 Yuan/¥1110 Yen
  • Review with an image -- $25/€18/£15/$25 CAD/¥150 Yuan/¥2500 Yen

Product General Protocols

Find general support by application which include: protocols, troubleshooting, illustrated assays, videos and webinars.

FAQs for Anoctamin 4 Antibody (NBP2-30727) (0)

There are no specific FAQs related to this product. Read our general customer & technical service FAQs.

Secondary Antibodies

 

Isotype Controls

Additional Anoctamin 4 Products

Array NBP2-30727

Blogs on Anoctamin 4

There are no specific blogs for Anoctamin 4, but you can read our latest blog posts.

Contact Information

Product PDFs

Calculators

Concentration Calculator

The concentration calculator allows you to quickly calculate the volume, mass or concentration of your vial. Simply enter your mass, volume, or concentration values for your reagent and the calculator will determine the rest.

=
÷

Review this Product

Be the first to review our Anoctamin 4 Antibody and receive a gift card or discount.

Bioinformatics

Gene Symbol ANO4
Uniprot