Sort By:
page of 1

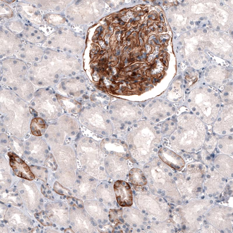
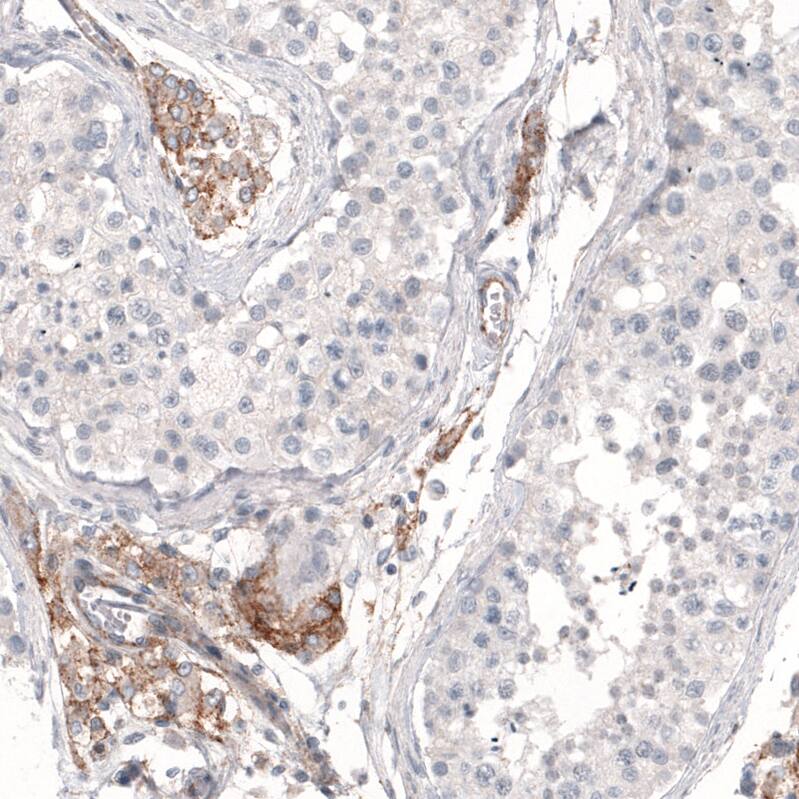
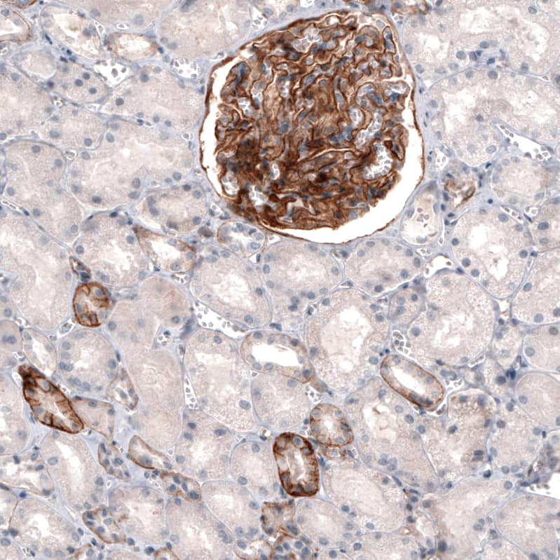
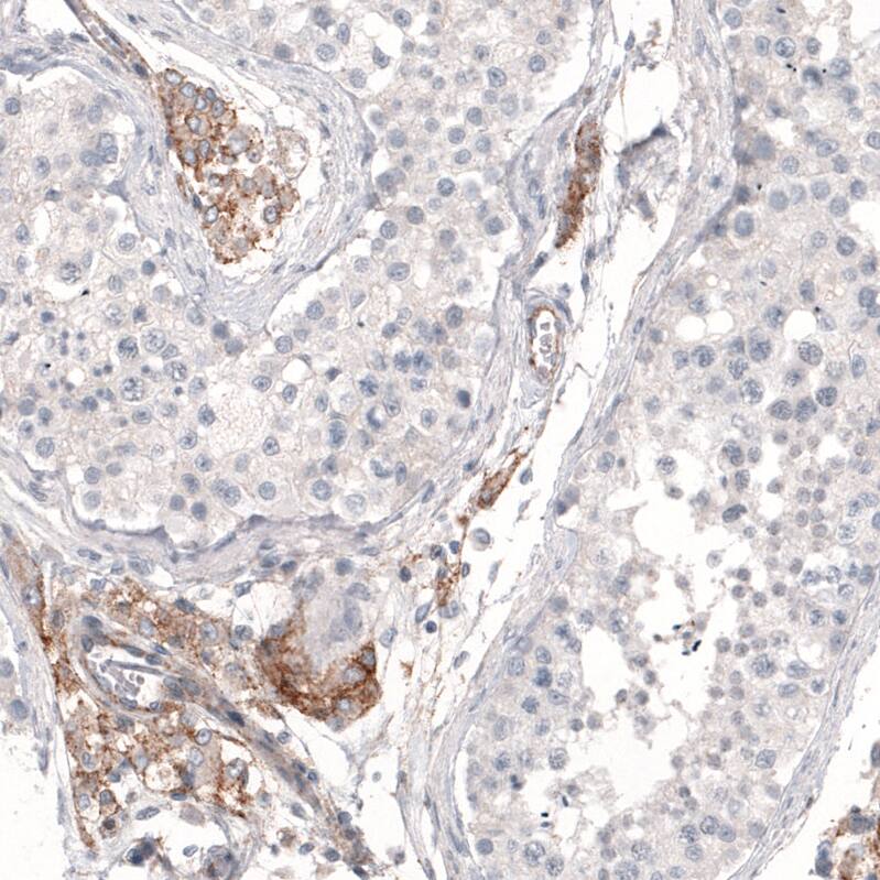
THSD7A Antibodies

We offer THSD7A Antibodies for use in common research applications: Immunohistochemistry, Immunohistochemistry-Paraffin. Each THSD7A Antibody is fully covered by our Guarantee+, to give you complete peace of mind and the support when you need it. Our THSD7A Antibodies can be used in a variety of model species: Human. Use the list below to choose the THSD7A Antibody which is most appropriate for your research; you can click on each one to view full technical details, images, references, reviews and related products. Choose from our THSD7A polyclonal antibodies.
Alternate Names for THSD7A Antibodies
anti-THSD7A antibody, anti-thrombospondin, type I, domain containing 7A antibody
4 Results for "thsd7a" in Primary Antibodies
Hu
Species Glossary
Reactivity: Hu
IHC
Applications: IHC
Rabbit Polyclonal
Host: Rabbit Polyclonal
Sample Size Available
Sizes: Sample Size Available
Unconjugated  
Available Formulations
Formulation Catalog # Availability Price  
compare
(select up to 3 products from this page to compare)
100 ul
Hu
Species Glossary
Reactivity: Hu
IHC
Applications: IHC
Mouse Monoclonal
Host: Mouse Monoclonal
Unconjugated  
compare
(select up to 3 products from this page to compare)
page of 1