Filter ResultsClear All
clearclear

Protein/Target

clear

Reactivity

clear

Citation

clear

Host

clear

Format

clear

Modification

clear

Clonality

clear

Has Sample Size

clear

Promotional Item

Sort By:
page of 1

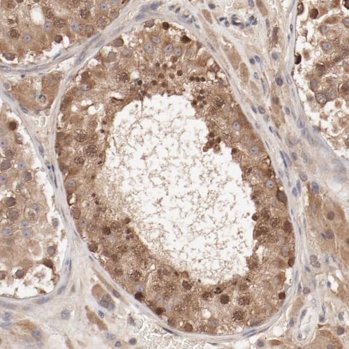
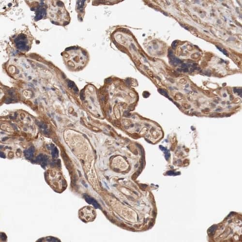
PITPNM2 Antibodies

We offer PITPNM2 Antibodies for use in common research applications: Immunocytochemistry/Immunofluorescence, Immunohistochemistry, Immunohistochemistry-Paraffin. Each PITPNM2 Antibody is fully covered by our Guarantee+, to give you complete peace of mind and the support when you need it. Our PITPNM2 Antibodies can be used in a variety of model species: Human. Use the list below to choose the PITPNM2 Antibody which is most appropriate for your research; you can click on each one to view full technical details, images, references, reviews and related products. Choose from our PITPNM2 polyclonal antibodies.
Alternate Names for PITPNM2 Antibodies
anti-PITPNM2 antibody, anti-phosphatidylinositol transfer protein, membrane-associated 2 antibody
2 Results for "pitpnm2" in Primary Antibodies
0.1 ml
Hu
Species Glossary
Reactivity: Hu
IHC
Applications: IHC
Rabbit Polyclonal
Host: Rabbit Polyclonal
Sample Size Available
Sizes: Sample Size Available
Unconjugated  
Available Formulations
Formulation Catalog # Availability Price  
compare
(select up to 3 products from this page to compare)
Hu
Species Glossary
Reactivity: Hu
IHC
Applications: IHC
Rabbit Polyclonal
Host: Rabbit Polyclonal
Sample Size Available
Sizes: Sample Size Available
Unconjugated  
Available Formulations
Formulation Catalog # Availability Price  
compare
(select up to 3 products from this page to compare)
page of 1