Sort By:
page of 1

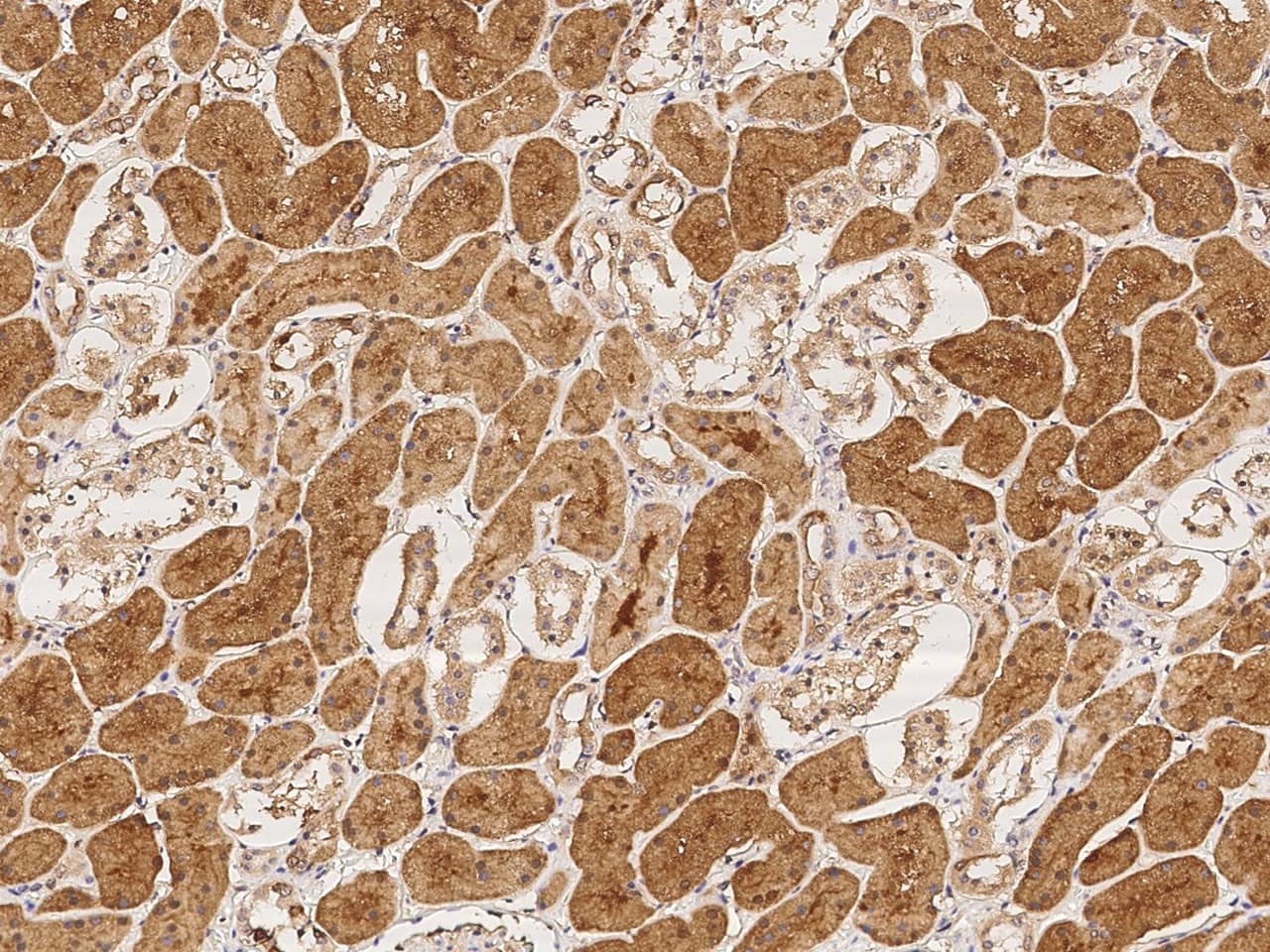
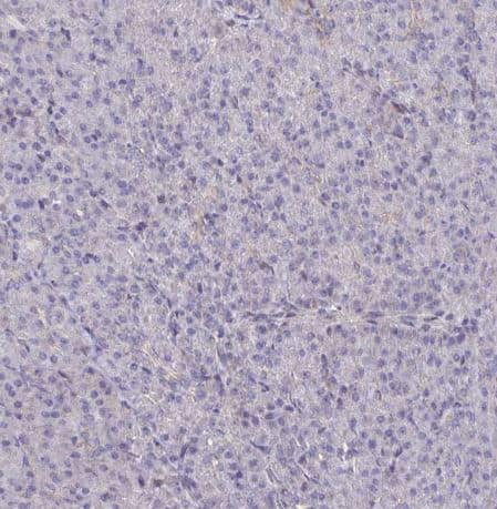
L3HYPDH Antibodies

We offer L3HYPDH Antibodies for use in common research applications: Immunohistochemistry. Each L3HYPDH Antibody is fully covered by our Guarantee+, to give you complete peace of mind and the support when you need it. Our L3HYPDH Antibodies can be used in a variety of model species: Human. Use the list below to choose the L3HYPDH Antibody which is most appropriate for your research; you can click on each one to view full technical details, images, references, reviews and related products. Choose from our L3HYPDH polyclonal antibodies.
Alternate Names for L3HYPDH Antibodies
anti-L3HYPDH antibody, anti-C14orf149 antibody, anti-chromosome 14 open reading frame 149 antibody, anti-EC 5.1.1.4 antibody, anti-FLJ25436 antibody, anti-probable proline racemase antibody, anti-proline racemase-like antibody
4 Results for "l3hypdh" in Primary Antibodies
0.1 ml
Hu
Species Glossary
Reactivity: Hu
WB, IHC
Applications: WB, IHC
Rabbit Polyclonal
Host: Rabbit Polyclonal
Sample Size Available
Sizes: Sample Size Available
Unconjugated  
Available Formulations
Formulation Catalog # Availability Price  
compare
(select up to 3 products from this page to compare)
100 ul
Hu
Species Glossary
Reactivity: Hu
IHC
Applications: IHC
Rabbit Polyclonal
Host: Rabbit Polyclonal
Unconjugated  
compare
(select up to 3 products from this page to compare)
0.1ml
Hu
Species Glossary
Reactivity: Hu
WB
Applications: WB
Rabbit Polyclonal
Host: Rabbit Polyclonal
Unconjugated  
compare
(select up to 3 products from this page to compare)
0.1ml
Hu
Species Glossary
Reactivity: Hu
WB
Applications: WB
Rabbit Polyclonal
Host: Rabbit Polyclonal
Unconjugated  
compare
(select up to 3 products from this page to compare)
page of 1