Filter ResultsClear All
clearclear

Protein/Target

clearclearclear

Citation

clearclearclearclear

Modification

clearclearclearclearclearclearclear

Has Sample Size

clear

Promotional Item

Sort By:
page of 7

ICAM-3/CD50 Antibodies

We offer ICAM-3/CD50 Antibodies for use in common research applications: Adhesion Blockade, Blocking/Neutralizing, ELISA, ELISA Capture (Matched Antibody Pair), ELISA Detection (Matched Antibody Pair), ELISA Standard (Matched Pair), Flow Cytometry, Immunocytochemistry, Immunocytochemistry/Immunofluorescence, Immunofluorescence, Immunohistochemistry, Immunohistochemistry-Frozen, Immunohistochemistry-Paraffin, Immunoprecipitation, Radioimmunoassay, Western Blot. Each ICAM-3/CD50 Antibody is fully covered by our Guarantee+, to give you complete peace of mind and the support when you need it. Our ICAM-3/CD50 Antibodies can be used in a variety of model species: Canine, Human, Monkey. Use the list below to choose the ICAM-3/CD50 Antibody which is most appropriate for your research; you can click on each one to view full technical details, images, references, reviews and related products. Choose from our ICAM-3/CD50 polyclonal antibodies and browse our ICAM-3/CD50 monoclonal antibody catalog.
Alternate Names for ICAM-3/CD50 Antibodies
anti-ICAM-3/CD50 antibody, anti-ICAM3 antibody, anti-CD50 antibody, anti-CD50 antigen antibody, anti-CDW50CDw50 antibody, anti-ICAM-3 antibody, anti-ICAM-Rintercellular adhesion molecule-3 antibody, anti-intercellular adhesion molecule 3 antibody
74 Results for "icam-3-cd50" in Primary Antibodies
0.1 mg
Hu
Species Glossary
Reactivity: Hu
ICC/IF, IHC
Applications: ICC/IF, IHC
Mouse Monoclonal
Host: Mouse Monoclonal
Sample Size Available
Sizes: Sample Size Available
Unconjugated  
Available Conjugates:
Available Formulations
Formulation Catalog # Availability Price  
compare
(select up to 3 products from this page to compare)
100 ul
Hu
Species Glossary
Reactivity: Hu
WB, ICC/IF, IHC
Applications: WB, ICC/IF, IHC
Rabbit Monoclonal
Host: Rabbit Monoclonal
Unconjugated  
Available Formulations
Formulation Catalog # Availability Price  
compare
(select up to 3 products from this page to compare)
100 ul
Hu
Species Glossary
Reactivity: Hu
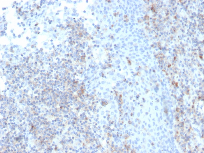
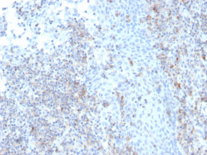
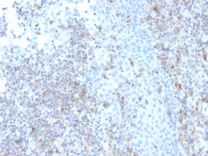
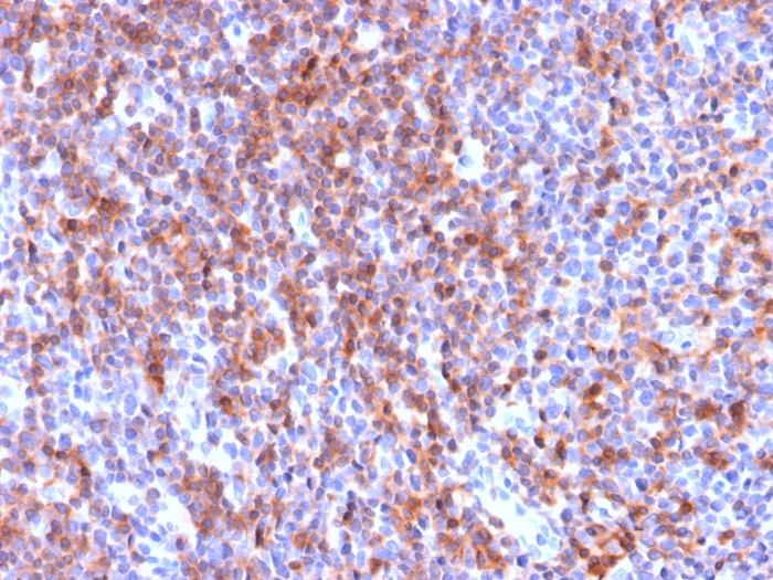
IHC
Applications: IHC
Rabbit Monoclonal
Host: Rabbit Monoclonal
Unconjugated  
Available Conjugates:
Available Formulations
Formulation Catalog # Availability Price  
compare
(select up to 3 products from this page to compare)
100 μg
Hu
Species Glossary
Reactivity: Hu
IHC
Applications: IHC
Mouse Monoclonal
Host: Mouse Monoclonal
Unconjugated  
compare
(select up to 3 products from this page to compare)
100 μg
Hu
Species Glossary
Reactivity: Hu
IHC
Applications: IHC
Rabbit Monoclonal
Host: Rabbit Monoclonal
Unconjugated  
compare
(select up to 3 products from this page to compare)
100 μg
Hu
Species Glossary
Reactivity: Hu
IHC
Applications: IHC
Mouse Monoclonal
Host: Mouse Monoclonal
Unconjugated  
Available Conjugates:
compare
(select up to 3 products from this page to compare)
100 μg
Hu
Species Glossary
Reactivity: Hu
IHC
Applications: IHC
Rabbit Monoclonal
Host: Rabbit Monoclonal
Unconjugated  
Available Conjugates:
compare
(select up to 3 products from this page to compare)
100 ul
Hu
Species Glossary
Reactivity: Hu
ICC/IF
Applications: ICC/IF
Rabbit Polyclonal
Host: Rabbit Polyclonal
Sample Size Available
Sizes: Sample Size Available
Unconjugated  
Available Formulations
Formulation Catalog # Availability Price  
compare
(select up to 3 products from this page to compare)
100 μg
Hu
Species Glossary
Reactivity: Hu
WB, Flow, IP, CyTOF-ready, ELISA(Cap), ELISA(Det), ICC/IF
Applications: WB, Flow, IP, CyTOF-ready, ELISA(Cap), ELISA(Det), ICC/IF
Mouse Monoclonal
Host: Mouse Monoclonal
Alexa Fluor 488  
compare
(select up to 3 products from this page to compare)
100 μg
Hu
Species Glossary
Reactivity: Hu
WB, Flow, IP, CyTOF-ready, ELISA(Cap), ELISA(Det), ICC/IF
Applications: WB, Flow, IP, CyTOF-ready, ELISA(Cap), ELISA(Det), ICC/IF
Mouse Monoclonal
Host: Mouse Monoclonal
Alexa Fluor 647  
compare
(select up to 3 products from this page to compare)
page of 7