VprBP Products

Antibodies
VprBP Antibody
VprBP Antibody
NBP2-27203
Species: Hu, Mu, Rt, Po, Ch, ChHa, Eq, Fe, Gp, Ma-Op, Pm, Rb, Bv, Pm-Or
Applications: WB, Flow
Host: Rabbit Polyclonal
VprBP Antibody - BSA Free
VprBP Antibody - BSA Free
NBP3-45593
Species: Hu, Mu, Rt
Applications: WB, ELISA, IHC, IP, NULL
Host: Rabbit Polyclonal
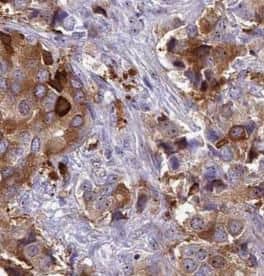
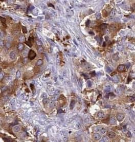
VprBP Antibody - BSA Free
VprBP Antibody - BSA Free
NBP2-49073
Species: Hu, Mu, Rt
Applications: ICC/IF, IHC
Host: Rabbit Polyclonal
Formulation Catalog # Availability Price  
Proteins
VprBP Recombinant Protein Ant ...
VprBP Recombinant Protein Antigen
NBP2-57102PEP
Species: Hu
Applications: AC
VprBP Recombinant Protein Ant ...
VprBP Recombinant Protein Antigen
NBP2-49073PEP
Species: Hu
Applications: AC
VprBP Recombinant Protein Ant ...
VprBP Recombinant Protein Antigen
NBP1-85284PEP
Species: Hu
Applications: AC

Description

VprBP (HIV-1 Vpr-binding protein) is also known as DCAF1 (Ddb1- and Cul4-associated factor 1). VprBP was initially identified as a protein that co-immunoprecipitated with the HIV protein, viral protein R; however the physiological relevance of this association remains unclear. It has recently been shown that VprBP plays an essential role in cell cycle progression, and it associates with the DDB1-CUL4 E3 ligase complex. Alternate names for VprBP include Vpr-interacting protein, RIP, and KIAA0800.

Bioinformatics

Entrez Mouse
Human
Uniprot Human
Product By Gene ID 9730
Alternate Names
  • DCAF1DDB1 and CUL4 associated factor 1
  • DDB1- and CUL4-associated factor 1
  • HIV-1 Vpr-binding protein
  • KIAA0800protein VPRBP
  • MGC102804
  • RIP
  • Vpr (HIV-1) binding protein
  • Vpr-binding protein
  • VprBP
  • Vpr-interacting protein