VDAC2 Products

Antibodies
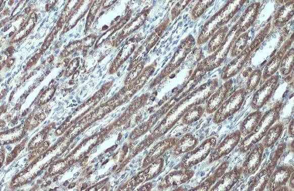
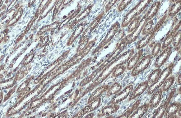
VDAC2 Antibody - BSA Free
VDAC2 Antibody - BSA Free
Species: Hu, Mu, Rt, Po, Bv, Rb, RM
Applications: WB, ELISA, ICC/IF, IHC, IP
Host: Rabbit Polyclonal
VDAC2 Antibody - BSA Free
VDAC2 Antibody - BSA Free
NBP1-89477
Species: Hu
Applications: WB, IHC
Host: Rabbit Polyclonal
VDAC2 Antibody (3D2) - Azide ...
VDAC2 Antibody (3D2) - Azide and B...
H00007417-M01
Species: Hu, Rt
Applications: WB, ELISA, ICC/IF
Host: Mouse Monoclonal
Lysates
VDAC2 Overexpression Lysate
VDAC2 Overexpression Lysate
NBL1-17709
Species: Hu
Applications: WB
Proteins
Recombinant Human VDAC2 GST ( ...
Recombinant Human VDAC2 GST (N-Ter...
H00007417-P02
Species: Hu
Applications: WB, ELISA, MA, AP
VDAC2 Recombinant Protein Ant ...
VDAC2 Recombinant Protein Antigen
NBP1-89477PEP
Species: Hu
Applications: AC

Description

Forms a channel through the mitochondrial outer membrane that allows diffusion of small hydrophilic molecules. The channel adopts an open conformation at low or zero membrane potential and a closed conformation at potentials above 30-40 mV. The open state has a weak anion selectivity whereas the closed state is cation-selective. Interacts with hexokinases. It is present in the outer mitochondrial membrane. There are 4 isoforms as result of alternative splicing. Expressed in all tissues examined. Consists mainly of membrane spanning sided beta sheets. Belongs to the eukaryotic mitochondrial porin family.

Bioinformatics

Entrez Mouse
Human
Rat
Uniprot Human
Human
Human
Human
Human
Human
Product By Gene ID 7417
Alternate Names
  • FLJ23841
  • hVDAC2
  • Outer mitochondrial membrane protein porin 2
  • POR
  • VDAC-2
  • voltage-dependent anion channel 2
  • voltage-dependent anion-selective channel protein 2

Research Areas for VDAC2

Find related products by research area and learn more about each of the different research areas below.

Lipid and Metabolism