Vasohibin Products

Antibodies
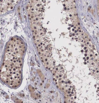
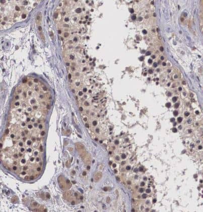
Vasohibin Antibody (4A3) - Az ...
Vasohibin Antibody (4A3) - Azide a...
H00022846-M05
Species: Hu
Applications: WB, ELISA, IHC
Host: Mouse Monoclonal
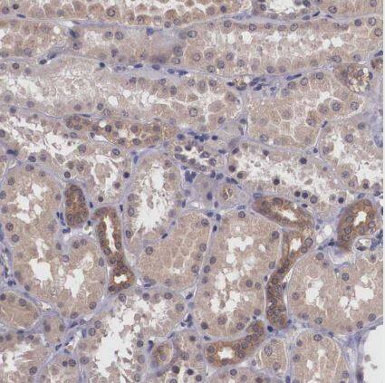
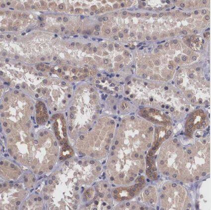
Vasohibin Antibody - BSA Free ...
Vasohibin Antibody - BSA Free
NBP1-82944
Species: Hu, Mu, Rt
Applications: WB, IHC
Host: Rabbit Polyclonal
Formulation Catalog # Availability Price  
Lysates
Vasohibin Overexpression Lysa ...
Vasohibin Overexpression Lysate
NBL1-17697
Species: Hu
Applications: WB
Proteins
Recombinant Human Vasohibin G ...
Recombinant Human Vasohibin GST (N...
H00022846-P01
Species: Hu
Applications: WB, ELISA, MA, AP
Vasohibin Recombinant Protein ...
Vasohibin Recombinant Protein Antigen
NBP1-82944PEP
Species: Hu
Applications: AC
Vasohibin Antibody Blocking P ...
Vasohibin Antibody Blocking Peptide
NBP1-76579PEP
Species: Hu
Applications: AC

Description

"Angiogenesis inhibitor. Inhibits migration, proliferation and network formation by endothelial cells as well as angiogenesis. This inhibitory effect is selective to endothelial cells as it does not affect the migration of smooth muscle cells or fibroblasts. Does not affect the proliferation of cancer cells in vitro, but inhibits tumor growth and tumor angiogenesis. Acts in an autocrine manner. Inhibits artery neointimal formation and macrophage

Bioinformatics

Entrez Human
Uniprot Human
Human
Human
Human
Product By Gene ID 22846
Alternate Names
  • KIAA1036vasohibin-1
  • VASH
  • vasohibin 1