TRAF3IP2 Products

Antibodies
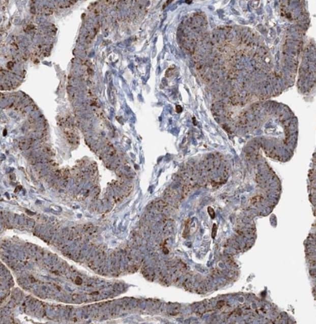
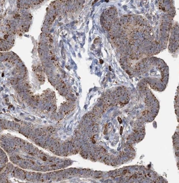
TRAF3IP2 Antibody - BSA Free
TRAF3IP2 Antibody - BSA Free
NB100-56740
Species: Hu, Mu
Applications: WB, Simple Western, IHC, IP
Host: Rabbit Polyclonal
Formulation Catalog # Availability Price  
TRAF3IP2 Antibody - BSA Free
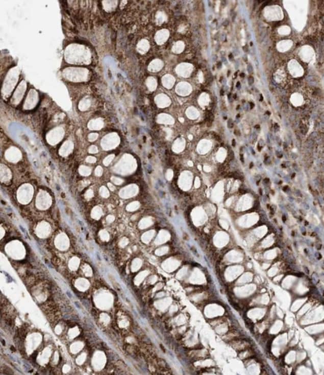
TRAF3IP2 Antibody - BSA Free
NBP1-89263
Species: Hu, Mu, Rt
Applications: WB, ICC/IF, IHC
Host: Rabbit Polyclonal
Formulation Catalog # Availability Price  
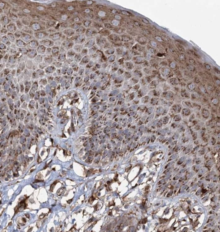
TRAF3IP2 Antibody (4A3) - Azi ...
TRAF3IP2 Antibody (4A3) - Azide an...
H00010758-M01
Species: Hu
Applications: WB, ELISA, ICC/IF, IHC
Host: Mouse Monoclonal
Lysates
TRAF3IP2 Overexpression Lysat ...
TRAF3IP2 Overexpression Lysate
NBL1-17243
Species: Hu
Applications: WB
Proteins
TRAF3IP2 Antibody Blocking Pe ...
TRAF3IP2 Antibody Blocking Peptide
NB100-56740PEP
Applications: AC
Recombinant Human TRAF3IP2 GS ...
Recombinant Human TRAF3IP2 GST (N-...
H00010758-Q01
Species: Hu
Applications: WB, ELISA, MA, AP
TRAF3IP2 Recombinant Protein ...
TRAF3IP2 Recombinant Protein Antigen
NBP1-89263PEP
Species: Hu
Applications: AC

Description

TRAF3IP2 encodes a protein involved in regulating responses to cytokines by members of the Rel/NF-kappaB transcription factor family. These factors play a central role in innate immunity in response to pathogens, inflammatory signals and stress. This gene product interacts with TRAF proteins (tumor necrosis factor receptor-associated factors) and either I-kappaB kinase or MAP kinase to activate either NF-kappaB or Jun kinase. Two alternative transcripts encoding different proteins have been identified. A third transcript, which does not encode a protein and is transcribed in the opposite orientation, has been identified. Overexpression of this transcript has been shown to reduce expression of at least one of the protein encoding transcripts, suggesting it has a regulatory role in the expression of this gene.

Bioinformatics

Entrez Mouse
Human
Uniprot Human
Human
Human
Human
Human
Human
Product By Gene ID 10758
Alternate Names
  • ACT1DKFZP586G0522
  • adapter protein CIKS
  • C6orf2
  • C6orf4chromosome 6 open reading frame 5
  • C6orf5DKFZp586G0522
  • C6orf6MGC3581
  • CIKSchromosome 6 open reading frame 2
  • Connection to IKK and SAPK/JNK
  • NFkB-activating protein ACT1
  • Nuclear factor NF-kappa-B activator 1
  • TRAF3 interacting protein 2
  • TRAF3-interacting protein 2

Research Areas for TRAF3IP2

Find related products by research area and learn more about each of the different research areas below.

Signal Transduction