SCAP Products

Antibodies
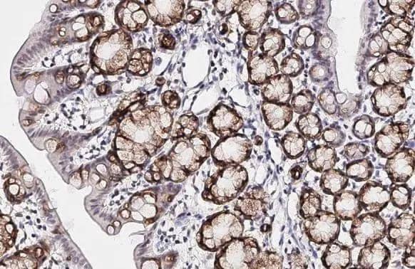
SCAP Antibody - BSA Free
SCAP Antibody - BSA Free
NBP2-15127
Species: Hu, Mu, Rt, Po, Bv
Applications: WB, IHC
Host: Rabbit Polyclonal
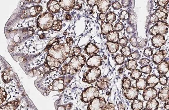
SCAP Antibody (HL2796)
SCAP Antibody (HL2796)
NBP3-48733
Species: Hu, Mu, Rt
Applications: WB, IHC
Host: Rabbit Monoclonal
Proteins
SCAP Recombinant Protein Anti ...
SCAP Recombinant Protein Antigen
NBP1-89624PEP
Species: Hu
Applications: AC

Description

Sterol regulatory element binding protein (SREBP) cleavage-activating protein (SCAP) is a molecular chaperone that plays a role in the biosynthesis of cholesterol and triglycerides (1). SCAP is a membrane protein that helps shuttle SREBP from the endoplasmic reticulum (ER) via coat protein II (COPII) vesicles to the golgi where SREBP is cleaved via protease S1P and S2P, becomes activated, and is translocated to the nucleus for transcription (1-3). The SCAP protein has a theoretical molecular weight of 140 kDa and is comprised of 1276 amino acids with an N-terminal domain containing 8 transmembrane alpha helices, where transmembrane 2-6 consist of a sterol-sensing domain, and a C-terminal domain with WD40 motif repeats (1,3). The SCAP-SREBP association plays a pivotal role in regulating lipid metabolism and lipogenesis (1,4). SREBP activation via SCAP is associated with accumulation of triglycerides and cholesterol leading to metabolic disorders including diabetes, atherosclerosis, and nonalcoholic fatty liver disease (NAFLD) (1,4). Animal models have revealed that inhibition or blocking of SCAP using antagonists may be a potential therapeutic target for hyperlipidemia and hypertriglyceridemia (1,4).

References

1. Lee, S. H., Lee, J. H., & Im, S. S. (2020). The cellular function of SCAP in metabolic signaling. Experimental & molecular medicine, 52(5), 724-729. https://doi.org/10.1038/s12276-020-0430-0

2. Cheng, X., Li, J., & Guo, D. (2018). SCAP/SREBPs are Central Players in Lipid Metabolism and Novel Metabolic Targets in Cancer Therapy. Current topics in medicinal chemistry, 18(6), 484-493. https://doi.org/10.2174/1568026618666180523104541

3. Brown, M. S., Radhakrishnan, A., & Goldstein, J. L. (2018). Retrospective on Cholesterol Homeostasis: The Central Role of Scap. Annual review of biochemistry, 87, 783-807. https://doi.org/10.1146/annurev-biochem-062917-011852

4. Moon Y. A. (2017). The SCAP/SREBP Pathway: A Mediator of Hepatic Steatosis. Endocrinology and metabolism (Seoul, Korea), 32(1), 6-10. https://doi.org/10.3803/EnM.2017.32.1.6

Bioinformatics

Product By Gene ID 22937
Alternate Names
  • KIAA0199
  • PSEC0227
  • SREBF chaperone
  • SREBP cleavage-activating protein
  • sterol regulatory element binding protein cleavage-activating protein

Research Areas for SCAP

Find related products by research area and learn more about each of the different research areas below.

Cardiovascular Biology
Cholesterol Metabolism
Diabetes Research
Lipid and Metabolism
Signal Transduction

Related SCAP Blog Posts

Check out the latest blog posts on SCAP.
SREBP2 - regulating cholesterol homeostasis and lipid metabolism
Sterol regulatory element-binding proteins (SREBP) are important transcription factors regulating the synthesis and uptake of lipids including cholesterol. This essential role in lipid metabolism makes investigations into the functions SREBPs im...    Read more.
Read more SCAP related blogs.