PRDM5 Products

Antibodies
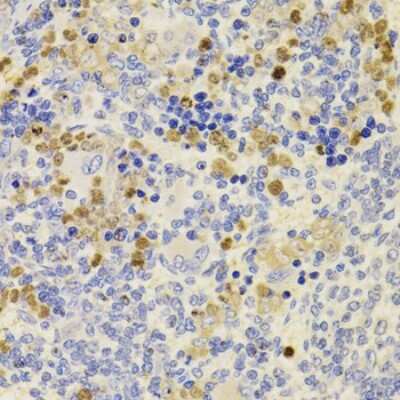
PRDM5 Antibody (7D4C12) - BSA ...
PRDM5 Antibody (7D4C12) - BSA Free
NBP2-52540
Species: Hu, Mu
Applications: WB, ELISA, Flow, ICC/IF, IHC, CyTOF-ready
Host: Mouse Monoclonal
Formulation Catalog # Availability Price  
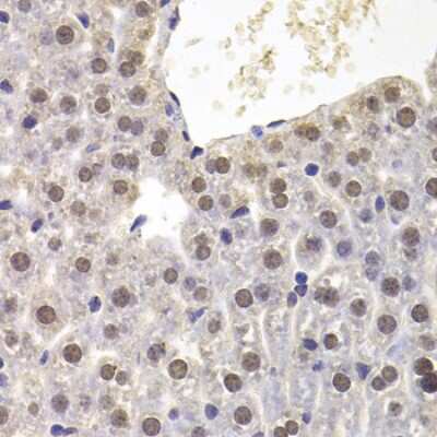
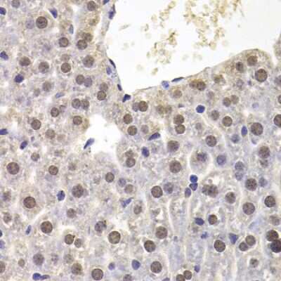
PRDM5 Antibody - BSA Free
PRDM5 Antibody - BSA Free
NBP2-93069
Species: Hu, Mu, Rt
Applications: WB, ICC/IF, IHC
Host: Rabbit Polyclonal
Formulation Catalog # Availability Price  
PRDM5 Antibody (7D4E11) - BSA ...
PRDM5 Antibody (7D4E11) - BSA Free
NBP2-52541
Species: Hu
Applications: WB, ELISA, Flow, CyTOF-ready
Host: Mouse Monoclonal
Formulation Catalog # Availability Price  
Proteins
Recombinant Human PRDM5 GST ( ...
Recombinant Human PRDM5 GST (N-Ter...
H00011107-P01
Species: Hu
Applications: WB, ELISA, MA, AP
PRDM5 Recombinant Protein Ant ...
PRDM5 Recombinant Protein Antigen
NBP2-13810PEP
Species: Hu
Applications: AC

Description

Official Gene Symbol PRDM5 Gene ID 11107(Human) Gene Map Locus 4q25-q26(Human) PRDM5, a novel member of PR domain protein family, contains a PR-domain at the NH2 terminus followed by 16 zinc finger motifs. It is found to have a role in cell differentiation and tumorigenesis. Reports suggest PRDM5 causes G2/M arrest and apoptosis upon infection of tumor cells and has been found to be silenced in breast, ovarian and lung cancers, suggesting a potential clinical significance.

Bioinformatics

Entrez Human
Uniprot Human
Human
Product By Gene ID 11107
Alternate Names
  • PFM2PR domain-containing protein 5
  • PR domain containing 5
  • PR domain zinc finger protein 5

Research Areas for PRDM5

Find related products by research area and learn more about each of the different research areas below.

Chromatin Research
Signal Transduction