PI4KB/PI4KIII beta Products

Antibodies
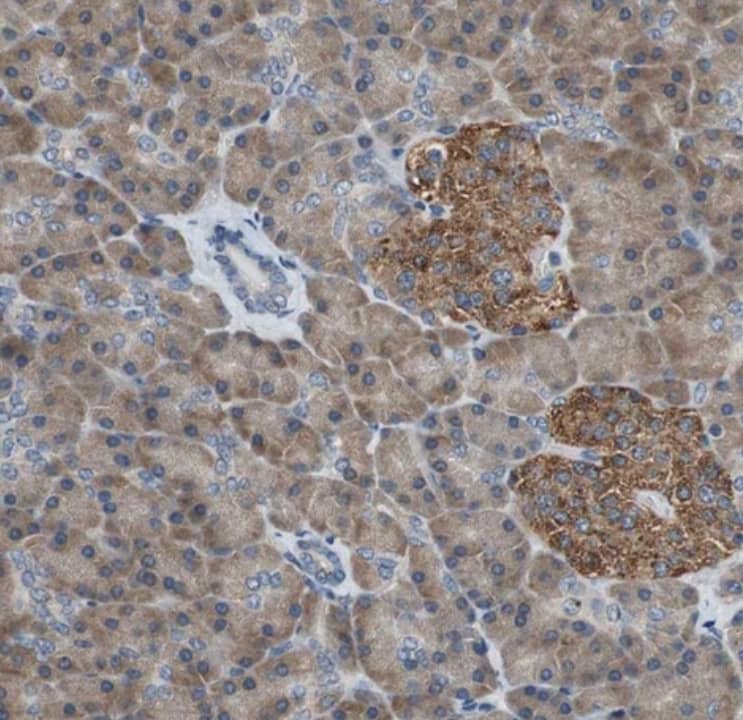
PI4KB/PI4KIII beta Antibody - ...
PI4KB/PI4KIII beta Antibody - BSA ...
NBP1-80907
Species: Hu, Mu, Rt
Applications: WB, IHC
Host: Rabbit Polyclonal
Formulation Catalog # Availability Price  
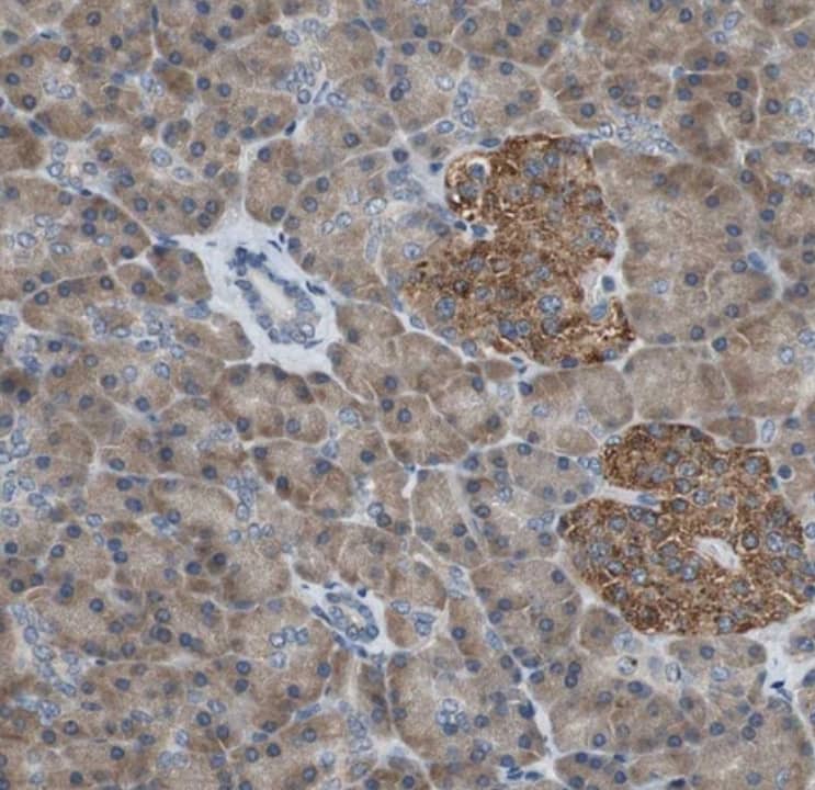
PI4KB/PI4KIII beta Antibody - ...
PI4KB/PI4KIII beta Antibody - BSA ...
NBP1-80906
Species: Hu, Mu, Rt
Applications: IHC
Host: Rabbit Polyclonal
Formulation Catalog # Availability Price  
Proteins
Recombinant Human PI4KB/PI4KI ...
Recombinant Human PI4KB/PI4KIII be...
H00005298-P01
Species: Hu
Applications: WB, ELISA, MA, AP
Recombinant Human PI4KB/PI4KI ...
Recombinant Human PI4KB/PI4KIII be...
H00005298-Q01
Species: Hu
Applications: WB, ELISA, MA, AP
PI4KB/PI4KIII beta Recombinan ...
PI4KB/PI4KIII beta Recombinant Pro...
NBP1-80907PEP
Species: Hu
Applications: AC

Description

Phosphorylates phosphatidylinositol (PI) in the first committed step in the production of the second messenger inositol-1,4,5,-trisphosphate (PIP). May regulate Golgi disintegration/reorganization during mitosis, possibly via its phosphorylation. Involved in Golgi-to-plasma membrane trafficking

Bioinformatics

Entrez Human
Uniprot Human
Human
Human
Product By Gene ID 5298
Alternate Names
  • DKFZp686O1820
  • EC 2.7.1
  • EC 2.7.1.67
  • FLJ30129
  • phosphatidylinositol 4-kinase, catalytic, beta
  • pi4K92
  • PI4Kbeta
  • PI4K-beta
  • PI4KIIIBETA
  • type III phosphatidylinositol 4-kinase beta
  • wortmannin-sensitive