HAPLN2 Products

Antibodies
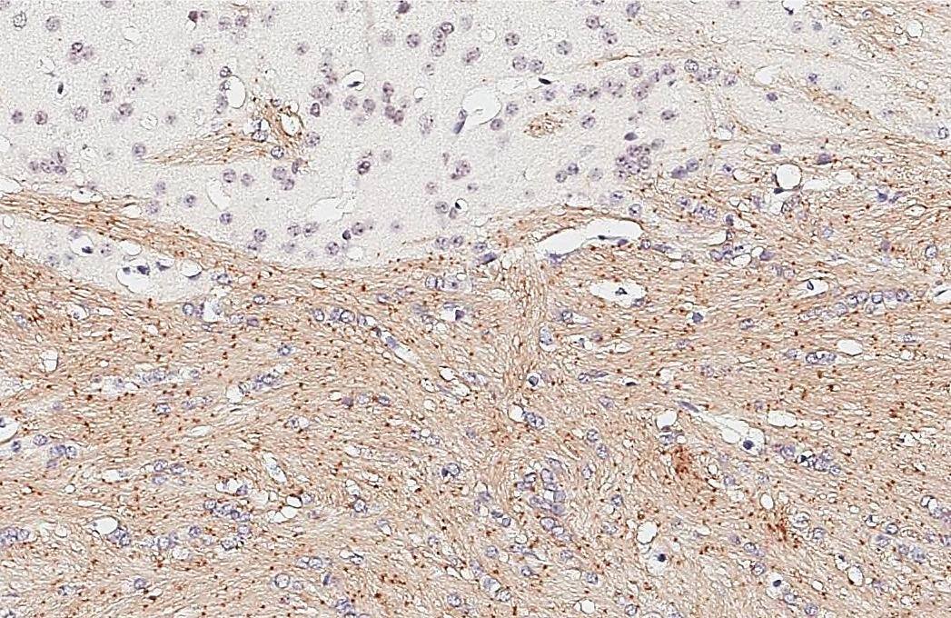
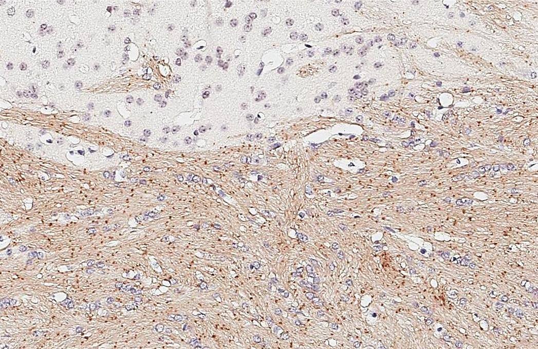
HAPLN2 Antibody - BSA Free
HAPLN2 Antibody - BSA Free
NBP1-91977
Species: Hu, Mu, Rt
Applications: WB, IHC
Host: Rabbit Polyclonal
HAPLN2 Antibody (GT107)
HAPLN2 Antibody (GT107)
NBP3-48853
Species: Mu
Applications: WB, IHC
Host: Mouse Monoclonal
Lysates
HAPLN2 Overexpression Lysate
HAPLN2 Overexpression Lysate
NBP2-06514
Species: Hu
Applications: WB
Proteins
Recombinant Human HAPLN2 GST ...
Recombinant Human HAPLN2 GST (N-Te...
H00060484-Q01
Species: Hu
Applications: WB, ELISA, MA, AP
HAPLN2 Recombinant Protein An ...
HAPLN2 Recombinant Protein Antigen
NBP1-91977PEP
Species: Hu
Applications: AC
HAPLN2 Antibody Blocking Pept ...
HAPLN2 Antibody Blocking Peptide
NBP1-77322PEP
Species: Hu
Applications: AC

Description

The 340 amino acid long, 37 kDA hyaluronan and proteoglycan link protein 2 encoded by the HAPLN2 gene monitors binding of versication V2 to hyaluronic acid. This protein may be a participant in the formation of the hyaluronan-associated matrix in the central nervous system (CNS). This matrix encourages neuronal confuction and structural stabilization. HAPLN2 participates in PTEN pathway, MAPK signaling, UPA-UPAR pathway, and transendothelial migration of leukocytes. It has been researched regarding its role in rabies, schizophrenia, neuronitis, and malignant glioma.

Bioinformatics

Entrez Human
Uniprot Human
Human
Product By Gene ID 60484
Alternate Names
  • Brain link protein 1
  • brain link protein-1
  • Bral1
  • BRAL1
  • hyaluronan and proteoglycan link protein 2