DTX3 Products

Antibodies
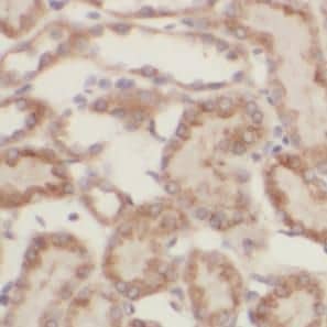
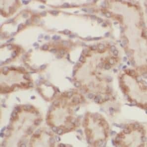
DTX3 Antibody - BSA Free
DTX3 Antibody - BSA Free
NBP2-31789
Species: Hu, Mu, Rt
Applications: ICC/IF, IHC
Host: Rabbit Polyclonal
Formulation Catalog # Availability Price  
DTX3 Antibody - BSA Free
DTX3 Antibody - BSA Free
NBP3-46625
Species: Hu, Mu
Applications: WB, ELISA, IHC
Host: Rabbit Polyclonal
DTX3 Antibody
DTX3 Antibody
NBP1-46127
Species: Hu, Mu, Rt, Bv
Applications: WB, ELISA
Host: Goat Polyclonal
Lysates
DTX3 Overexpression Lysate
DTX3 Overexpression Lysate
NBL1-10037
Species: Hu
Applications: WB
Proteins
DTX3 Recombinant Protein Anti ...
DTX3 Recombinant Protein Antigen
NBP2-31789PEP
Species: Hu
Applications: AC

Description

DTX3 encodes a probable E3 ubiquitin-protein ligase DTX3 that exists in two isoforms: Isoform 1 id 347 amino acids long at nearly 38 kDA, while isoform 2 is 350 amino acids long at 38 kDA as well. DTX3 is involved in the notch signaling pathway and protein modification and is known to interact with genes UBE2D2, UBE2D3, UBE2L6, UBE2V1, and UBE2W. It is critical in cell to cell communication that affects cell-fate determinations.

Bioinformatics

Entrez Human
Rat
Mouse
Uniprot Human
Human
Human
Product By Gene ID 196403
Alternate Names
  • deltex 3 homolog (Drosophila)
  • deltex homolog 3 (Drosophila)
  • deltex3
  • Deltex3
  • FLJ34766
  • MGC138863
  • MGC138864
  • protein deltex-3
  • RING finger protein 154
  • RNF154deltex 3 homolog

Research Areas for DTX3

Find related products by research area and learn more about each of the different research areas below.

Zinc Finger