CAPRIN2 Products

Antibodies
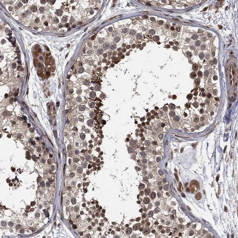
CAPRIN2 Antibody - BSA Free
CAPRIN2 Antibody - BSA Free
NBP1-88318
Species: Hu
Applications: ICC/IF, IHC
Host: Rabbit Polyclonal
Formulation Catalog # Availability Price  
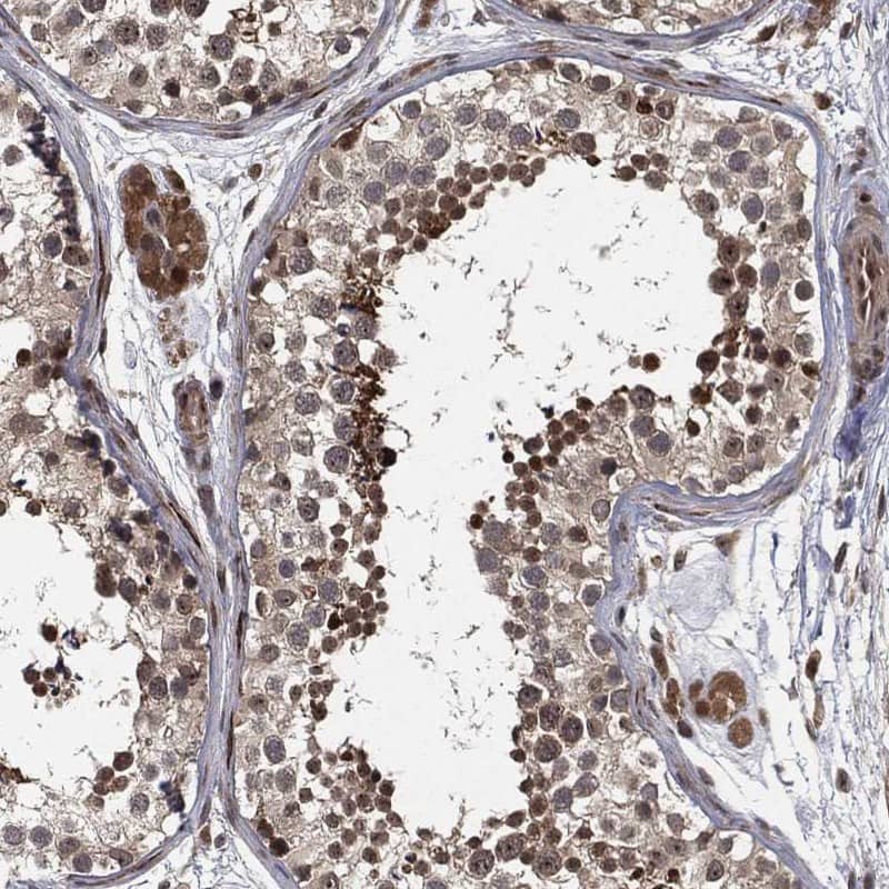
CAPRIN2 Antibody - BSA Free
CAPRIN2 Antibody - BSA Free
NBP3-25344
Species: Hu
Applications: IHC
Host: Rabbit Polyclonal
CAPRIN2 Antibody - Azide and ...
CAPRIN2 Antibody - Azide and BSA Free
NBP3-05200
Species: Hu, Rt
Applications: WB
Host: Rabbit Polyclonal
Proteins
CAPRIN2 Recombinant Protein A ...
CAPRIN2 Recombinant Protein Antigen
NBP3-25344PEP
Species: Hu
Applications: AC
CAPRIN2 Recombinant Protein A ...
CAPRIN2 Recombinant Protein Antigen
NBP1-88318PEP
Species: Hu
Applications: AC

Description

CAPRIN2 is involved in regulation of growth as erythroblasts shift from a highly proliferative state towards theirterminal phase of differentiation. Overexpression is associated with increased levels of apoptosis

Bioinformatics

Entrez Human
Product By Gene ID 65981
Alternate Names
  • caprin family member 2
  • FLJ22569
  • RNA granule protein 140