Calpain 6 Products

Antibodies
Calpain 6 Antibody - BSA Free ...
Calpain 6 Antibody - BSA Free
NBP3-47719
Species: Hu, Mu, Rt
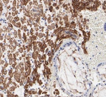
Applications: WB, ELISA, IHC, IP
Host: Rabbit Polyclonal
Calpain 6 Antibody - BSA Free ...
Calpain 6 Antibody - BSA Free
NBP1-88214
Species: Hu, Mu, Rt
Applications: WB, ICC/IF
Host: Rabbit Polyclonal
Formulation Catalog # Availability Price  
ELISA Kits
Human Calpain 6 ELISA Kit (Co ...
Human Calpain 6 ELISA Kit (Colorim...
NBP3-27289
Species: Hu
Applications: ELISA
Human Calpain 6 - Ready-To-U ...
Human Calpain 6 - Ready-To-Use EL...
NBP3-31171
Species: Hu
Applications: ELISA
Lysates
Calpain 6 Overexpression Lysa ...
Calpain 6 Overexpression Lysate
NBL1-08682
Species: Hu
Applications: WB
Proteins
Calpain 6 Recombinant Protein ...
Calpain 6 Recombinant Protein Antigen
NBP1-88214PEP
Species: Hu
Applications: AC
Calpain 6 Antibody Blocking P ...
Calpain 6 Antibody Blocking Peptide
NBP1-76937PEP
Species: Hu
Applications: AC

Description

Calpains are ubiquitous, well-conserved family of calcium-dependent, cysteine proteases. The calpain proteins areheterodimers consisting of an invariant small subunit and variable large subunits. The large subunit possesses acysteine protease domain, and both subunits possess calcium-binding domains. Calpains have been implicated inneurodegenerative processes, as their activation can be triggered by calcium influx and oxidative stress. The proteinencoded by this gene is highly expressed in the placenta. Its C-terminal region lacks any homology to thecalmodulin-like domain of other calpains. The protein lacks critical active site residues and thus is suggested to beproteolytically inactive. The protein may play a role in tumor formation by inhibiting apoptosis and promotingangiogenesis. (provided by RefSeq)

Bioinformatics

Entrez Human
Uniprot Human
Human
Human
Product By Gene ID 827
Alternate Names
  • calpain 6
  • calpain-6
  • Calpain-like protease X-linked
  • Calpamodulin
  • CalpMCALPM
  • CANPXcalpamodulin
  • CAPNX
  • DJ914P14.1
  • EC 3.4.22