TMEM231 Antibody

Images

 
Immunocytochemistry/ Immunofluorescence: TMEM231 Antibody [NBP1-91905] - Staining of human cell line A-431 shows localization to vesicles. Antibody staining is shown in green.
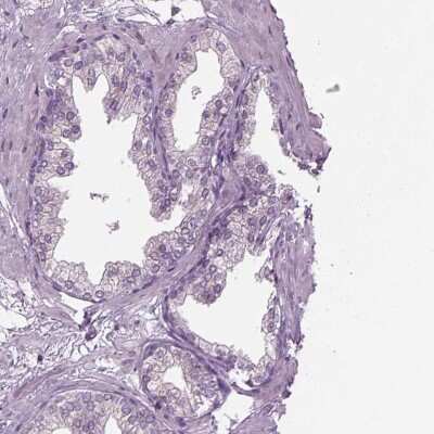
Orthogonal Strategies: Immunohistochemistry-Paraffin: TMEM231 Antibody [NBP1-91905] - Staining in human fallopian tube and prostate tissues using anti-TMEM231 antibody. Corresponding TMEM231 RNA-seq data are ...read more
Immunohistochemistry-Paraffin: TMEM231 Antibody [NBP1-91905] - Staining of human fallopian tube shows high expression.
Immunohistochemistry-Paraffin: TMEM231 Antibody [NBP1-91905] - Staining of human prostate shows low expression as expected.

Product Details

Summary
Product Discontinued
View other related TMEM231 Primary Antibodies
Validated by:
       

Orthogonal Strategies

 

Order Details


    • Catalog Number
      NBP1-91905
    • Availability
      Product Discontinued

    Can't find what you are looking for? Use our Antibody Concierge Service & we will help you locate your antibody!

    Or feel free to contact us for alternative products.

TMEM231 Antibody Summary

Immunogen
This antibody was developed against Recombinant Protein corresponding to amino acids: SQLYVNGDLRLQQKQPLSCGGLDARYNISVINGTSPFAYDYDLTHIVAAYQERNVTTVLNDPNPIWLVGRAADAPFVINAIIRYPVEVI
Isotype
IgG
Clonality
Polyclonal
Host
Rabbit
Gene
TMEM231
Purity
Immunogen affinity purified
Innovator's Reward
Test in a species/application not listed above to receive a full credit towards a future purchase.

Applications/Dilutions

Dilutions
  • Immunocytochemistry/ Immunofluorescence 0.25-2 ug/ml
  • Immunohistochemistry 1:200 - 1:500
  • Immunohistochemistry-Paraffin 1:200 - 1:500
Application Notes
For IHC-Paraffin, HIER pH 6 retrieval method is recommended. Immunocytochemistry/Immunofluorescence Fixation Permeabilization: Use PFA/Triton X-100.

Reactivity Notes

Immunogen displays the following percentage of sequence identity for non-tested species: Mouse (89%), Rat (89%)

Packaging, Storage & Formulations

Storage
Store at 4C short term. Aliquot and store at -20C long term. Avoid freeze-thaw cycles.
Buffer
PBS (pH 7.2) and 40% Glycerol
Preservative
0.02% Sodium Azide
Purity
Immunogen affinity purified

Alternate Names for TMEM231 Antibody

  • ALYE870
  • FLJ22167
  • PRO1886
  • transmembrane protein 231

Limitations

This product is for research use only and is not approved for use in humans or in clinical diagnosis. Primary Antibodies are guaranteed for 1 year from date of receipt.

Customers Who Viewed This Item Also Viewed...

NBP2-92821
Species: Hu, Mu, Rt
Applications: ELISA, ICC/IF, IHC,  IHC-P, WB
NBP3-47705
Species: Hu, Mu
Applications: ELISA, ICC/IF, IHC, WB
NBP2-32673
Species: Hu
Applications: ICC/IF, IHC,  IHC-P

Publications for TMEM231 Antibody (NBP1-91905) (0)

There are no publications for TMEM231 Antibody (NBP1-91905).
By submitting your publication information earn gift cards and discounts for future purchases.

Reviews for TMEM231 Antibody (NBP1-91905) (0)

There are no reviews for TMEM231 Antibody (NBP1-91905). By submitting a review you will receive an Amazon e-Gift Card or Novus Product Discount.
  • Review with no image -- $10/€7/£6/$10 CAD/¥70 Yuan/¥1110 Yen
  • Review with an image -- $25/€18/£15/$25 CAD/¥150 Yuan/¥2500 Yen

Product General Protocols

Find general support by application which include: protocols, troubleshooting, illustrated assays, videos and webinars.

Video Protocols

ICC/IF Video Protocol

FAQs for TMEM231 Antibody (NBP1-91905) (0)

There are no specific FAQs related to this product. Read our general customer & technical service FAQs.

Contact Information

Product PDFs

Calculators

Concentration Calculator

The concentration calculator allows you to quickly calculate the volume, mass or concentration of your vial. Simply enter your mass, volume, or concentration values for your reagent and the calculator will determine the rest.

=
÷

Review this Product

Be the first to review our TMEM231 Antibody and receive a gift card or discount.

Bioinformatics

Gene Symbol TMEM231
Entrez
Uniprot