Testosterone Antibody (4E1G2) - Azide and BSA Free

Images

 
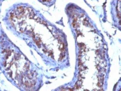
Immunohistochemistry-Paraffin: Testosterone Antibody (4E1G2) - Azide and BSA Free [NBP3-11603] - Formalin-fixed, paraffin-embedded human testicular carcinoma stained with Testosterone monoclonal antibody (4E1G2).

Product Details

Summary
Reactivity All-NASpecies Glossary
Applications ELISA, Func, IHC
Clone
4E1G2
Clonality
Monoclonal
Host
Mouse
Conjugate
Unconjugated
Format
Azide and BSA Free
Concentration
1 mg/ml

Order Details

Testosterone Antibody (4E1G2) - Azide and BSA Free Summary

Description
1.0 mg/ml of antibody purified from Bioreactor Concentrate by Protein A/G. Prepared in 10mM PBS WITHOUT BSA & azide. Also available at 200 ug/ml WITH BSA & azide (NBP2-45187).

Antibody with azide - store at 2 to 8C. Antibody without azide - store at -20 to -80C.
Immunogen
Testosterone 3 CMO conjugated to BSA
Localization
Secreted and cytoplasmic
Specificity
This monoclonal antibody is highly specific to testosterone. Its affinity constant for testosterone is ~1010M-1. In competitive binding immunoassay, it reacts with testosterone 100%, 11-beta-hydroxy testosterone 3.3%, 17-alpha-methyl testosterone
Isotype
IgG1 Kappa
Clonality
Monoclonal
Host
Mouse
Purity
Protein A or G purified
Innovator's Reward
Test in a species/application not listed above to receive a full credit towards a future purchase.

Applications/Dilutions

Dilutions
  • ELISA
  • Immunohistochemistry
  • Immunohistochemistry-Paraffin 1:10-1:500
  • Radioimmunoassay
Application Notes
ELISA: For coating, order Ab without BSA.
Immunohistochemistry (Formalin-fixed): 0.25-0.5ug/ml for 30 minutes at RT. Staining of formalin-fixed tissues requires heating tissue sections in 10mM Tris with 1mM EDTA, pH 9.0, for 45 min at 95C followed by cooling at RT for 20 minutes.
Optimal dilution for a specific application should be determined.
Theoretical MW
288.42 kDa.
Disclaimer note: The observed molecular weight of the protein may vary from the listed predicted molecular weight due to post translational modifications, post translation cleavages, relative charges, and other experimental factors.

Packaging, Storage & Formulations

Storage
Store at -20 to -80C. Avoid freeze-thaw cycles.
Buffer
10 mM PBS
Preservative
No Preservative
Concentration
1 mg/ml
Purity
Protein A or G purified

Alternate Names for Testosterone Antibody (4E1G2) - Azide and BSA Free

  • 17b-Hydroxyandrost-4-ene-3-one
  • 17b-Testosterone
  • Testosterone

Limitations

This product is for research use only and is not approved for use in humans or in clinical diagnosis. Primary Antibodies are guaranteed for 1 year from date of receipt.

Publications for Testosterone Antibody (NBP3-11603) (0)

There are no publications for Testosterone Antibody (NBP3-11603).
By submitting your publication information earn gift cards and discounts for future purchases.

Reviews for Testosterone Antibody (NBP3-11603) (0)

There are no reviews for Testosterone Antibody (NBP3-11603). By submitting a review you will receive an Amazon e-Gift Card or Novus Product Discount.
  • Review with no image -- $10/€7/£6/$10 CAD/¥70 Yuan/¥1110 Yen
  • Review with an image -- $25/€18/£15/$25 CAD/¥150 Yuan/¥2500 Yen

Product General Protocols

Find general support by application which include: protocols, troubleshooting, illustrated assays, videos and webinars.

FAQs for Testosterone Antibody (NBP3-11603) (0)

There are no specific FAQs related to this product. Read our general customer & technical service FAQs.

Customers Who Bought This Also Bought

Contact Information

Product PDFs

Calculators

Concentration Calculator

The concentration calculator allows you to quickly calculate the volume, mass or concentration of your vial. Simply enter your mass, volume, or concentration values for your reagent and the calculator will determine the rest.

=
÷

Review this Product

Be the first to review our Testosterone Antibody (4E1G2) - Azide and BSA Free and receive a gift card or discount.