Phospho-Tyrosine Antibody (SPM102) - Azide and BSA Free

Images

 
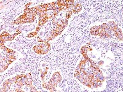
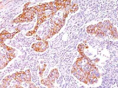
Immunohistochemistry-Paraffin: Phospho-Tyrosine Antibody (SPM102) - Azide and BSA Free [NBP3-11616] - Formalin-fixed paraffin-embedded human breast carcinoma stained with phosphotyrosine monoclonal antibody (SPM102)

Product Details

Summary
Reactivity All-NASpecies Glossary
Applications WB, Flow, ICC/IF, IHC, IP
Clone
SPM102
Clonality
Monoclonal
Host
Mouse
Conjugate
Unconjugated
Format
Azide and BSA Free
Concentration
1 mg/ml

Order Details

Phospho-Tyrosine Antibody (SPM102) - Azide and BSA Free Summary

Description
1.0 mg/ml of antibody purified from Bioreactor Concentrate by Protein A/G. Prepared in 10mM PBS WITHOUT BSA & azide. Also available at 200 ug/ml WITH BSA & azide (NBP2-32990).

Antibody with azide - store at 2 to 8C. Antibody without azide - store at -20 to -80C.
Immunogen
Phosphotyrosine conjugated to KLH
Localization
Depends upon the location of phosphorylated target
Specificity
Protein phosphorylation is a fundamental event in the regulation of a large number of intracellular processes. Phosphorylation of specific tyrosine residues is the result of activation or stimulation of their respective protein tyrosine kinases. The phosphorylated proteins can be auto-phosphorylated kinases or certain cellular protein substrates. Tyrosine-phosphorylated proteins are involved in signal transduction and in the regulation of cell proliferation. Antibody to phosphotyrosine provides an excellent tool for the detection, characterization, and purification of phosphotyrosine containing proteins. This monoclonal antibody shows no cross-reaction with other phosphoamino acids and is superb for multiple applications including staining of formalin/paraffin tissues.
Isotype
IgG2b Kappa
Clonality
Monoclonal
Host
Mouse
Purity
Protein A or G purified
Innovator's Reward
Test in a species/application not listed above to receive a full credit towards a future purchase.

Applications/Dilutions

Dilutions
  • Flow Cytometry 0.5-1ug/million cells
  • Immunocytochemistry/ Immunofluorescence 1-2ug/ml
  • Immunohistochemistry
  • Immunohistochemistry-Paraffin 0.5-1.0ug/ml
  • Immunoprecipitation 0.5-1ug/500ug protein lysate
  • Western Blot 0.5-1ug/ml
Application Notes
Immunohistochemistry (Formalin-fixed): 1-2ug/ml for 30 minutes at RT. No pretreatment is required for staining of formalin-fixed, paraffin-embedded tissues.
Optimal dilution for a specific application should be determined.

Packaging, Storage & Formulations

Storage
Store at -20 to -80C. Avoid freeze-thaw cycles.
Buffer
10 mM PBS
Preservative
No Preservative
Concentration
1 mg/ml
Purity
Protein A or G purified

Alternate Names for Phospho-Tyrosine Antibody (SPM102) - Azide and BSA Free

  • 2 amino 3(4 hydroxyphenyl) propanoic acid
  • 4 hydroxyphenylalanine
  • PhosphoTyrosine
  • pTyrosine
  • pY20
  • Tyrosine

Background

Phosphotyrosine is the phosphorylated version of the amino acid tyrosine. Phosphorylation of histidine, serine, threonine and tyrosine residues acts as a signalling system to control many cellular signalling pathways. The cellular networks which rely on these signals can be very complex, so phosphorylation often occurs on multiple sites on a given protein.

Limitations

This product is for research use only and is not approved for use in humans or in clinical diagnosis. Primary Antibodies are guaranteed for 1 year from date of receipt.

Publications for Phospho-Tyrosine Antibody (NBP3-11616) (0)

There are no publications for Phospho-Tyrosine Antibody (NBP3-11616).
By submitting your publication information earn gift cards and discounts for future purchases.

Reviews for Phospho-Tyrosine Antibody (NBP3-11616) (0)

There are no reviews for Phospho-Tyrosine Antibody (NBP3-11616). By submitting a review you will receive an Amazon e-Gift Card or Novus Product Discount.
  • Review with no image -- $10/€7/£6/$10 CAD/¥70 Yuan/¥1110 Yen
  • Review with an image -- $25/€18/£15/$25 CAD/¥150 Yuan/¥2500 Yen

Product General Protocols

Video Protocols

WB Video Protocol
ICC/IF Video Protocol

FAQs for Phospho-Tyrosine Antibody (NBP3-11616) (0)

There are no specific FAQs related to this product. Read our general customer & technical service FAQs.

Secondary Antibodies

 

Isotype Controls

Additional Phospho-Tyrosine Products

Array NBP3-11616

Research Areas for Phospho-Tyrosine Antibody (NBP3-11616)

Find related products by research area.

Blogs on Phospho-Tyrosine

There are no specific blogs for Phospho-Tyrosine, but you can read our latest blog posts.

Customers Who Bought This Also Bought

Contact Information

Product PDFs

Calculators

Concentration Calculator

The concentration calculator allows you to quickly calculate the volume, mass or concentration of your vial. Simply enter your mass, volume, or concentration values for your reagent and the calculator will determine the rest.

=
÷

Review this Product

Be the first to review our Phospho-Tyrosine Antibody (SPM102) - Azide and BSA Free and receive a gift card or discount.