PGBD5 Antibody (7-F8-5)

Images

 
Western Blot: PGBD5 Antibody (7-F8-5) [NBP2-67048] - Analysis on F9 cell lysate using anti-PGBD5 Mouse mAb.
Immunocytochemistry/ Immunofluorescence: PGBD5 Antibody (7-F8-5) [NBP2-67048] - Staining of F9 cells using anti-PGBD5 Mouse mAb.
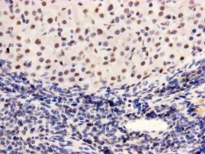
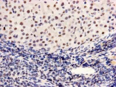
Immunohistochemistry-Paraffin: PGBD5 Antibody (7-F8-5) [NBP2-67048] - Analysis of paraffin- embedded human lung cancer tissue using anti-PGBD5 Mouse mAb.

Product Details

Summary
Product Discontinued
View other related PGBD5 Primary Antibodies

Order Details


    • Catalog Number
      NBP2-67048
    • Availability
      Product Discontinued

    Can't find what you are looking for? Use our Antibody Concierge Service & we will help you locate your antibody!

    Or feel free to contact us for alternative products.

PGBD5 Antibody (7-F8-5) Summary

Immunogen
Synthetic peptide with Human PGBD5 aa 61-110 / 524. (SwissProt: Q8N414 Human)
Localization
Nucleus
Isotype
IgG1
Clonality
Monoclonal
Host
Mouse
Gene
PGBD5
Purity
Protein A purified
Innovator's Reward
Test in a species/application not listed above to receive a full credit towards a future purchase.

Applications/Dilutions

Dilutions
  • Immunocytochemistry/ Immunofluorescence 1:100-1:500
  • Immunohistochemistry
  • Immunohistochemistry-Paraffin 1:200
  • Western Blot 1:5000-1:10000

Reactivity Notes

Mouse blocking reagent may be needed for IHC and ICC experiments to reduce high background signal. You can find these reagents under catalog numbers PK-2200-NB and MP-2400-NB. Please contact Technical Support if you have any. Please note that this antibody is reactive to Mouse and derived from the same host, Mouse. Mouse-On-questions.

Packaging, Storage & Formulations

Storage
Store at 4C short term. Aliquot and store at -20C long term. Avoid freeze-thaw cycles.
Buffer
PBS (pH7.4), 0.2% BSA, 40% Glycerol
Preservative
0.05% Sodium Azide
Concentration
2 mg/ml
Purity
Protein A purified

Alternate Names for PGBD5 Antibody (7-F8-5)

  • PiggyBac Transposable Element Derived 5

Limitations

This product is for research use only and is not approved for use in humans or in clinical diagnosis. Primary Antibodies are guaranteed for 1 year from date of receipt.

Publications for PGBD5 Antibody (NBP2-67048) (0)

There are no publications for PGBD5 Antibody (NBP2-67048).
By submitting your publication information earn gift cards and discounts for future purchases.

Reviews for PGBD5 Antibody (NBP2-67048) (0)

There are no reviews for PGBD5 Antibody (NBP2-67048). By submitting a review you will receive an Amazon e-Gift Card or Novus Product Discount.
  • Review with no image -- $10/€7/£6/$10 CAD/¥70 Yuan/¥1110 Yen
  • Review with an image -- $25/€18/£15/$25 CAD/¥150 Yuan/¥2500 Yen

Product General Protocols

Find general support by application which include: protocols, troubleshooting, illustrated assays, videos and webinars.

Video Protocols

WB Video Protocol
ICC/IF Video Protocol

FAQs for PGBD5 Antibody (NBP2-67048) (0)

There are no specific FAQs related to this product. Read our general customer & technical service FAQs.

Contact Information

Product PDFs

Calculators

Concentration Calculator

The concentration calculator allows you to quickly calculate the volume, mass or concentration of your vial. Simply enter your mass, volume, or concentration values for your reagent and the calculator will determine the rest.

=
÷

Review this Product

Be the first to review our PGBD5 Antibody (7-F8-5) and receive a gift card or discount.

Bioinformatics

Gene Symbol PGBD5