Memory Loss Antibody Pack

Images

 
Immunohistochemistry-Paraffin: Memory Loss Antibody Pack [NBP1-78951] - FFPE section of cerebral cortex of an Alzheimer patient processed with Ubiquitin antibody (NB300-130) using HRP/DAB (Brown) and also stained with ...read more
Western Blot: Memory Loss Antibody Pack [NBP1-78951] - Detection of UCHL1 using NB300-675 in mouse brain lysate.
Immunocytochemistry/ Immunofluorescence: Memory Loss Antibody Pack [NBP1-78951] - Confocal analysis of C6 cells using PGP9.5 / UCHL-1 antibody (NB300-675, 1:5). An Alexa Fluor 488-conjugated Goat to rabbit IgG was used ...read more
Western Blot: Memory Loss Antibody Pack [NBP1-78951] - Analysis of HEK293 cell lysates using mouse mAb Ubiquitin (NB300-130), dilution 1:1000 (Green). [1] protein standard (Red), [2] cells maintained in normal medium, ...read more
Western Blot: Memory Loss Antibody Pack [NBP1-78951] - Analysis of extracts from C6 cells using PGP9.5 / UCHL-1 antibody (NB300-675, 1:200). Image from verified customer review.
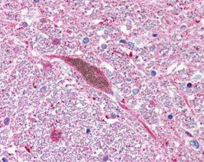
Immunohistochemistry: Memory Loss Antibody Pack 2vials [NBP1-78951] - Staining of neurons and their cell processes using UCHL1 antibody NB300-675 at 2.5ug/ml. Human brain, Substantia Nigra, Pigmented Neuron, 40X.

Product Details

Summary
Product Discontinued
View other related Memory Loss Antibody Packs

Order Details


    • Catalog Number
      NBP1-78951
    • Availability
      Product Discontinued

    Can't find what you are looking for? Use our Antibody Concierge Service & we will help you locate your antibody!

    Or feel free to contact us for alternative products.

Memory Loss Antibody Pack Summary

Description
This pack contains 1 vial each of: NB300-130 (25 uL), NB300-675 (25 uL).
Immunogen
See individual datasheets.
Specificity
This Memory Loss Antibodies Sample Pack includes antibodies to UCHL1 and Ubiquitin.

Applications/Dilutions

Dilutions
  • Immunocytochemistry/ Immunofluorescence
  • Immunohistochemistry
  • Immunohistochemistry-Paraffin
  • Western Blot
Application Notes
Mainly Western blot and immunohistochemistry, however additional applications may be possible for individual products. See individual datasheets for validated applications.

Reactivity Notes

Human and mouse, however additional species may be possible for individual products.

Packaging, Storage & Formulations

Storage
Aliquot and store at -20C or -80C. Avoid freeze-thaw cycles.
Buffer
See individual datasheets.

Kit Components

Limitations

This product is for research use only and is not approved for use in humans or in clinical diagnosis. Antibody Packs are guaranteed for 1 year from date of receipt.

Publications for Memory Loss Antibody Pack (NBP1-78951) (0)

There are no publications for Memory Loss Antibody Pack (NBP1-78951).
By submitting your publication information earn gift cards and discounts for future purchases.

Reviews for Memory Loss Antibody Pack (NBP1-78951) (0)

There are no reviews for Memory Loss Antibody Pack (NBP1-78951). By submitting a review you will receive an Amazon e-Gift Card or Novus Product Discount.
  • Review with no image -- $10/€7/£6/$10 CAD/¥70 Yuan/¥1110 Yen
  • Review with an image -- $25/€18/£15/$25 CAD/¥150 Yuan/¥2500 Yen

Product General Protocols

Find general support by application which include: protocols, troubleshooting, illustrated assays, videos and webinars.

Video Protocols

WB Video Protocol
ICC/IF Video Protocol

FAQs for Memory Loss Antibody Pack (NBP1-78951) (0)

There are no specific FAQs related to this product. Read our general customer & technical service FAQs.

Research Areas for Memory Loss Antibody Pack (NBP1-78951)

Find related products by research area.

Blogs on Memory Loss

There are no specific blogs for Memory Loss, but you can read our latest blog posts.

Contact Information

Product PDFs

Review this Product

Be the first to review our Memory Loss Antibody Pack and receive a gift card or discount.