Melanoma Associated Antigen (PNL2) Antibody (PNL2) - IHC-Prediluted

Images

 
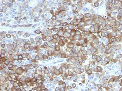
Immunohistochemistry-Paraffin: Melanoma Associated Antigen (PNL2) Antibody (PNL2) - IHC-Prediluted [NBP2-48231] - Formalin-fixed, paraffin-embedded human Melanoma stained with PNL2 Mouse Monoclonal Antibody.

Product Details

Summary
Reactivity Hu, Mu, CaSpecies Glossary
Applications IHC
Clone
PNL2
Clonality
Monoclonal
Host
Mouse
Conjugate
Unconjugated
Format
IHC-Prediluted

Order Details

Melanoma Associated Antigen (PNL2) Antibody (PNL2) - IHC-Prediluted Summary

Description
The prediluted antibody does not require any mixing, dilution, reconstitution, or titration; the antibody is ready-to-use and optimized for staining.
Immunogen
Melanocyte antigen
Localization
Cytoplasmic
Specificity
Anti-PNL2 is a novel monoclonal antibody, which has recently been introduced as an immunohistochemical reagent to stain melanocytes and tumors derived therefrom. The antigen recognized by PNL2 is different from Melan A and gp100. Its epitope is not destroyed by digestion with neuraminidase i.e. its epitope id not glycosylated. Anti-PNL2 may be most useful because of its high sensitivity for metastatic melanoma (87%), as opposed to 76% for anti-HMB45 and 82% for anti-MART-1. Anti-PNL2 labels intra-epidermal nevi while the dermal component of compound nevi are largely non-reactive with anti-PNL2. Antibodies against PNL2, MART-1 (Melan A) and HMB45 stain most clear cell sarcoma cells and a few cells in angio-myolipomas and lymphangioleiomyomatosis. Anti-PNL2 is a useful antibody for the identification of melanomas and clear cell sarcomas. Differential diagnosis is aided by the results from a panel of antibodies, including antibodies against HMB45, MART-1, tyrosinase, and MiTF.
Isotype
IgG1 Kappa
Clonality
Monoclonal
Host
Mouse
Purity
Protein A or G purified
Innovator's Reward
Test in a species/application not listed above to receive a full credit towards a future purchase.

Applications/Dilutions

Dilutions
  • Immunohistochemistry
  • Immunohistochemistry-Paraffin
Application Notes
Molecular weight of antigen: (160kDa, 100kDa and <10kDa) Immunohistochemistry-Paraffin 0.5 - 1.0 ug/ml for 30 minutes at RT; Staining of formalin-fixed tissues requires boiling tissue sections in 10mM citrate buffer, pH 6.0, for 10 - 20 min followed by cooling at RT for 20 minutes. The 7mL size is a pre-diluted size and no additional dilutions are required before using this item for the intended application.

Packaging, Storage & Formulations

Storage
Store at 4C.
Buffer
10 mM PBS with 0.05% BSA
Preservative
0.05% Sodium Azide
Purity
Protein A or G purified

Limitations

This product is for research use only and is not approved for use in humans or in clinical diagnosis. Primary Antibodies are guaranteed for 1 year from date of receipt.

Publications for Melanoma Associated Antigen (PNL2) Antibody (NBP2-48231) (0)

There are no publications for Melanoma Associated Antigen (PNL2) Antibody (NBP2-48231).
By submitting your publication information earn gift cards and discounts for future purchases.

Reviews for Melanoma Associated Antigen (PNL2) Antibody (NBP2-48231) (0)

There are no reviews for Melanoma Associated Antigen (PNL2) Antibody (NBP2-48231). By submitting a review you will receive an Amazon e-Gift Card or Novus Product Discount.
  • Review with no image -- $10/€7/£6/$10 CAD/¥70 Yuan/¥1110 Yen
  • Review with an image -- $25/€18/£15/$25 CAD/¥150 Yuan/¥2500 Yen

Product General Protocols

Find general support by application which include: protocols, troubleshooting, illustrated assays, videos and webinars.

FAQs for Melanoma Associated Antigen (PNL2) Antibody (NBP2-48231) (0)

There are no specific FAQs related to this product. Read our general customer & technical service FAQs.

Secondary Antibodies

 

Isotype Controls

Additional Melanoma Associated Antigen (PNL2) Products

Blogs on Melanoma Associated Antigen (PNL2)

There are no specific blogs for Melanoma Associated Antigen (PNL2), but you can read our latest blog posts.

Customers Who Bought This Also Bought

Contact Information

Product PDFs

Calculators

Concentration Calculator

The concentration calculator allows you to quickly calculate the volume, mass or concentration of your vial. Simply enter your mass, volume, or concentration values for your reagent and the calculator will determine the rest.

=
÷

Review this Product

Be the first to review our Melanoma Associated Antigen (PNL2) Antibody (PNL2) - IHC-Prediluted and receive a gift card or discount.