HPV16 Antibody (HPV16/1295) - Azide and BSA Free

Images

 
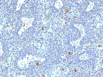
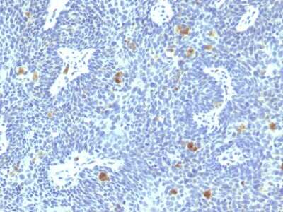
Immunohistochemistry-Paraffin: HPV16 Antibody (HPV16/1295) - Azide and BSA Free [NBP3-08758] - Formalin-fixed, paraffin-embedded human Cervix stained with HPV16 Mouse Monoclonal Antibody (HPV16/1295).

Product Details

Summary
Reactivity V-ViSpecies Glossary
Applications IHC
Clone
HPV16/1295
Clonality
Monoclonal
Host
Mouse
Conjugate
Unconjugated
Format
Azide and BSA Free
Concentration
1 mg/ml

Order Details

HPV16 Antibody (HPV16/1295) - Azide and BSA Free Summary

Description
1.0 mg/ml of antibody purified from Bioreactor Concentrate by Protein A/G. Prepared in 10mM PBS WITHOUT BSA & azide. Also available at 200 ug/ml WITH BSA & azide (NBP3-07844).

Antibody with azide - store at 2 to 8C. Antibody without azide - store at -20 to -80C.
Immunogen
HPV-16 E6 peptide (MHQKRTAMFQDPPQERPRKLPQLC)
Localization
Nuclear
Specificity
Reacts with E6 protein of human papilloma virus type 16 (HPV-16. Infection with specific types of HPV has been associated with an increased risk of developing cervical neoplasia. HPV types 6 and 11 have been associated with relatively benign diseases such as genital warts but types 16 and 18 are strongly associated with cervical, vaginal, and vulvar malignancies. The antibody reacts very strongly with formalin-fixed, paraffin-embedded tissues containing HPV-16.
Isotype
IgG1 Kappa
Clonality
Monoclonal
Host
Mouse
Purity
Protein A or G purified
Innovator's Reward
Test in a species/application not listed above to receive a full credit towards a future purchase.

Applications/Dilutions

Dilutions
  • Immunohistochemistry-Paraffin 1-2 ug/ml
Application Notes
Immunohistochemistry Formalin-fixed: 1-2ug/ml for 30 minutes at RT. Staining of formalin-fixed tissues requires heating tissue sections in 10mM Tris with 1mM EDTA, pH 9.0, for 45 min at 95C followed by cooling at RT for 20 minutes.
Theoretical MW
16 kDa.
Disclaimer note: The observed molecular weight of the protein may vary from the listed predicted molecular weight due to post translational modifications, post translation cleavages, relative charges, and other experimental factors.

Reactivity Notes

Type 16 of Human Papilloma Virus (HPV-16)

Packaging, Storage & Formulations

Storage
Store at -20 to -80C. Avoid freeze-thaw cycles.
Buffer
10 mM PBS
Preservative
No Preservative
Concentration
1 mg/ml
Purity
Protein A or G purified

Alternate Names for HPV16 Antibody (HPV16/1295) - Azide and BSA Free

  • Human Papilloma Virus Type 16

Background

L1 is a major capsid protein of type 16 human papilloma virus. Infection with specific types of HPV has been asso ciated with an increased risk of developing cervical neoplasia. HPV types 6 and 11 have been associated with relatively benign diseases such as genital warts but types 16 and 18 are strongly associated with cervical, vaginal, and vulvar malignancies.

Limitations

This product is for research use only and is not approved for use in humans or in clinical diagnosis. Primary Antibodies are guaranteed for 1 year from date of receipt.

Publications for HPV16 Antibody (NBP3-08758) (0)

There are no publications for HPV16 Antibody (NBP3-08758).
By submitting your publication information earn gift cards and discounts for future purchases.

Reviews for HPV16 Antibody (NBP3-08758) (0)

There are no reviews for HPV16 Antibody (NBP3-08758). By submitting a review you will receive an Amazon e-Gift Card or Novus Product Discount.
  • Review with no image -- $10/€7/£6/$10 CAD/¥70 Yuan/¥1110 Yen
  • Review with an image -- $25/€18/£15/$25 CAD/¥150 Yuan/¥2500 Yen

Product General Protocols

Find general support by application which include: protocols, troubleshooting, illustrated assays, videos and webinars.

FAQs for HPV16 Antibody (NBP3-08758) (0)

There are no specific FAQs related to this product. Read our general customer & technical service FAQs.

Secondary Antibodies

 

Isotype Controls

Additional HPV16 Products

Array NBP3-08758

Research Areas for HPV16 Antibody (NBP3-08758)

Find related products by research area.

Blogs on HPV16

There are no specific blogs for HPV16, but you can read our latest blog posts.

Customers Who Bought This Also Bought

Contact Information

Product PDFs

Calculators

Concentration Calculator

The concentration calculator allows you to quickly calculate the volume, mass or concentration of your vial. Simply enter your mass, volume, or concentration values for your reagent and the calculator will determine the rest.

=
÷

Review this Product

Be the first to review our HPV16 Antibody (HPV16/1295) - Azide and BSA Free and receive a gift card or discount.