GPR108 Antibody

Images

 
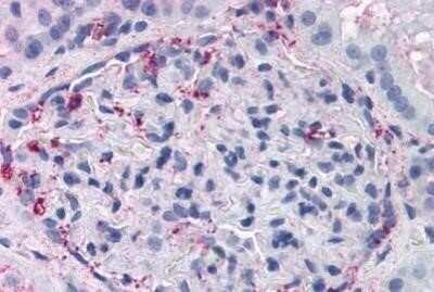
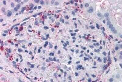
Immunohistochemistry-Paraffin: GPR108 Antibody [NBP1-02346] - Staining of human kidney. Immunohistochemistry of formalin-fixed, paraffin-embedded tissue after heat-induced antigen retrieval. Antibody concentration 48 ...read more

Product Details

Summary
Product Discontinued
View other related GPR108 Primary Antibodies

Order Details


    • Catalog Number
      NBP1-02346
    • Availability
      Product Discontinued

    Can't find what you are looking for? Use our Antibody Concierge Service & we will help you locate your antibody!

    Or feel free to contact us for alternative products.

GPR108 Antibody Summary

Immunogen
Synthetic 19 amino acid peptide from N-terminal extracellular domain of human GPR108.
Specificity
Human GPR108. BLAST analysis of the peptide immunogen showed no homology with other human proteins.
Predicted Species
Monkey (95%). Backed by our 100% Guarantee.
Isotype
IgG
Clonality
Polyclonal
Host
Rabbit
Gene
GPR108
Purity
Immunogen affinity purified
Innovator's Reward
Test in a species/application not listed above to receive a full credit towards a future purchase.

Applications/Dilutions

Dilutions
  • Immunohistochemistry 1:10 - 1:500
  • Immunohistochemistry-Paraffin 48 ug/ml

Reactivity Notes

Predicted cross-reactivity based on sequence identity: Gorilla (100%), Marmoset (89%).

Packaging, Storage & Formulations

Storage
Store at 4C short term. Aliquot and store at -20C long term. Avoid freeze-thaw cycles.
Buffer
PBS
Preservative
0.1% Sodium Azide
Concentration
1.0 mg/ml
Purity
Immunogen affinity purified

Alternate Names for GPR108 Antibody

  • G protein-coupled receptor 108
  • GPR108
  • LUSTR2
  • LUSTR2Lung seven transmembrane receptor 2
  • MGC14393
  • protein GPR108

Background

LUSTR2 is an Orphan-U GPCR with an unknown ligand.

Limitations

This product is for research use only and is not approved for use in humans or in clinical diagnosis. Primary Antibodies are guaranteed for 1 year from date of receipt.

Customers Who Viewed This Item Also Viewed...

NBP1-83629
Species: Hu
Applications: IHC,  IHC-P
NBP1-90095
Species: Hu
Applications: IHC,  IHC-P

Publications for GPR108 Antibody (NBP1-02346) (0)

There are no publications for GPR108 Antibody (NBP1-02346).
By submitting your publication information earn gift cards and discounts for future purchases.

Reviews for GPR108 Antibody (NBP1-02346) (0)

There are no reviews for GPR108 Antibody (NBP1-02346). By submitting a review you will receive an Amazon e-Gift Card or Novus Product Discount.
  • Review with no image -- $10/€7/£6/$10 CAD/¥70 Yuan/¥1110 Yen
  • Review with an image -- $25/€18/£15/$25 CAD/¥150 Yuan/¥2500 Yen

Product General Protocols

Find general support by application which include: protocols, troubleshooting, illustrated assays, videos and webinars.

FAQs for GPR108 Antibody (NBP1-02346). (Showing 1 - of FAQ).

    Contact Information

    Product PDFs

    Calculators

    Concentration Calculator

    The concentration calculator allows you to quickly calculate the volume, mass or concentration of your vial. Simply enter your mass, volume, or concentration values for your reagent and the calculator will determine the rest.

    =
    ÷

    Review this Product

    Be the first to review our GPR108 Antibody and receive a gift card or discount.

    Bioinformatics

    Gene Symbol GPR108
    Uniprot