Dengue Virus NS1 Antibody (971305) [Unconjugated]

Images

 
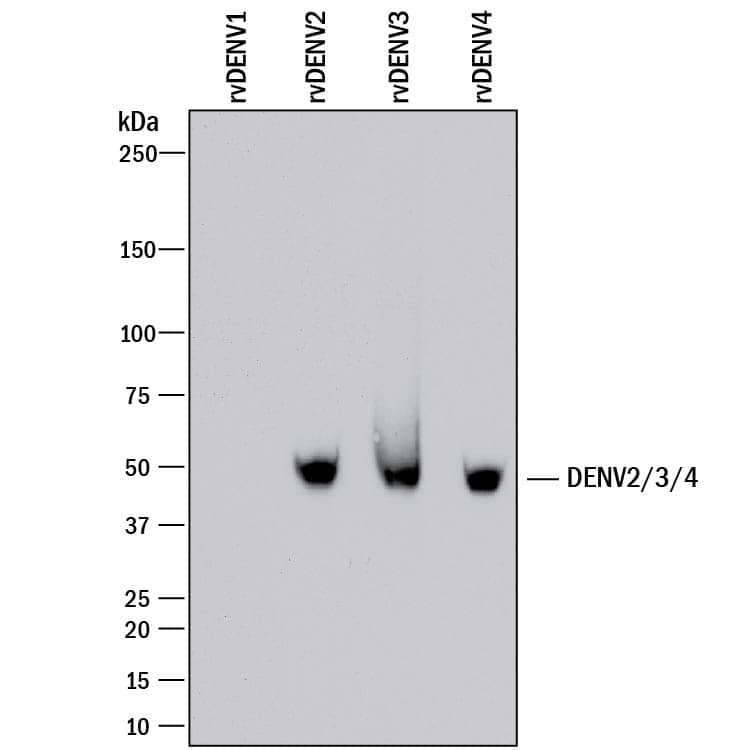
Western blot shows lysates of recombinant Dengue Virus (DENV) 1, recombinant DENV2, recombinant DENV3, and recombinant DENV4. PVDF membrane was probed with 2 µg/mL of Mouse Anti-Viral Dengue Virus NS1 Monoclonal ...read more
Recombinant Dengue Virus 1 NS1, Recombinant Dengue Virus 2 NS1, Recombinant Dengue Virus 3 NS1, or Recombinant Dengue Virus 4 NS1 protein was serially diluted 2-fold and captured by Mouse Anti-Dengue Virus NS1 ...read more

Product Details

Summary
Reactivity VSpecies Glossary
Applications WB, ELISA
Clone
971305
Clonality
Monoclonal
Host
Mouse
Conjugate
Unconjugated

Order Details

Dengue Virus NS1 Antibody (971305) [Unconjugated] Summary

Immunogen
Human embryonic kidney cell line HEK293-derived recombinant Dengue Virus 4 NS1 protein
Asp1-Ala352
Accession # NP_740318
Specificity
Detects Dengue Virus 2/3/4 NS1 in Western blots. In sandwich immunoassays, Dengue Virus 1/2/3/4 NS1 is detected.
Source
N/A
Isotype
IgG2a
Clonality
Monoclonal
Host
Mouse
Purity Statement
Protein A or G purified from hybridoma culture supernatant
Innovator's Reward
Test in a species/application not listed above to receive a full credit towards a future purchase.

Applications/Dilutions

Dilutions
  • ELISA
  • Western Blot 2 ug/mL

Packaging, Storage & Formulations

Storage
Use a manual defrost freezer and avoid repeated freeze-thaw cycles.
  • 12 months from date of receipt, -20 to -70 °C as supplied.
  • 1 month, 2 to 8 °C under sterile conditions after reconstitution.
  • 6 months, -20 to -70 °C under sterile conditions after reconstitution.
Buffer
Lyophilized from a 0.2 μm filtered solution in PBS with Trehalose. *Small pack size (SP) is supplied either lyophilized or as a 0.2 µm filtered solution in PBS.
Reconstitution Instructions
Reconstitute at 0.5 mg/mL in sterile PBS.

Notes

This product is produced by and ships from R&D Systems, Inc., a Bio-Techne brand.

Alternate Names for Dengue Virus NS1 Antibody (971305) [Unconjugated]

  • Dengue NS1 protein
  • Dengue NS1
  • Dengue Virus NS1
  • Dengue Virus

Background

Dengue virus (DENV), the cause of Dengue fever, is a single positive-stranded RNA virus of the family Flaviviridae, genus Flavivirus. 5 closely related but antigenically distinct serotypes of the virus have been found: DENV-1, DENV-2, DENV-3, DENV-4 and DENV-5.  DENV has a genome of about 11,000 bases, encoding a single large polyprotein that is subsequently cleaved into several structural and non-structural peptides. The polyprotein is divided into three structural proteins, C, prM, E, seven non-structural proteins, NS1, NS2a, NS2b, NS3, NS4a, NS4b, NS5, and short non-coding regions on both the 5' and 3' ends. DENV nonstructural protein-1 (NS1) is a secreted glycoprotein that is absent from viral particles but accumulates in the supernatant and on the plasma membrane of cells during infection.

Limitations

This product is for research use only and is not approved for use in humans or in clinical diagnosis. Primary Antibodies are guaranteed for 1 year from date of receipt.

Publications for Dengue Virus NS1 Antibody (MAB94441) (0)

There are no publications for Dengue Virus NS1 Antibody (MAB94441).
By submitting your publication information earn gift cards and discounts for future purchases.

Reviews for Dengue Virus NS1 Antibody (MAB94441) (0)

There are no reviews for Dengue Virus NS1 Antibody (MAB94441). By submitting a review you will receive an Amazon e-Gift Card or Novus Product Discount.
  • Review with no image -- $10/€7/£6/$10 CAD/¥70 Yuan/¥1110 Yen
  • Review with an image -- $25/€18/£15/$25 CAD/¥150 Yuan/¥2500 Yen

Product General Protocols

Find general support by application which include: protocols, troubleshooting, illustrated assays, videos and webinars.

Video Protocols

WB Video Protocol

FAQs for Dengue Virus NS1 Antibody (MAB94441) (0)

There are no specific FAQs related to this product. Read our general customer & technical service FAQs.

Secondary Antibodies

 

Isotype Controls

Additional Dengue Virus NS1 Products

Blogs on Dengue Virus NS1

There are no specific blogs for Dengue Virus NS1, but you can read our latest blog posts.

Customers Who Bought This Also Bought

Contact Information

Product PDFs

Calculators

Concentration Calculator

The concentration calculator allows you to quickly calculate the volume, mass or concentration of your vial. Simply enter your mass, volume, or concentration values for your reagent and the calculator will determine the rest.

=
÷

Review this Product

Be the first to review our Dengue Virus NS1 Antibody (971305) [Unconjugated] and receive a gift card or discount.

Bioinformatics

Uniprot