Cytochrome P450 3A7 Antibody (F19 P2 H2)

Images

 
Western Blot: Cytochrome P450 3A7 Antibody (F19 P2 H2) [NB100-74402] - Analysis of 25 ug of HepG2 (lane 1), Hela (lane 2) and HT29 (lane 3) cell lysates.
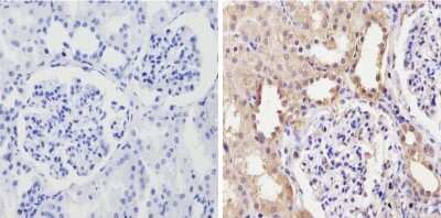
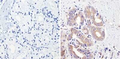
Immunohistochemistry-Paraffin: Cytochrome P450 3A7 Antibody (F19 P2 H2) [NB100-74402] - Analysis showing positive staining in the cytoplasm of Human kidney tissue (right) compared with a negative control in the absence ...read more
Flow Cytometry: Cytochrome P450 3A7 Antibody (F19 P2 H2) [NB100-74402] - Analysis of Cytochrome P450 3A7 in HepG2 cells compared to an isotype control (blue).
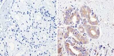
Immunohistochemistry-Paraffin: Cytochrome P450 3A7 Antibody (F19 P2 H2) [NB100-74402] - Analysis showing positive staining in the cytoplasm of Human prostate carcinoma (right) compared with a negative control in the ...read more
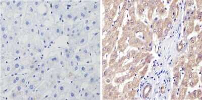
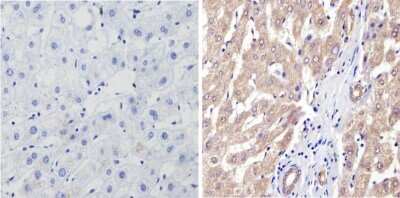
Immunohistochemistry-Paraffin: Cytochrome P450 3A7 Antibody (F19 P2 H2) [NB100-74402] - Analysis showing positive staining in the cytoplasm of Human liver tissue (right) compared with a negative control in the absence ...read more
Flow Cytometry: Cytochrome P450 3A7 Antibody (F19 P2 H2) [NB100-74402] - Analysis of Cytochrome P450 3A7 in HT29 cells compared to an isotype control (blue).

Product Details

Summary
Product Discontinued
View other related Cytochrome P450 3A7 Primary Antibodies

Order Details


    • Catalog Number
      NB100-74402
    • Availability
      Product Discontinued

    Can't find what you are looking for? Use our Antibody Concierge Service & we will help you locate your antibody!

    Or feel free to contact us for alternative products.

Cytochrome P450 3A7 Antibody (F19 P2 H2) Summary

Immunogen
Synthetic peptide corresponding to residues E S R D E T V S G A, conjugated to ovalbumin.
Specificity
Cytochrome P450 3A7 (F19 P2 H2)
Isotype
IgG1
Clonality
Monoclonal
Host
Mouse
Purity
Unpurified
Innovator's Reward
Test in a species/application not listed above to receive a full credit towards a future purchase.

Applications/Dilutions

Dilutions
  • ELISA 1:100 - 1:2000
  • Flow Cytometry 2 ug / 10^6 cells
  • Immunohistochemistry 1:100 - 1:500
  • Immunohistochemistry-Paraffin 1:100 - 1:500
  • Western Blot 1:250
Application Notes
WB: Detects an approx. 54 kDa protein.

Packaging, Storage & Formulations

Storage
Store at -20C. Avoid freeze-thaw cycles.
Buffer
Ascites
Preservative
0.05% Sodium Azide
Purity
Unpurified

Alternate Names for Cytochrome P450 3A7 Antibody (F19 P2 H2)

  • Aryl hydrocarbon hydroxylase
  • CP37
  • CYPIIIA7
  • Cytochrome P450 3A7
  • cytochrome P450
  • family 3
  • Flavoprotein linked monooxygenase
  • Microsomal monooxygenase
  • P450 HFLA
  • polypeptide 7
  • subfamily A
  • subfamily IIIA
  • Xenobiotic monooxygenase

Background

CYP3A7 is a member of the cytochromes P450 family, a group of hemethiolate monooxygenases. In liver microsomes, CYP3A7 is involved in an NADPH-dependent electron transport pathway. It oxidizes a variety of structurally unrelated compounds, including steroids, fatty acids, and xenobiotics. It can be induced to high levels in liver and other tissues by various foreign compounds, including drugs, pesticides, and carcinogens.

Limitations

This product is for research use only and is not approved for use in humans or in clinical diagnosis. Primary Antibodies are guaranteed for 1 year from date of receipt.

Publications for Cytochrome P450 3A7 Antibody (NB100-74402) (0)

There are no publications for Cytochrome P450 3A7 Antibody (NB100-74402).
By submitting your publication information earn gift cards and discounts for future purchases.

Reviews for Cytochrome P450 3A7 Antibody (NB100-74402) (0)

There are no reviews for Cytochrome P450 3A7 Antibody (NB100-74402). By submitting a review you will receive an Amazon e-Gift Card or Novus Product Discount.
  • Review with no image -- $10/€7/£6/$10 CAD/¥70 Yuan/¥1110 Yen
  • Review with an image -- $25/€18/£15/$25 CAD/¥150 Yuan/¥2500 Yen

Product General Protocols

Find general support by application which include: protocols, troubleshooting, illustrated assays, videos and webinars.

Video Protocols

WB Video Protocol

FAQs for Cytochrome P450 3A7 Antibody (NB100-74402) (0)

There are no specific FAQs related to this product. Read our general customer & technical service FAQs.

Secondary Antibodies

 

Isotype Controls

Additional Cytochrome P450 3A7 Products

Array NB100-74402

Blogs on Cytochrome P450 3A7

There are no specific blogs for Cytochrome P450 3A7, but you can read our latest blog posts.

Contact Information

Product PDFs

Calculators

Concentration Calculator

The concentration calculator allows you to quickly calculate the volume, mass or concentration of your vial. Simply enter your mass, volume, or concentration values for your reagent and the calculator will determine the rest.

=
÷

Review this Product

Be the first to review our Cytochrome P450 3A7 Antibody (F19 P2 H2) and receive a gift card or discount.