Aggressive Tumor Markers Antibody Pack

Images

 
Western Blot: Aggressive Tumor Markers Antibody Pack [NBP1-78939] - Detection of p19ARF in MEF lysate (25ug) (2ug/ml) using NB200-106
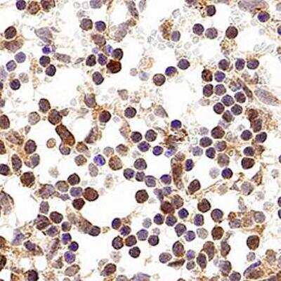
Immunohistochemistry: Aggressive Tumor Markers Antibody Pack [NBP1-78939] - Analysis of FFPE mouse spleen using p16INK4a/CDKN2A antibody (NB200-106)at 10 ug/mL on a Bond Rx autostainer (Leica Biosystems). The assay ...read more
Western Blot: Aggressive Tumor Markers Antibody Pack 2vials [NBP1-78939] - Detection of Cathepsin E in 10 ug of murine reticulocyte lysate using NB400-152.
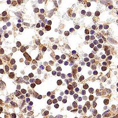
Immunohistochemistry: Aggressive Tumor Markers Antibody Pack [NBP1-78939] - Analysis of Cathepsin E with NB400-152 in human renal cancer using DAB and hematoxylin counterstain.

Product Details

Summary
Product Discontinued
View other related Aggressive Tumor Markers Antibody Packs

Order Details


    • Catalog Number
      NBP1-78939
    • Availability
      Product Discontinued

    Can't find what you are looking for? Use our Antibody Concierge Service & we will help you locate your antibody!

    Or feel free to contact us for alternative products.

Aggressive Tumor Markers Antibody Pack Summary

Description
This pack contains 1 vial each of: NB400-152 (25 uL) and NB200-106 (25 uL).
Immunogen
See individual datasheets.
Specificity
This Aggressive Tumor Marker Antibodies Sample Pack includes antibodies to p19ARF and Cathepsin E.

Applications/Dilutions

Dilutions
  • Immunocytochemistry/ Immunofluorescence
  • Immunohistochemistry
  • Immunohistochemistry-Paraffin
  • Western Blot
Application Notes
Mainly immunofluorescence and Western blot. However, additional applications may be possible for individual products.
See individual datasheets for validated applications.

Reactivity Notes

Mouse, however additional species may be possible for individual products.

Packaging, Storage & Formulations

Storage
Aliquot and store at -20C or -80C. Avoid freeze-thaw cycles.
Buffer
See individual datasheets.

Kit Components

Background

Tumor grade refers to a measure of how abnormal cells from your tumor appear under the microscope. This can refer to the appearance of the cells or to the percentage that appear to be dividing. The higher the grade, the more aggressive and fast growing the cancer. Tumors are typically classified from least to most aggressive as grade I through IV. p19ARF works as part of a p53-dependent pathway to counter uncontrolled proliferation and oncogenic signals. Mice lacking the p19ARF gene rapidly develop a broad spectrum of tumors. This result indicates that p19ARF is an important tumor suppressor. Cathepsin E (CTSE) is an intracellular aspartic protease belonging to pepsin superfamily and is highly homologous to the analogous aspartic protease cathepsin D. Human and mice subjects with a shortage of CTSE are often prone to atopic dermatitis. Increased levels of CTSE are observed in proliferative diseases such as gastric carcinoma, cervical cancer, and has been considered a promising marker for pancreatic duct cancer.

Limitations

This product is for research use only and is not approved for use in humans or in clinical diagnosis. Antibody Packs are guaranteed for 1 year from date of receipt.

Publications for Aggressive Tumor Markers Antibody Pack (NBP1-78939) (0)

There are no publications for Aggressive Tumor Markers Antibody Pack (NBP1-78939).
By submitting your publication information earn gift cards and discounts for future purchases.

Reviews for Aggressive Tumor Markers Antibody Pack (NBP1-78939) (0)

There are no reviews for Aggressive Tumor Markers Antibody Pack (NBP1-78939). By submitting a review you will receive an Amazon e-Gift Card or Novus Product Discount.
  • Review with no image -- $10/€7/£6/$10 CAD/¥70 Yuan/¥1110 Yen
  • Review with an image -- $25/€18/£15/$25 CAD/¥150 Yuan/¥2500 Yen

Product General Protocols

Find general support by application which include: protocols, troubleshooting, illustrated assays, videos and webinars.

Video Protocols

WB Video Protocol
ICC/IF Video Protocol

FAQs for Aggressive Tumor Markers Antibody Pack (NBP1-78939) (0)

There are no specific FAQs related to this product. Read our general customer & technical service FAQs.

Research Areas for Aggressive Tumor Markers Antibody Pack (NBP1-78939)

Find related products by research area.

Blogs on Aggressive Tumor Markers

There are no specific blogs for Aggressive Tumor Markers, but you can read our latest blog posts.

Contact Information

Product PDFs

Review this Product

Be the first to review our Aggressive Tumor Markers Antibody Pack and receive a gift card or discount.