Sort By:
page of 2

Tissue Microarrays

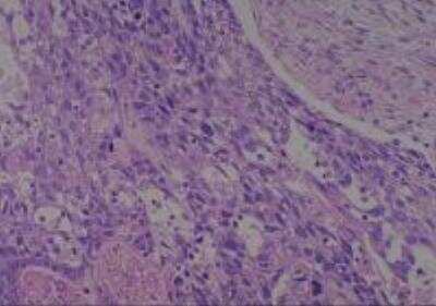
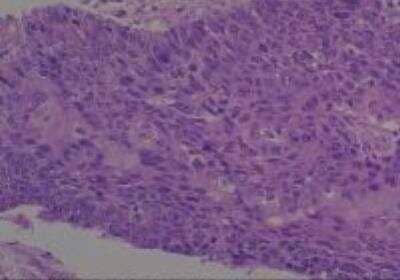
Tissue Microarray refers to the innovative practice of relocating multiple tissues sections from conventional histologic paraffin blocks so that the tissues from multiple samples can be observed on the same slide. Tissue Microarrays (TMAs) contain the biomolecules such as proteins, carbohydrates, lipids, RNA, or DNA in their preserved state, and thus offers a high throughput platform for quick analysis of molecular markers associated with diagnosis/prognosis of diseases or physiological conditions. TMAs offers a practical and effective tool for modern molecular pathology with several advantages which includes (but are not limited to) - experimental uniformity, reduction in assay volume/number of slides/workload, fresh-cut slides, options as positive control, compatibility with automated staining systems and shelf-stability to up to one year when stored in 4C. TMAs can be used for several applications such as Immunohistochemistry-paraffin (IHC-P), in situ hybridization (ISH or FISH when using fluorochrome labelled probes), mRNA or miRNA ISH, TUNEL assay, Histochemical staining and Nucleic acid extraction. Novus Biologicals offers TMAs for normal tissues of Human, Rat, Mouse and Primate/Monkey species, and the Human TMAs are also available for various Cancers including malignant or metastatic and Cancer/Normal Adjacent tissues formats. Complete details of tissues, H&E stained images, citations in publications, product reviews and related products may be seen on the individual online datasheets of the listed products.

23 Results for ""
Hu
Species Glossary
Reactivity: Hu
IHC
Applications: IHC
IMH-346
Alt Catalog# IMH-346
compare
(select up to 3 products from this page to compare)
Hu
Species Glossary
Reactivity: Hu
IHC
Applications: IHC
IMH-328
Alt Catalog# IMH-328
compare
(select up to 3 products from this page to compare)
Hu
Species Glossary
Reactivity: Hu
IHC
Applications: IHC
IMH-326
Alt Catalog# IMH-326
compare
(select up to 3 products from this page to compare)
Hu
Species Glossary
Reactivity: Hu
IHC
Applications: IHC
IMH-310
Alt Catalog# IMH-310
compare
(select up to 3 products from this page to compare)
1 Slide
Hu
Species Glossary
Reactivity: Hu
IHC
Applications: IHC
IMH-325
Alt Catalog# IMH-325
compare
(select up to 3 products from this page to compare)
1 Slide
Hu
Species Glossary
Reactivity: Hu
IHC
Applications: IHC
IMH-317
Alt Catalog# IMH-317
compare
(select up to 3 products from this page to compare)
1 Slide
Hu
Species Glossary
Reactivity: Hu
IHC
Applications: IHC
compare
(select up to 3 products from this page to compare)
Hu
Species Glossary
Reactivity: Hu
IHC
Applications: IHC
IMH-365
Alt Catalog# IMH-365
compare
(select up to 3 products from this page to compare)
Hu
Species Glossary
Reactivity: Hu
IHC
Applications: IHC
IMH-366
Alt Catalog# IMH-366
compare
(select up to 3 products from this page to compare)
5 Slides
Hu
Species Glossary
Reactivity: Hu
Func, IHC
Applications: Func, IHC
compare
(select up to 3 products from this page to compare)
1 Slide
Hu
Species Glossary
Reactivity: Hu
IHC
Applications: IHC
IMH-367
Alt Catalog# IMH-367
compare
(select up to 3 products from this page to compare)
page of 2