| At | = | A. thaliana | SyHa | = | Golden Syrian Hamster |
| All | = | All Species | Ha | = | Hamster |
| An | = | Animal | Hu | = | Human |
| ArHa | = | Armenian Hamster | I | = | Insect |
| Av | = | Avian | Ll | = | Llama |
| Bb | = | Baboon | Ma | = | Mammal |
| Ba | = | Bacteria | Mk | = | Monkey |
| Bv | = | Bovine | Mu | = | Mouse |
| Ca | = | Canine | Multi | = | Multi-species |
| Ce | = | C. Elegans | NA | = | Non-species specific |
| Ch | = | Chicken | Or | = | Orangutan |
| ChHa | = | Chinese Hamster | Pl | = | Plant |
| Cm | = | Cynomolgus Monkey | Pm | = | Primate |
| Do | = | Donkey | Po | = | Porcine |
| Dr | = | Drosophilia | Rb | = | Rabbit |
| Ec | = | E. Coli | Rt | = | Rat |
| Eq | = | Equine | RM | = | Rhesus Macaque |
| Fe | = | Feline | Sh | = | Sheep |
| Ft | = | Ferret | Vb | = | Vertebrate |
| Fi | = | Fish | Vi | = | Virus |
| Fu | = | Fungi | Xp | = | Xenopus |
| Ge | = | Gerbil | Ye | = | Yeast |
| GP | = | Guinea Pig | Ze | = | Zebrafish |
| Gt | = | Goat |
Note: Mouseover a species abbreviation on the product page to display the fullname.
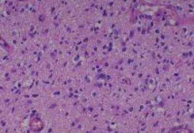
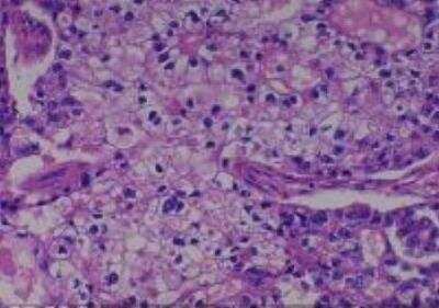
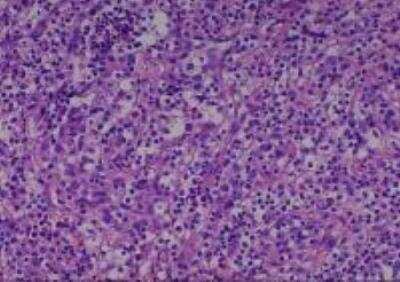
Tissue Microarray refers to the innovative practice of relocating multiple tissues sections from conventional histologic paraffin blocks so that the tissues from multiple samples can be observed on the same slide. Tissue Microarrays (TMAs) contain the biomolecules such as proteins, carbohydrates, lipids, RNA, or DNA in their preserved state, and thus offers a high throughput platform for quick analysis of molecular markers associated with diagnosis/prognosis of diseases or physiological conditions. TMAs offers a practical and effective tool for modern molecular pathology with several advantages which includes (but are not limited to) - experimental uniformity, reduction in assay volume/number of slides/workload, fresh-cut slides, options as positive control, compatibility with automated staining systems and shelf-stability to up to one year when stored in 4C. TMAs can be used for several applications such as Immunohistochemistry-paraffin (IHC-P), in situ hybridization (ISH or FISH when using fluorochrome labelled probes), mRNA or miRNA ISH, TUNEL assay, Histochemical staining and Nucleic acid extraction. Novus Biologicals offers TMAs for normal tissues of Human, Rat, Mouse and Primate/Monkey species, and the Human TMAs are also available for various Cancers including malignant or metastatic and Cancer/Normal Adjacent tissues formats. Complete details of tissues, H&E stained images, citations in publications, product reviews and related products may be seen on the individual online datasheets of the listed products.
How can we help you?
| Popular Products | Company Information | Support | Stay Connected |
|---|---|---|---|
