Sort By:
page of 1

TMEM85 Antibodies

We offer TMEM85 Antibodies for use in common research applications: Immunohistochemistry. Each TMEM85 Antibody is fully covered by our Guarantee+, to give you complete peace of mind and the support when you need it. Our TMEM85 Antibodies can be used in a variety of model species: Human. Use the list below to choose the TMEM85 Antibody which is most appropriate for your research; you can click on each one to view full technical details, images, references, reviews and related products. Choose from our TMEM85 polyclonal antibodies.
Alternate Names for TMEM85 Antibodies
anti-TMEM85 antibody, anti-EMC4 antibody, anti-Cell Proliferation-Inducing Gene 17 Protein antibody, anti-ER Membrane Protein Complex Subunit 4 antibody, anti-PIG17 antibody, anti-Proliferation-Inducing Gene 17 antibody, anti-Transmembrane Protein 85 antibody
7 Results for "tmem85" in Primary Antibodies
100 ul
Hu, Mu, Rt
Species Glossary
Reactivity: Hu, Mu, Rt
WB, IHC
Applications: WB, IHC
Rabbit Monoclonal
Host: Rabbit Monoclonal
Unconjugated  
compare
(select up to 3 products from this page to compare)
100 ul
Hu, Mu, Rt
Species Glossary
Reactivity: Hu, Mu, Rt
WB, IHC, IP
Applications: WB, IHC, IP
Rabbit Monoclonal
Host: Rabbit Monoclonal
Unconjugated  
Available Formulations
Formulation Catalog # Availability Price  
compare
(select up to 3 products from this page to compare)
100 ul
Hu, Mu, Rt
Species Glossary
Reactivity: Hu, Mu, Rt
WB, Flow, ICC/IF
Applications: WB, Flow, ICC/IF
Rabbit Monoclonal
Host: Rabbit Monoclonal
Unconjugated  
compare
(select up to 3 products from this page to compare)
100 ul
Hu, Mu, Rt
Species Glossary
Reactivity: Hu, Mu, Rt
ICC/IF
Applications: ICC/IF
Rabbit Polyclonal
Host: Rabbit Polyclonal
Sample Size Available
Sizes: Sample Size Available
Unconjugated  
Available Formulations
Formulation Catalog # Availability Price  
compare
(select up to 3 products from this page to compare)
0.1 ml
Hu, Mu, Rt
Species Glossary
Reactivity: Hu, Mu, Rt
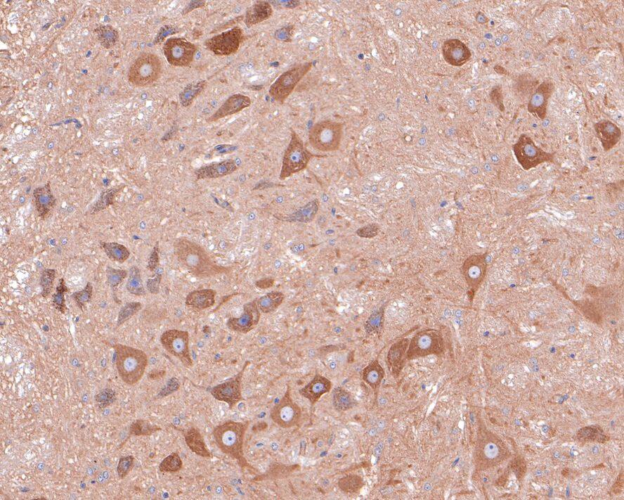
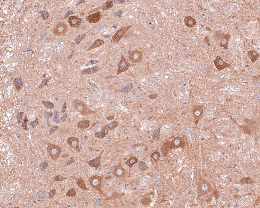
IHC
Applications: IHC
Rabbit Polyclonal
Host: Rabbit Polyclonal
Sample Size Available
Sizes: Sample Size Available
Unconjugated  
Available Formulations
Formulation Catalog # Availability Price  
compare
(select up to 3 products from this page to compare)
100 ul
Hu, Mu, Rt
Species Glossary
Reactivity: Hu, Mu, Rt
WB, Flow
Applications: WB, Flow
Rabbit Monoclonal
Host: Rabbit Monoclonal
Unconjugated  
compare
(select up to 3 products from this page to compare)
100 μg
Hu
Species Glossary
Reactivity: Hu
IP
Applications: IP
Rabbit Polyclonal
Host: Rabbit Polyclonal
Unconjugated  
compare
(select up to 3 products from this page to compare)
page of 1