Sort By:
page of 1

PSMG4 Antibodies

We offer PSMG4 Antibodies for use in common research applications: Immunocytochemistry/Immunofluorescence. Each PSMG4 Antibody is fully covered by our Guarantee+, to give you complete peace of mind and the support when you need it. Our PSMG4 Antibodies can be used in a variety of model species: Human. Use the list below to choose the PSMG4 Antibody which is most appropriate for your research; you can click on each one to view full technical details, images, references, reviews and related products. Choose from our PSMG4 polyclonal antibodies.
Alternate Names for PSMG4 Antibodies
anti-PSMG4 antibody, anti- proteasome assembly chaperone 4 antibody, anti-bA506K6.2 antibody, anti-C6orf86 antibody, anti-PAC4 antibody, anti-proteasome (prosome, macropain) assembly chaperone 4 antibody
3 Results for "psmg4" in Primary Antibodies
100 ul
Hu, Mu, Rt
Species Glossary
Reactivity: Hu, Mu, Rt
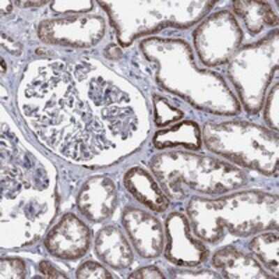
WB, IHC
Applications: WB, IHC
Rabbit Polyclonal
Host: Rabbit Polyclonal
Unconjugated  
Available Formulations
Formulation Catalog # Availability Price  
compare
(select up to 3 products from this page to compare)
100 ul
Hu, Mu, Rt
Species Glossary
Reactivity: Hu, Mu, Rt
IHC
Applications: IHC
Rabbit Polyclonal
Host: Rabbit Polyclonal
Unconjugated  
Available Formulations
Formulation Catalog # Availability Price  
compare
(select up to 3 products from this page to compare)
100 ul
Hu
Species Glossary
Reactivity: Hu
ICC/IF
Applications: ICC/IF
Rabbit Polyclonal
Host: Rabbit Polyclonal
Sample Size Available
Sizes: Sample Size Available
Unconjugated  
Available Formulations
Formulation Catalog # Availability Price  
compare
(select up to 3 products from this page to compare)
page of 1