Sort By:
page of 1

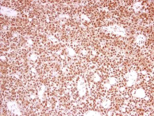
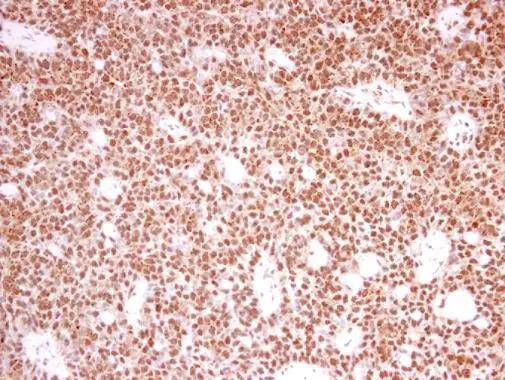
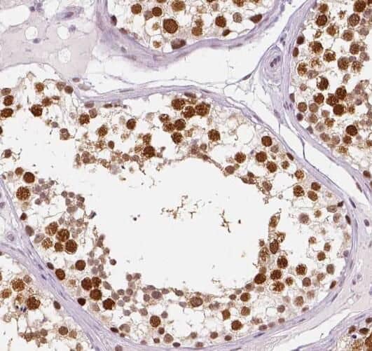
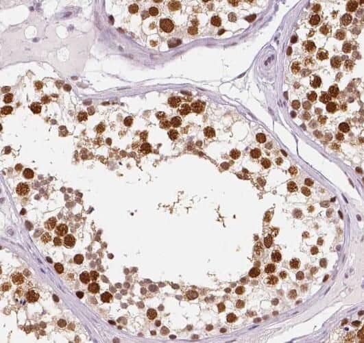
PRPF39 Antibodies

We offer PRPF39 Antibodies for use in common research applications: ELISA, Immunocytochemistry/Immunofluorescence, Immunohistochemistry, Immunohistochemistry-Paraffin, Western Blot. Each PRPF39 Antibody is fully covered by our Guarantee+, to give you complete peace of mind and the support when you need it. Our PRPF39 Antibodies can be used in a variety of model species: Human, Mouse. Use the list below to choose the PRPF39 Antibody which is most appropriate for your research; you can click on each one to view full technical details, images, references, reviews and related products. Choose from our PRPF39 polyclonal antibodies.
Alternate Names for PRPF39 Antibodies
anti-PRPF39 antibody, anti-FLJ11128 antibody, anti-FLJ20666 antibody, anti-FLJ45460 antibody, anti-MGC149842 antibody, anti-MGC149843 antibody, anti-pre-mRNA-processing factor 39 antibody, anti-PRP39 homolog antibody, anti-PRP39 pre-mRNA processing factor 39 homolog (S. cerevisiae) antibody, anti-PRP39 pre-mRNA processing factor 39 homolog (yeast) antibody
4 Results for "prpf39" in Primary Antibodies
0.1 ml
Hu, Mu, Rt
Species Glossary
Reactivity: Hu, Mu, Rt
WB, ICC/IF, IHC
Applications: WB, ICC/IF, IHC
Rabbit Polyclonal
Host: Rabbit Polyclonal
Sample Size Available
Sizes: Sample Size Available
Unconjugated  
Available Formulations
Formulation Catalog # Availability Price  
compare
(select up to 3 products from this page to compare)
100 ul
Hu
Species Glossary
Reactivity: Hu
WB, IHC
Applications: WB, IHC
Rabbit Polyclonal
Host: Rabbit Polyclonal
Unconjugated  
compare
(select up to 3 products from this page to compare)
100 μg
Hu
Species Glossary
Reactivity: Hu
WB, ELISA, IHC
Applications: WB, ELISA, IHC
Rabbit Polyclonal
Host: Rabbit Polyclonal
Unconjugated  
compare
(select up to 3 products from this page to compare)
100 ul
Hu, Mu, Rt
Species Glossary
Reactivity: Hu, Mu, Rt
ICC/IF
Applications: ICC/IF
Rabbit Polyclonal
Host: Rabbit Polyclonal
Unconjugated  
compare
(select up to 3 products from this page to compare)
page of 1