Sort By:
page of 1

PDP3 Antibodies

We offer PDP3 Antibodies for use in common research applications: Immunohistochemistry. Each PDP3 Antibody is fully covered by our Guarantee+, to give you complete peace of mind and the support when you need it. Our PDP3 Antibodies can be used in a variety of model species: Human. Use the list below to choose the PDP3 Antibody which is most appropriate for your research; you can click on each one to view full technical details, images, references, reviews and related products. Choose from our PDP3 polyclonal antibodies.
Alternate Names for PDP3 Antibodies
anti-PDP3 antibody, anti-PDPR antibody, anti-KIAA1990 antibody, anti-Pyruvate Dehydrogenase Phosphatase Regulatory Subunit antibody, anti-Pyruvate Dehydrogenase Phosphatase Regulatory Subunit, Mitochondrial antibody
4 Results for "pdp3" in Primary Antibodies
100 ul
Hu
Species Glossary
Reactivity: Hu
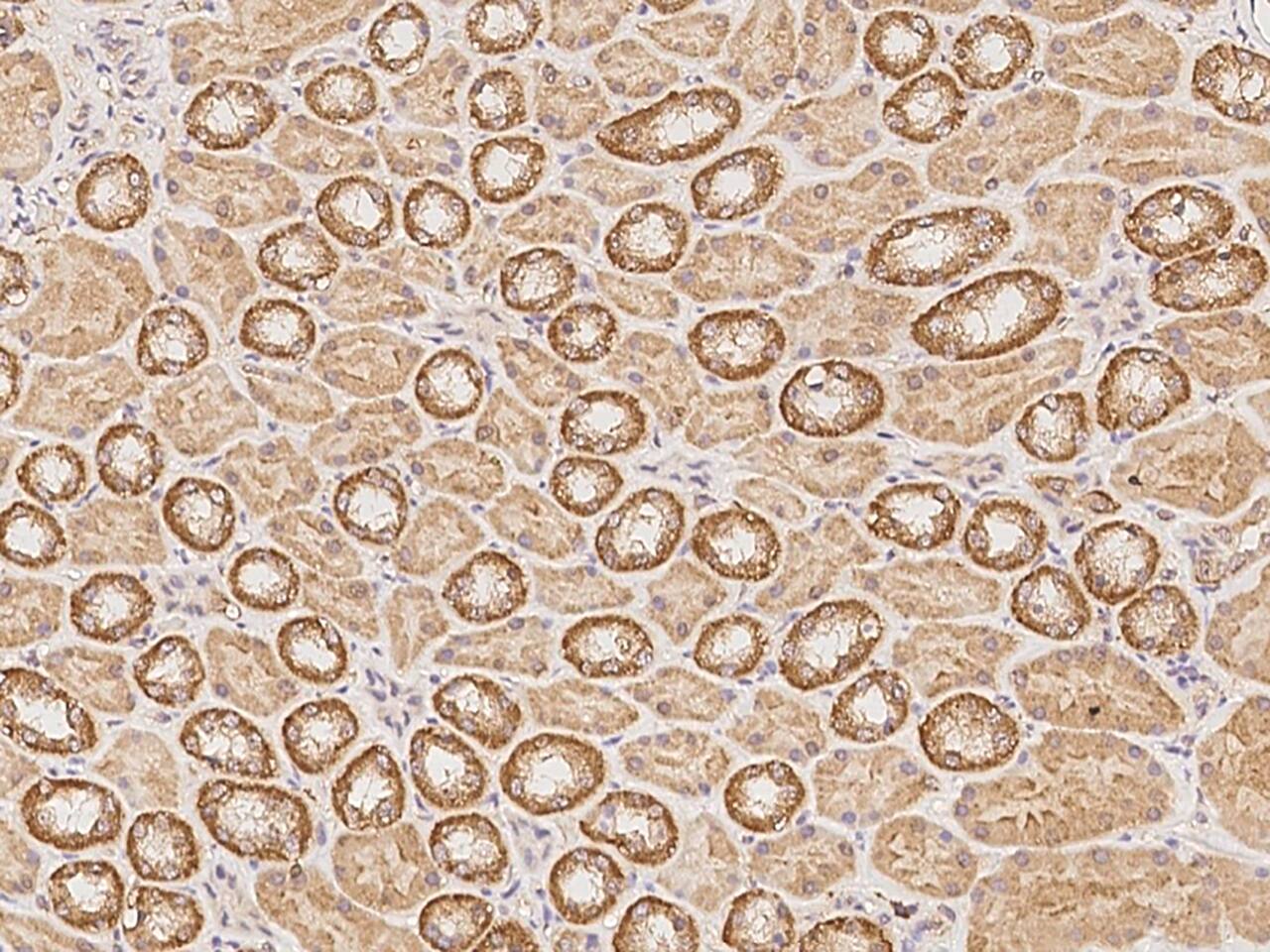
IHC
Applications: IHC
Rabbit Polyclonal
Host: Rabbit Polyclonal
Sample Size Available
Sizes: Sample Size Available
Unconjugated  
Available Conjugates:
Available Formulations
Formulation Catalog # Availability Price  
compare
(select up to 3 products from this page to compare)
100 ul
Hu, Mu, Rt
Species Glossary
Reactivity: Hu, Mu, Rt
ICC/IF
Applications: ICC/IF
Rabbit Polyclonal
Host: Rabbit Polyclonal
Sample Size Available
Sizes: Sample Size Available
Unconjugated  
Available Formulations
Formulation Catalog # Availability Price  
compare
(select up to 3 products from this page to compare)
0.1 ml
Hu, Mu, Rt
Species Glossary
Reactivity: Hu, Mu, Rt
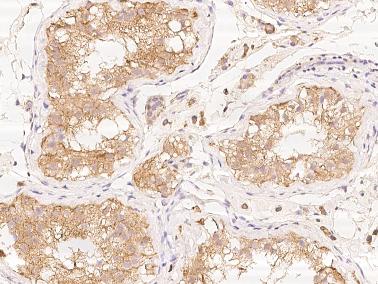
IHC
Applications: IHC
Rabbit Polyclonal
Host: Rabbit Polyclonal
Sample Size Available
Sizes: Sample Size Available
Unconjugated  
Available Formulations
Formulation Catalog # Availability Price  
compare
(select up to 3 products from this page to compare)
page of 1